Nature:谷歌用AI模型提升乳腺癌检测准确率

2020 年 1 月 2 日 学术头条

International evaluation of an AI system for breast cancer screening


作者:

Scott Mayer McKinney, Marcin Sieniek, ……, Shravya Shetty(谷歌)

链接:

https://www.nature.com/articles/s41586-019-1799-6



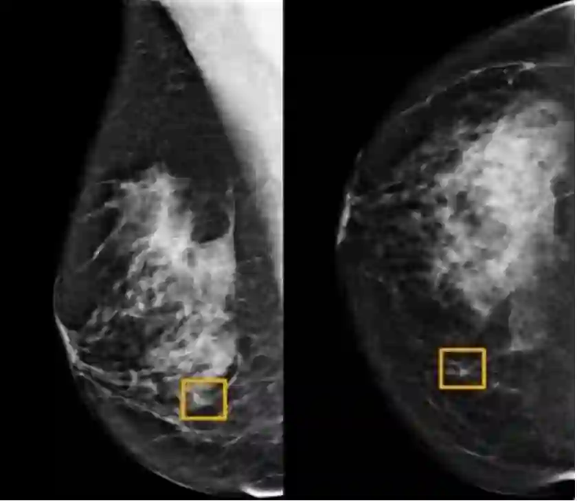
乳腺癌检测AI模型


人工智能系统在医学诊断中又有了新的应用。


在发表于《自然》( Nature )的最新研究中,谷歌健康团队开发了一种能够检测乳腺癌的AI系统。


目前,人类专家在解读乳房X光图像时,准确率仍有上升空间。


而这款深度学习AI模型可以通过筛查乳房X光图像来检测乳腺癌。研究人员利用两个大型数据集对该系统进行了测评。结果显示:出现假阳性与假阴性的概率都下降了,其表现优于另一项研究中的放射科专家。



此外,该系统协助放射科专家工作时,可大幅减少人类专家的工作量。



摘要(英文)


Screening mammography aims to identify breast cancer at earlier stages of the disease, when treatment can be more successful1. Despite the existence of screening programmes worldwide, the interpretation of mammograms is affected by high rates of false positives and false negatives2. Here we present an artificial intelligence (AI) system that is capable of surpassing human experts in breast cancer prediction. To assess its performance in the clinical setting, we curated a large representative dataset from the UK and a large enriched dataset from the USA. We show an absolute reduction of 5.7% and 1.2% (USA and UK) in false positives and 9.4% and 2.7% in false negatives. We provide evidence of the ability of the system to generalize from the UK to the USA. In an independent study of six radiologists, the AI system outperformed all of the human readers: the area under the receiver operating characteristic curve (AUC-ROC) for the AI system was greater than the AUC-ROC for the average radiologist by an absolute margin of 11.5%. We ran a simulation in which the AI system participated in the double-reading process that is used in the UK, and found that the AI system maintained non-inferior performance and reduced the workload of the second reader by 88%. This robust assessment of the AI system paves the way for clinical trials to improve the accuracy and efficiency of breast cancer screening.


排版| 学术菠菜

校审| 小满

责编| 学术渣 优学术



往期精彩回顾



【NeurIPS100】NeurIPS2019 七篇获奖论文揭晓 入选论文深度分析!

清华蝉联计算机科学AI专业全球冠军,前十院校中国占四所

Nature通讯:科学家兴趣转移愈发频繁,反而对科研生涯愈发不利



点击“阅读原文”获取更多精彩文章↓
登录查看更多
0

相关内容

斯坦福&谷歌Jeff Dean最新Nature论文:医疗深度学习技术指南
2019年机器学习框架回顾
专知会员服务
36+阅读 · 2019年10月11日
[综述]深度学习下的场景文本检测与识别
专知会员服务
78+阅读 · 2019年10月10日
不需要预训练模型的检测算法—DSOD
极市平台
9+阅读 · 2019年10月10日
Nature 一周论文导读 | 2019 年 8 月 1 日
科研圈
8+阅读 · 2019年8月11日
Nature 一周论文导读 | 2019 年 5 月 30 日
科研圈
15+阅读 · 2019年6月9日
Nature 一周论文导读 | 2019 年 2 月 28 日
科研圈
13+阅读 · 2019年3月10日
Nature 一周论文导读 | 2019 年 2 月 21 日
科研圈
14+阅读 · 2019年3月3日
Nature 一周论文导读 | 2018 年 5 月 24 日
科研圈
11+阅读 · 2018年5月27日
Learning in the Frequency Domain
Arxiv
11+阅读 · 2020年3月12日
Arxiv
5+阅读 · 2016年12月29日
VIP会员
最新内容
美陆军设想无人系统司令部
专知会员服务
2+阅读 · 今天13:45
【博士论文】已对齐人工智能系统的持久脆弱性
专知会员服务
0+阅读 · 今天13:52
扭曲还是编造?视频大语言模型幻觉研究综述
专知会员服务
0+阅读 · 今天13:41
《采用系统思维应对混合战争》125页
专知会员服务
2+阅读 · 今天12:47
战争机器学习:数据生态系统构建(155页)
专知会员服务
6+阅读 · 今天8:10
内省扩散语言模型
专知会员服务
6+阅读 · 4月14日
国外反无人机系统与技术动态
专知会员服务
4+阅读 · 4月14日
相关资讯
Top
微信扫码咨询专知VIP会员