南开校长曹雪涛团队12篇论文被调查“可信性”,此前被举报实验图片有PS痕迹

2020 年 6 月 28 日 量子位
晓查 发自 凹非寺 
量子位 报道 | 公众号 QbitAI

南开大学校长曹雪涛院士团队的12篇论文被质疑“造假”事件,现在有了最新进展。

6月26日,核心学术期刊《生物化学杂志》(JBC)在首页醒目位置刊登公告,称对曹雪涛团队在JBC上发表的12篇文章中的数据和结论可信性保持高度关注,并在相应文章开头用红字标注。

同时也强调,目前还没有进一步的评论

这段言简意赅的声明,直指南开大学校长、中国工程院院士曹雪涛团队在去年11月陷入的论文造假风波。

曹雪涛是国内免疫学专家,毕业于第二军医大学,获博士学位。他不仅是中国工程院院士,也是美国国家医学科学院外籍院士、德国科学院外籍院士。

半年前,专门从事学术打假的微生物学和免疫学博士Elisabeth BikPubpeer网站上对曹雪涛团队多篇文章中的图片提出质疑,指出部分论文图片存在复制嫌疑。

学术圈的人大都熟悉,PubPeer是一个允许学术界参与文章出版后讨论与评审的文章的平台,也是一个论文造假举报地。

JBC发表声明后,也立即在Pubpeer上提交了对这12篇论文的关注,相关论文的时间跨度从2004年到2014年,其中有6篇,此前都有学术界人士提出过质疑。

“论文造假”质疑风波始末

从去年11月15日起,曹雪涛团队多篇论文被实名举报“造假”,称其论文实验图片存在PS痕迹,被质疑的论文时间跨度从2003年到2018年。

截至今日(6月28日),Pubpeer上对曹雪涛团队质疑的论文达72篇。

其中,作者已经对其中的16篇内容做出回应(Author Response),19篇论文做出勘误(Erratum),1篇被撤稿(Retracted)。

在这些被质疑的论文中,不乏发表在JBC、Nature Immunity、Science等顶级学术期刊上的论文,涉及曹雪涛所工作过的第二军医大学、浙江大学、中国医学科学院多所高校和科研机构。

去年,在得知自己论文被质疑后,曹雪涛当天下午回复《中国新闻周刊》时表示,“我现在刚到上海实验室,要把这些事情查一下。我知道大家关注这个事情,查完了,我会给大家一个回复。”

此后,曹雪涛也在Pubpeer的讨论区中回应了质疑者:

“感谢对我们工作的关注,以及对保护科学记录准确性和科研诚信的贡献——它们对我一直都是最重要的。”

但他也表示,对这些论文中得出的科学结论的有效性、牢靠性以及研究的可重复性,充满信心。

被质疑的12篇论文

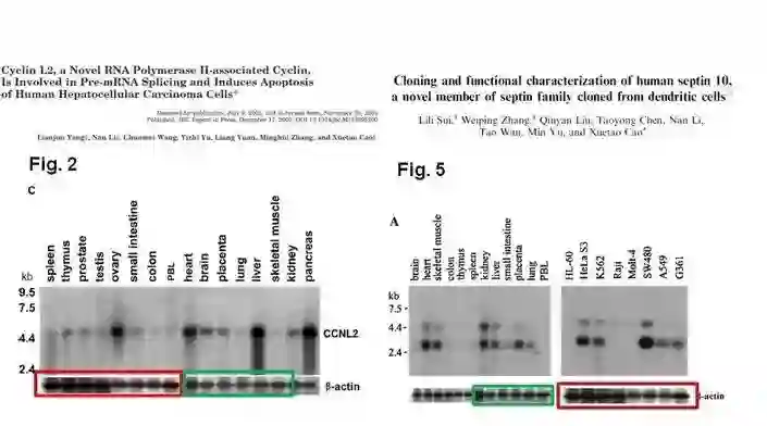
而这次《生物化学杂志》声明中“保持关注”的12篇论文,主要问题在于“实验图像”。

在其中一篇中,知名的专业打假人士Elizabeth Bik和其他业内人士,总共指出了8处疑问。


Elizabeth Bik指出,曹雪涛的论文出现了两次实验结果图像完全一致,还有局部图多次出现复制粘贴。

比如下面两张电泳图像,疑似为实验图像左右互换后的粘贴。

以下是这个两个部分的特写:

还有一张图片中的两个实验图像高度相似:

但也有人认为,在电泳凝胶中出现相似图像可能只是一种巧合,不是一个严重的问题。

还有人指出,画出的几个相似处其实并不完全相同,放大细节后可以看出差异。

但无论如何,JBC官方已经启动了对这12篇论文的调查。

中国工程院去年也宣布,将针对围绕曹雪涛院士的论文质疑和投诉进行调查。

所以,目前只是一个最新的进展,一切论断,需要等调查结果公布后,才有是非公论。

而且学术研究工作,被质疑也是再正常不过的程序,最终结果,亦需要调查程序完成后才有结论。

目前,除了在Pubpeer的讨论区正名回应过质疑,曹雪涛未再对事件有过解释回应。

One More Thing

但一波未平,一波又起。

就在JBC表达对曹雪涛团队论文关注后的第二天……

另一位生物领域内的知名学者也被怀疑学术造假。

自5月起,PubPeer上陆续有人匿名发帖,质疑清华医学院院长、中科院院士董晨的24篇论文存在一图多用、图像异常等问题。



对此董晨回应称:“可以排除有意的学术造假,没有任何论文的科学结论有所改变。”

这24篇论文都由董晨担任通讯作者或共同通讯作者,发表时间从2003年到2019年,大部分是董晨在德克萨斯大学安德森肿瘤中心、华盛顿大学、清华大学医学院期间发表的。

其中还有两篇被Nature收录。

参考链接:

https://www.thepaper.cn/newsDetail_forward_4988425

http://www.nbd.com.cn/articles/2019-11-18/1387005.html

https://pubpeer.com/search?q=xuetao+cao

https://pubpeer.com/publications/2DA67F4FE904F63A1EE6F0550077B6

作者系网易新闻·网易号“各有态度”签约作者

深入解析OceanBase数据库 | 免费报名

在阿里体系内,OceanBase数据库支撑了支付宝、网商银行等重要业务,已成为世界领先的数据库产品。那么其背后有哪些核心技术?

7月2号第三期直播,蚂蚁集团OceanBase数据库资深专家--韩富晟(颜然)将介绍数据库发展演进历史,并深入解析OceanBase实现数据库的机制。

扫码报名,可加入直播交流群,还可获取系列课程直播回放、分享PPT: 


量子位 QbitAI · 头条号签约作者


վ'ᴗ' ի 追踪AI技术和产品新动态


喜欢就点「在看」吧 !



登录查看更多
0

相关内容

CVPR 2020 最佳论文与最佳学生论文!
专知会员服务
36+阅读 · 2020年6月17日
2019->2020必看的十篇「深度学习领域综述」论文
专知会员服务
275+阅读 · 2020年1月1日
专知会员服务
38+阅读 · 2019年12月13日
消失的千人计划
新智元
24+阅读 · 2019年4月27日
翟天临博士所发论文涉嫌抄袭(附各路证据)
曹雪涛院士团队:刚发完Nature,又发一篇Cell
Deep Co-Training for Semi-Supervised Image Segmentation
Arxiv
6+阅读 · 2018年5月22日
Arxiv
11+阅读 · 2018年5月13日
Arxiv
5+阅读 · 2018年3月16日
VIP会员
最新内容
人工智能在战场行动中的演进及伊朗案例
专知会员服务
7+阅读 · 4月18日
美AI公司Anthropic推出网络安全模型“Mythos”
专知会员服务
4+阅读 · 4月18日
【博士论文】面向城市环境的可解释计算机视觉
大语言模型的自改进机制:技术综述与未来展望
《第四代军事特种作战部队选拔与评估》
专知会员服务
3+阅读 · 4月18日
Top
微信扫码咨询专知VIP会员