论文图片误用?AI:这条路已被我堵死了

2021 年 12 月 22 日 量子位
博雯 发自 凹非寺
量子位 报道 | 公众号 QbitAI

现在的AI已经开始参与论文打假了!

就像是这样,经过旋转、拉伸和缩放之后的图片,人眼或许无法辨认,但AI能看到数百个相似的特征:

蓝色线条表示相似特征

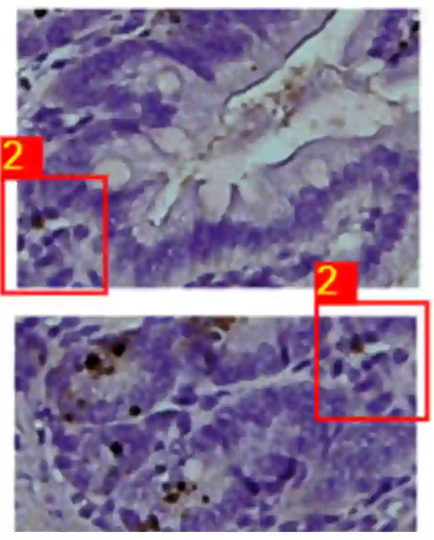
即使通过高超的“图像处理手段”把一张完整图像中的局部画面挪到自己的图像里,也能一眼分辨:

对于AI来说,这可能是秒认的活儿,甚至就算是一篇图像繁杂的完整论文,也不过花费一两分钟。

但对于人眼可就没那么简单了,比如知名学术打假人Elisabeth Bik为了寻找不同论文中使用相同图片展示各自不同的实验结果的例子,曾花费了整整2年时间。

而对于出版商们来说,刊登又撤稿中间的损失就更大了……

因此,最近几年,AI打假员愈发频繁地被引入了论文审查,尤其是图像问题中。

比如,自今年1月份开始,世界上最大、最古老的癌症研究专业协会,美国癌症协会(AACR)就已经开始使用AI软件来评审旗下期刊文章里的图片造假或重复问题了。

官方网站上也已经写明:提交手稿中的所有图像都需要通过AI软件进行筛选。

不仅是AACR,世界第五大出版商SAGE、老牌经典医学期刊JCI、 JCI Insight都已经用上了这种方法。

自动图像校对

这些期刊和出版商们所使用的是一个由以色列公司Proofig开发的同名软件。

Proofig软件基于AI技术和图像处理技术,面向各种科学文稿中的图像,包括所有类型的显微镜照片(光学、电学、共聚焦)、载玻片、蛋白免疫印迹(Western blot)、生物体内和体外图像、植物图像等等。

软件会从论文中识别图像,然后提取它们共同的特征进行比较。

这些“共同的特征”包括对图像整体的缩放或旋转、部分重复或重叠、还有一些方位上的不同。

除此之外,软件也能额外检测到一些问题,比如高分辨率的原始数据被压缩到更小的文件中时,可能出现的压缩失真或压缩伪影(Compression artifact)情况。

一篇普通的论文通常在2分钟以内可以检查完毕,最多不超过10分钟。

对于很多出版商来说,一篇已刊登的科学文稿里如果出现图像剽窃这种学术不端的现象,那么从调查、撤稿到后续的法律费用,平均每篇文章可能要损失百万美元。

因此,很多出版商都乐意引入性价比较高的AI来和人工审查组一起工作。

AACR的一位期刊运营总监就表示:

很多作者也很高兴能在出版前注意到一些“无意中的”图像复制错误。

而对于我们来说,严谨的数据是我们期刊的一个显著的标志,因此,这(Proofig)绝对是值得投入的时间和金钱。

出版商们联合起来

其实,科学文稿中的图像重复或剽窃的现象已经是屡见不鲜了。

2016年,Nature上就有一篇文章对约2万篇生物医学论文进行人工分析后发现,其中4%的论文都可能包含上述问题。

而通常每年只有1%的文稿得到更正,因此撤回的文章就更少了。

因此,去年5月份,一些出版商联合起来成立了一个为解决论文中图像问题的小组,其中包括荷兰出版业巨头爱思唯尔(Elsevier)、Wiley、Springer Nature和Taylor & Francis。

爱思唯尔表示,小组最终的目标是“创造一个能够帮助我们自动识别图像变化的环境。”

还有很多出版商试图自己解决问题,比如瑞士出版商Frontiers开发了自己的论文图像检查软件,作为自动检查系统AIRA的一部分。

Frontiers内部的一位发言人表示,软件自2020年8月投入使用,标记的大多数论文都没有问题, 只有大约10%的论文需要人工检查小组的跟踪处理。

而有些尚未引入AI手段的出版商也展现出了对这种方法的怀疑:

在可靠性上,AI检查还没有大规模地投入使用。比如爱思唯尔的软件目前的进度还是“正在测试中“,只对部分期刊开放使用。

在成本上,AI软件偶尔的“误杀”依旧需要人工参与,甚至会引起其他的纠纷。

不过有人从另一个角度提出了问题:

如果所有的论文都是开放存取的,那么图像误用/重复问题将更容易得到审查,训练AI也会更有效率。

参考链接:
[1]https://www.nature.com/articles/d41586-021-03807-6

[2]https://www.nature.com/articles/nature.2016.19802

本文系网易新闻•网易号特色内容激励计划签约账号【量子位】原创内容,未经账号授权,禁止随意转载。

「智能汽车」交流群招募中!

欢迎关注智能汽车、自动驾驶的小伙伴们加入社群,与行业大咖交流、切磋,不错过智能汽车行业发展&技术进展。

ps.加好友请务必备注您的姓名-公司-职位哦~


点这里👇关注我,记得标星哦~

一键三连「分享」、「点赞」和「在看」

科技前沿进展日日相见~


登录查看更多
0

相关内容

论文(Paper)是专知网站核心资料文档,包括全球顶级期刊、顶级会议论文,及全球顶尖高校博士硕士学位论文。重点关注中国计算机学会推荐的国际学术会议和期刊,CCF-A、B、C三类。通过人机协作方式,汇编、挖掘后呈现于专知网站。
【CVPR2022】GaTector:凝视对象预测的统一框架
专知会员服务
10+阅读 · 2022年3月24日
AAAI 2022接收论文列表发布,1349篇论文都在这了!
专知会员服务
146+阅读 · 2022年1月11日
专知会员服务
39+阅读 · 2021年3月29日
专知会员服务
114+阅读 · 2020年10月8日
【CMU博士论文】机器人深度强化学习,128页pdf
专知会员服务
133+阅读 · 2020年8月27日
2019必读的十大深度强化学习论文
专知会员服务
59+阅读 · 2020年1月16日
【综述】关键词生成,附10页pdf论文下载
专知会员服务
54+阅读 · 2019年11月20日
AI已经参与论文打假了!
CVer
0+阅读 · 2021年12月23日
小图像,大图景:AI彻底改变了显微镜技术
机器之心
0+阅读 · 2021年5月2日
国家自然科学基金
0+阅读 · 2015年12月31日
国家自然科学基金
0+阅读 · 2013年12月31日
国家自然科学基金
0+阅读 · 2013年12月31日
国家自然科学基金
0+阅读 · 2012年12月31日
国家自然科学基金
0+阅读 · 2012年12月31日
国家自然科学基金
0+阅读 · 2012年12月31日
国家自然科学基金
0+阅读 · 2011年12月31日
国家自然科学基金
0+阅读 · 2010年12月31日
国家自然科学基金
0+阅读 · 2008年12月31日
国家自然科学基金
0+阅读 · 2008年12月31日
Arxiv
0+阅读 · 2022年4月20日
Deep learning for cardiac image segmentation: A review
Arxiv
21+阅读 · 2019年11月9日
Arxiv
12+阅读 · 2019年3月14日
VIP会员
最新内容
美陆军设想无人系统司令部
专知会员服务
0+阅读 · 今天13:45
【博士论文】已对齐人工智能系统的持久脆弱性
专知会员服务
0+阅读 · 今天13:52
扭曲还是编造?视频大语言模型幻觉研究综述
专知会员服务
0+阅读 · 今天13:41
《采用系统思维应对混合战争》125页
专知会员服务
2+阅读 · 今天12:47
战争机器学习:数据生态系统构建(155页)
专知会员服务
6+阅读 · 今天8:10
内省扩散语言模型
专知会员服务
5+阅读 · 4月14日
国外反无人机系统与技术动态
专知会员服务
4+阅读 · 4月14日
相关VIP内容
【CVPR2022】GaTector:凝视对象预测的统一框架
专知会员服务
10+阅读 · 2022年3月24日
AAAI 2022接收论文列表发布,1349篇论文都在这了!
专知会员服务
146+阅读 · 2022年1月11日
专知会员服务
39+阅读 · 2021年3月29日
专知会员服务
114+阅读 · 2020年10月8日
【CMU博士论文】机器人深度强化学习,128页pdf
专知会员服务
133+阅读 · 2020年8月27日
2019必读的十大深度强化学习论文
专知会员服务
59+阅读 · 2020年1月16日
【综述】关键词生成,附10页pdf论文下载
专知会员服务
54+阅读 · 2019年11月20日
相关基金
国家自然科学基金
0+阅读 · 2015年12月31日
国家自然科学基金
0+阅读 · 2013年12月31日
国家自然科学基金
0+阅读 · 2013年12月31日
国家自然科学基金
0+阅读 · 2012年12月31日
国家自然科学基金
0+阅读 · 2012年12月31日
国家自然科学基金
0+阅读 · 2012年12月31日
国家自然科学基金
0+阅读 · 2011年12月31日
国家自然科学基金
0+阅读 · 2010年12月31日
国家自然科学基金
0+阅读 · 2008年12月31日
国家自然科学基金
0+阅读 · 2008年12月31日
Top
微信扫码咨询专知VIP会员