循环肿瘤细胞检测对胃癌辅助诊断和预后的意义

2017 年 7 月 14 日 转化医学网

点击上方“转化医学网”订阅我们!

干货 | 靠谱 | 实用



国家卫生部、中国抗癌协会披露的最新统计数据显示,目前全球每年新发胃癌九十三万余例,在中国内地有近四十万,患病和死亡率均超过世界平均水平的两倍(死亡率接近25/10万),平均每三分钟就有一名中国人死于胃癌,占所有恶性肿瘤死亡率的23%。胃癌至今难以治愈,肿瘤的复发、转移是其致残、致死的主要原因。由于胃癌的早期诊断率低,临床确诊时接近40%的患者已失去手术机会,即使行根治术的患者,术后仍有将近80%会出现复发与转移。在这一过程中,外周血循环肿瘤细胞(circulating tumor cells ,CTCs)被认为扮演着不可或缺的重要角色,因其对肿瘤的早期诊断、临床分期、复发转移和耐药监测、预后判断、开发新的治疗靶点具有重要价值。



国家卫生部、中国抗癌协会披露,伴随胃肠镜及现代影像学技术的发展与应用,早期胃癌的诊断率已提高到百分之十左右,且早期治愈率高达百分之九十五,但中国的胃癌病例中超过九成是中晚期才开始就医,五年生存率(平均)不足20%。当前更值得关注的是胃癌发病出现年轻化趋势:临床显示,近五年来十九岁至三十五岁青年人胃癌发病率比三十年前翻了一番。特别是患有慢性胃炎、胃溃疡、胃息肉及恶性贫血、胃切除术后和有胃癌家族史的高危人群,更要定期做胃镜检查,早发现、早治疗。


肿瘤的复发,转移是一个多步骤、极其复杂的过程,包括肿瘤局部侵袭性生长侵犯基底膜,肿瘤细胞从原发灶脱落,侵入邻近组织,肿瘤细胞内渗入血管和淋巴管系统,形成循环肿瘤细胞通过管道系统全身播散,从血管外渗,肿瘤细胞形成微转移,肿瘤细胞在远处器官明显生长形成明显转移灶[7]。循环肿瘤细胞是癌症研究和临床治疗史上划时代的成就,临床检测 CTCs 已成为检测各种治疗有效性的诊断工具。CTC检测在有效降低癌症诊疗成本的同时,针对癌症早期筛查和个性化医疗产生革命性的影响[2-4]


目前,CTCs检测技术主要分为物理学模式,正向/负向筛选模式或借助微流控芯片(CTC-Chip)。宁波第七人民医院副院长兼外三科主任郝敬铎医师近日在宁波市惠民计划的赞助下,运用美晶医疗的CellRichTM新型液体活检平台对转移性结直肠癌患者实施CTCs检测时发现,在早期肿瘤患者中,利用影像学还未发现病灶时已经可以在外周血中检测到CTCs。研究表明,在疾病的早期,外周血循环肿瘤细胞对于良、恶性肿瘤的鉴别有一定的提示价值,也有助于转移风险的预测和判断;在疾病进展和治疗过程中,外周血循环肿瘤细胞能为动态检测病情、耐药性等临床诊疗的关键因素提供重要信息,有助于医师开展个性化的肿瘤治疗。


2008年,日本Keio大学医学院肿瘤外科的北川团队入组79位转移性胃癌,35位非转移性胃癌患者与健康人,实施CTC数量与临床病理学诊断的对比性研究[5]。结果发现胃癌腹膜转移患者外周血中肿瘤细胞的数量(CTC数量》2个及以上)具有显著的统计学意义。此后北京大学附属肿瘤医院消化内科的沈琳教授在2016年CSCO会议上确认了这一现象,同年西班牙的医疗团队在结直肠癌腹膜转移患者中也发现了类似临床现象。


由于早期胃癌的诊断率低,多数患者在首诊时已经失去了手术机会,只能行姑息性治疗。宁波市第二医院放化疗科与李惠利东部医院胃肠外科对不能手术或不愿手术的局部进展期胃癌患者进行同步放化疗,并观察疗效和不良反应,取得了较好的效果。在疾病的诊疗过程中,外周血循环肿瘤细胞对于良、恶性肿瘤的鉴别有一定的提示价值;而对于恶性肿瘤则有助于转移风险的预测和判断。在疾病进展和治疗过程中,外周血循环肿瘤细胞能为动态检测病情、耐药性等临床诊疗的关键因素提供重要信息,有助于医师开展个体化的肿瘤治疗。



2014年中国医科大学附属第一医院胃肠肿瘤外科的黄选章主任及其团队通过Pubmed和Embase数据检索,提取26项临床研究共计2566名胃癌患者的相关临床指标及数据,使用随机效应模型对数据进行Meta分析[6]。结果显示:相对于1期和2期胃癌患者,3期和4期胃癌患者中循环肿瘤细胞的发现率明显提高并且阳性率差异具有统计学意义。在胃癌组织学类型中发现循环肿瘤细胞的阳性率在Lauren弥散型和肠型患者之间具有统计学差异,循环肿瘤细胞的阳性率差异在淋巴管浸润和血管浸润方面也具有相同的结果。对于胃癌患者预后而言,循环肿瘤细胞阳性患者的无病生存期短(HR=3.42,95%CI[2.39,4.91],P<0.00001),外周血中的肿瘤细胞能影响患者总生存时间(HR=2.13,95%CI[1.13,4.03],P=0.02)。


同年,中国天津医科大学第二医院消化内科的张志广主任及其团队入组45例胃癌患者的外周血,应用密度梯度离心法和免疫荧光法检测外周血中的循环肿瘤细胞,并比较其临床病理意义(文章发表于2014年中国肿瘤临床杂志)。结果显示45例胃癌患者中27例为CTCs阳性,阳性率为60%,与以往的文献报道一致。CTCs阳性率与淋巴结转移(P=0.007)、远处转移(P=0.035)和复发密切相关(P=0.035),而与胃癌患者的性别、年龄(≥60岁组和<60岁组)、肿瘤部位(近端组和远端组)、分化程度(低分化组和中高分化组)无关(P0.05)。在淋巴结转移组中CTCs阳性率(79.17%)较无转移组(38.10%)明显增高,在远处转移组中CTCs阳性率(78.95%)较无转移组(46.15%)亦明显增高,差异均有统计学意义。上述数据表明,胃癌中检测到CTCs可能是预测转移的指标之一。


表一:胃癌患者不同临床表征与CTCs阳性率的关联性(载录自2014年中国肿瘤临床杂志)


 2014年,上海交大附属新华医院普外科的刘颖斌主任及其团队表示在恶性肿瘤病程中,由于肿瘤细胞本身的异质性基础及环境选择压力,可以造成肿瘤细胞基因状态的改变,并且在位于原发病灶和外周血循环肿瘤细胞之间,以及多发转移的肿瘤患者,在不同部位转移灶的细胞之间,往往也有着不同的遗传背景和分子特质。这些突变后肿瘤细胞,更容易入血形成新的CTCs,这其中蕴含着的关于肿瘤药物敏感性和病程进展的信息,在某种程度上,这对抗肿瘤治疗手段的选择和治疗策略的及时调整具有无可比拟的重要作用,对肿瘤的早期诊断、临床分期、复发转移和耐药监测、预后判断、开发新的治疗靶点具有重要价值[7]


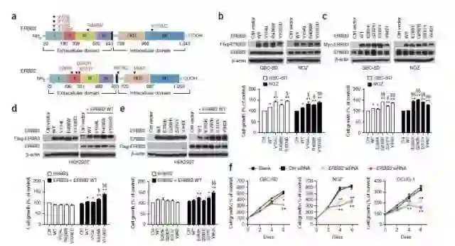
图1: Somaticalterations of ERBB3 and ERBB2 and their oncogenic effects on normal and GBCcells.(摘录自2014年Naturegenetics)


参考文献


1BalicM, Dandachi N, Hofmann G, Samonigg H, Loibner H, Obwaller A, van der Kooi A,Tibbe AG, Doyle GV, Terstappen LW. Comparisonof two methods for enumerating circulating tumor cells in carcinoma patients.[J].CytometryPart B, Clinical cytometry 2005, 68(1):25-30.

2Y. Zhu, K. Kekalo, C. NDong, Y. Huang, F. Shubitidze, K. Krisword,I. Baker and X.J. Zhang,Magnetic- nanoparticle-based immunoassays-on-Chip: materials synthesis, surfacefunctionization and cancer cell screening. Advanced Functional Materials, 2016

3: J. Wu, X. Wei, J. Gan, J. Lou, T. Shen, B. Liu, X.J. Zhang*,K. Qian*.  Multi-functional magnetic particles for combined circulating tumorcells isolation and cellular metabolism detection. Advanced FunctionalMaterials (*co-corresponding authors), 2016

4: E. Ng, K. Chen, M. Hang, A. Syed, X.J. ZhangMulti-dimensional nanostructure formicrofluidic screening of biomarkers: from molecular separation to cancer celldetection. Annals of Biomedical Engineering, 1-16, 2015.

5HiraiwaK, TakeuchiH, HasegawaH, SaikawaY, Suda K, Ando T, KumagaiK, Irino T, YoshikawaT, MatsudaS, KitajimaM, KitagawaYClinicalsignificance of circulating tumor cells in blood from patients withgastrointestinal cancers. AnnSurg Oncol. 2008 Nov;15(11):3092-100.

6HuangXGaoPSunJChenXSongYZhaoJXuHWangZClinicopathologicaland prognostic significance of circulating tumorcells in patients with gastric cancer: a meta-analysis.IntJ Cancer. 2015 Jan 1;136(1):21-33.

7: Li M, Z Zhang, X Li, et al. Whole-exome and targetedgene sequencing of all gallbladder carcinoma identifies recurrent mutations inthe ErbB pathway.[J]. Naturegenetics.2014;46(8):872-876.


本文作者


乐飚1, 宋毅1,饶创宙2,钱海龙3,沈挺1,张晓晶1

1:宁波美晶医疗技术有限公司

2:宁波市第二医院放化疗科

3:宁波市李惠利东部医院胃肠外科


End

点击阅读原文,查看详情

登录查看更多
0

相关内容

它的目的是理解计算的本质,并因此提供更有效的方法。所有介绍或研究数学、逻辑和形式概念和方法的论文都是受欢迎的,前提是它们的动机显然来自计算领域。理论计算机科学发表的论文按其性质分为三个部分。第一部分“算法,自动机,复杂性和游戏”致力于研究算法及其复杂性,使用分析,组合或概率的方法。它包括抽象复杂性的整个领域(即,所有可以使用图灵机器定义的层次结构的结果)、自动机和语言理论的整个领域(包括无限词和无限语言的自动机),整个几何(图形)应用领域和使用统计方法测量系统性能的整个领域。官网链接:https://www.sciencedirect.com/journal/theoretical-computer-science/about/aims-and-scope
基于深度学习的多标签生成研究进展
专知会员服务
147+阅读 · 2020年4月25日
专知会员服务
29+阅读 · 2020年3月6日
广东疾控中心《新型冠状病毒感染防护》,65页pdf
专知会员服务
19+阅读 · 2020年1月26日
2017-2018年抗肿瘤药物行业研究报告
行业研究报告
7+阅读 · 2018年11月1日
Question Generation by Transformers
Arxiv
5+阅读 · 2019年9月14日
How to Fine-Tune BERT for Text Classification?
Arxiv
13+阅读 · 2019年5月14日
Arxiv
4+阅读 · 2018年3月14日
VIP会员
最新内容
《人工智能赋能电磁战》(报告)
专知会员服务
2+阅读 · 4月17日
【CMU博士论文】迈向可扩展的开放世界三维感知
前馈式三维场景建模
专知会员服务
1+阅读 · 4月17日
(译文)认知战:以士兵为目标,塑造战略
专知会员服务
3+阅读 · 4月17日
Top
微信扫码咨询专知VIP会员