Cell:揭秘肥胖与癌症的“坏勾当”!多余脂肪竟帮癌细胞“抑制”免疫细胞,加速肿瘤生长

2020 年 12 月 9 日 学术头条


肥胖,已经成为全世界范围内的“流行病”,是 21 世纪最重要的公共卫生问题之一,是包括糖尿病、心血管疾病和多种癌症在内的若干慢性病的主要风险因素。这一曾经被视为仅出现于高收入国家的病症,如今在低收入和中等收入国家呈急剧上升的趋势。


当前,肥胖已被证实与数十种癌症(肺癌、肝癌、胰腺癌、甲状腺癌、宫颈癌、乳腺癌和结直肠癌等)患病风险增加,以及更差的预后和生存率有关。


多年来,科学家也已经发现了与肥胖有关的、可以导致肿瘤生长的危险因素,比如代谢变化和慢性炎症。但是,对于肥胖和癌症之间相互作用的详细过程,依然还不清楚。 


如今,来自哈佛医学院的研究人员及其合作者,在一项最新研究中为我们揭示了这一答案:高脂肪饮食导致的肥胖,使癌细胞在与免疫细胞争夺代谢“燃料”的战斗中胜出


研究人员发现,高脂肪饮食会降低肿瘤内 CD8+ T 细胞(一种可以杀死癌细胞、受病毒感染的细胞以及其他受损的免疫细胞)的数量和抗肿瘤活性。这是由于癌细胞为适应不断增加的脂肪会重新“设计”它们的代谢机制,从而更好地从 T 细胞“手中”抢夺富含能量的脂肪分子,在抑制 T 细胞代谢的同时,加速肿瘤的生长。


图|高脂饮食会干扰 CD8 + T 细胞的代谢,从而损害其抗肿瘤免疫力(来源:Cell


图|肿瘤细胞(蓝绿色)中的 CD8+ T 细胞(红色)含量对比。与肥胖小鼠的肿瘤(下图)相比,非肥胖小鼠的肿瘤(上图)中含有更多的 CD8+ T 细胞(来源:Cell

同时,他们发现 PHD3(一种在正常细胞中被证明可以抑制过度脂肪代谢的蛋白质)表达的增加,在很大程度上可以逆转高脂饮食对肿瘤免疫细胞功能的负面影响,或许有潜力成为未来多种癌症疾病的治疗靶点。

相关论文以“Obesity Shapes Metabolism in the Tumor Microenvironment to Suppress Anti-Tumor Immunity”为题,在线发表在科学期刊《细胞》(Cell)上。

(来源:Cell

论文作者之一、哈佛医学院 Blavatnik 研究所细胞生物学教授 Marcia Haigis 表示,这一研究结果表明,一种可能在某一环境下有效的疗法,在另一环境下或许将不再有效,考虑到当前肥胖在全世界范围的普遍程度,且由于 CD8+ T 细胞是免疫疗法中的“主要武器”,可以激活免疫系统来对抗癌症。因此,这一研究发现具有非常重要的理论价值,为改进这类免疫疗法提出了新的策略。

肥胖危害巨大,不可轻视

肥胖会导致种种严重的健康后果,比如心血管疾病(主要是心脏病和中风)、二型糖尿病、骨关节炎等肌肉骨胳疾患和一些癌症(子宫内膜癌、乳腺癌和结肠癌),这些病症会使得肥胖人群患上严重残疾,甚至过早死亡。

来自世界卫生组织(WHO)的数据显示 ,自 1975 年以来,世界肥胖人数已增长近 3 倍;2016 年,18 岁及以上的成年人中逾 19 亿人超重,其中超过 6.5 亿人肥胖,超过 3.4 亿名 5-19 岁儿童和青少年超重或肥胖,5-19 岁儿童和青少年的超重和肥胖流行率从 1975 年的仅 4% 大幅上升到 2016 年的 18% 以上,其中男孩和女孩中的上升情况类似,有 18% 的女孩和 19% 岁的男孩超重;在世界多数国家内,死于超重和肥胖的人数大于死于体重不足的人数;2019 年,5 岁以下儿童超重或肥胖的人数达到了 3800 万左右,近半数生活在亚洲。

(来源:Pixabay)

同日,另一项来自英国拉夫堡大学汤姆·诺里斯(Tom Norris)博士及其合作者的研究,也揭露了肥胖对我们身体健康的危害。

研究人员分析了来自 20746 名 10-40 岁被调查对象的身体质量指数(BMI)以及心血管代谢疾病风险因素。

结果显示,肥胖的持续时间越长,与心血管代谢疾病风险因素(血压、血糖和胆固醇等)有关的数值就越糟糕 ,尤其是糖化血红蛋白(一种用于糖尿病诊断测试的指标)。与没有肥胖史的人相比,具有 5 年以下肥胖史的人,糖化血红蛋白数值要高出 5%,而对于那些有着 20-30 年肥胖史的人来说,这一数字更是达到了惊人的 20%。

可见,肥胖的危害远远超出我们的想象。

近年来,随着与肥胖有关的癌症发病率持续上升,研究并发掘肥胖与癌症之间的关系,对于未来癌症的预防和治疗研究至关重要。

一直以来,肥胖被视为诱发癌症的主要危险因素,以往关于肥胖和癌症的研究主要集中在肿瘤内在效应或内分泌肿瘤细胞调节轴上,但机体代谢差异如何改变肿瘤微环境和影响抗肿瘤免疫尚不清楚。

揭开肥胖与癌症的“勾当”

在此项工作中,研究人员为揭示肥胖对患有不同类型癌症(肺癌、乳腺癌、结直肠癌、和黑色素瘤等)小鼠的影响,分别为不同组的小鼠提供高脂肪饮食(high-fat diet,HFD)和对照饮食(control diet,CD),其中高脂肪饮食可导致小鼠出现肥胖症状和其它与肥胖相关的变化,并观察了肿瘤微环境(包括肿瘤内部及其周围环境)的不同细胞类型和分子。

结果显示,高脂肪饮食诱导的肥胖会损害小鼠肿瘤微环境中 CD8+ T 细胞的功能,加速肿瘤的生长,阻断这种与脂肪相关的代谢重新“设计”可以显著降低被动接受高脂肪饮食的小鼠体内的肿瘤体积,提高抗肿瘤免疫能力。

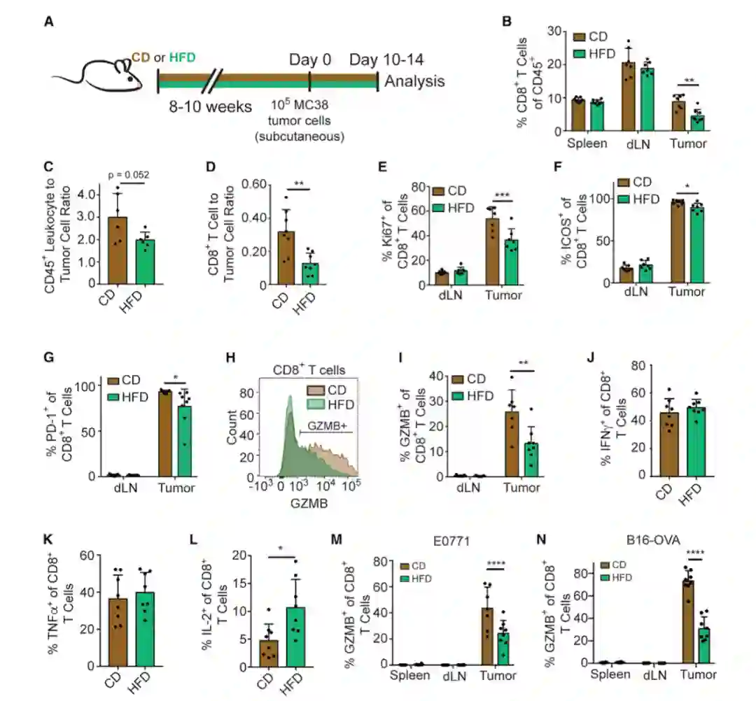
图|高脂肪饮食抑制了肿瘤内 CD8+ T 细胞的增殖和活性。A. 实验设置示意图,小鼠结肠癌模型 MC38;B-L. 流式细胞术分析(用于对悬浮于流体中的微小颗粒进行计数和分选)分析结果;M、N. 量化肿瘤中 CD8+ 肿瘤浸润淋巴细胞(CD8+ TILs)的 GZMB 表达。(来源:Cell

论文作者之一、哈佛医学院比较病理学“George Fabyan”教授、Blavatnik 研究所免疫学系主任 Arlene Sharpe 表示,尽管癌症免疫疗法对患者的生活产生了巨大的影响,但并不是每个人都能从中受益。

我们现在知道,T 细胞和癌细胞之间有一场新陈代谢的拉锯战(metabolic tug-of-war),究竟谁输谁赢,会随着机体的肥胖程度而变化。我们的研究为探索这种相互作用提供了一个路线图,从而帮助我们以新的方式思考癌症免疫疗法和联合疗法。”

由于此前对人类癌症的分析揭示了 CD8 + T 细胞标志物的类似转录变化,因此未来有望开发出一种利用新陈代谢来改善癌症免疫疗法的干预措施。

此外,研究人员还发现,与正常饮食的动物相比,高脂肪饮食的动物肿瘤生长得更快,但这只是发生在具有免疫原性的肿瘤中,这些肿瘤可能含有大量免疫细胞,更容易被免疫系统识别,更有可能引发免疫反应。实验表明,与饮食相关的肿瘤生长差异特别依赖于 CD8+ T 细胞的活性。但是,如果在实验中消除小鼠体内的 CD8+ T 细胞后,饮食就对肿瘤生长没有影响。

更令人惊讶的是,高脂肪饮食只是减少了肿瘤微环境中 CD8+ T 细胞的数量,而机体其他部位的 CD8+ T 细胞数量却并没有减少。

而且,那些残留在肿瘤微环境中的 CD8+ T 细胞,尽管它们的活性明显降低了很多,但当这些细胞被分离出来,并在实验室中生长时,它们会重新具有正常的活性。这就表明,是肿瘤中的某些东西损害了 CD8+ T 细胞的功能。

研究人员还发现了一个非常明显的矛盾 :在肥胖动物体内,尽管其他部位依然富含脂肪,但肿瘤微环境中关键的游离脂肪酸(细胞的主要燃料来源)却已被耗尽。

这些“线索”促使研究人员绘制出了一份肿瘤中不同细胞类型在正常和高脂肪饮食条件下的代谢图谱(metabolic atlas)。

分析显示,癌细胞会针对机体脂肪含量的变化做出反应。在高脂肪饮食下,为增加脂肪的摄取和利用,癌细胞会重新“设计”代谢功能,但 CD8+ T 细胞却不能,这就导致肿瘤微环境中的某些脂肪酸被耗尽,T 细胞因为缺乏这种必需的燃料而活性降低。

论文作者之一、Haigis 实验室的博士后 Alison Ringel 表示,脂肪酸这种“矛盾”式的消耗是这项研究最令人惊讶的发现之一。“肥胖和全身新陈代谢可以改变肿瘤中不同细胞利用燃料的方式,这是一个非常令人兴奋的发现,我们的代谢图谱允许我们解剖和更好地了解这些过程。”

一种潜在的癌症治疗靶点

通过单细胞基因表达分析、大规模蛋白质分析(large-scale protein surveys)和高分辨率成像等方法,研究人员确定了肿瘤微环境中癌细胞和免疫细胞中许多与饮食有关的代谢途径的变化。

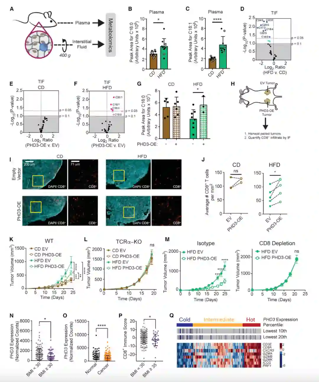
特别令人兴奋的发现是 PHD3 ,这是一种在正常细胞中被证明可以抑制过度脂肪代谢的蛋白质。研究人员发现,肥胖环境下的癌细胞,相比于正常环境下的 PHD3 表达明显降低。同时,当他们“迫使”肿瘤细胞过度表达 PHD 时,肥胖小鼠体内肿瘤“抢夺”脂肪的能力相应降低了,肿瘤微环境中关键的游离脂肪酸含量也增加了。

图|增加肿瘤细胞中 PHD3 的表达,可提高 CD8+ T 活性、抑制肿瘤生长。(来源:Cell

PHD3 表达的增加在很大程度上逆转了高脂饮食对肿瘤免疫细胞功能的负面影响。与 PHD3 低表达的肿瘤相比,PHD3 高表达的肿瘤在肥胖小鼠中生长较慢。 这是 CD8+ T 细胞活性增加的直接影响。在缺乏 CD8+ T 细胞的肥胖小鼠中,PHD3 表达的差异不影响肿瘤的生长。
 
研究人员通过分析人类肿瘤数据库(human tumor databases)发现,PHD3 的低表达与“冷”肿瘤细胞(免疫细胞数量较少)有关。这种联系表明,肿瘤脂肪代谢在人类疾病中扮演着重要角色,肥胖降低了机体对多种癌症的抗肿瘤免疫。

“CD8+ T 细胞是疫苗研发、细胞疗法(比如 CAR-T)等诸多精准癌症疗法的关注热点。这些方法需要 T 细胞有足够多的能量来杀死癌细胞,但同时我们也不希望肿瘤有足够的燃料来生长。如今,我们拥有了研究这种阻止 T 细胞实现应有功能的动态和确定机制的全面数据。” Sharpe 解释道。

研究人员表示,这一结果为更好地理解肥胖如何影响癌症以及患者机体代谢对治疗结果的影响奠定了基础。尽管目前还不能将 PHD3 作为最好的治疗靶点,但这一发现为通过其代谢缺陷(metabolic vulnerability)来对抗癌症的新策略打开了大门。

“我们可以利用这些潜在的靶点来预防癌症、增强免疫抗肿瘤功能。我们的研究提供了一个高分辨率的代谢图谱,来挖掘对肥胖、肿瘤免疫以及免疫细胞和癌细胞之间相互影响和竞争的洞察。未来,还有更多的工作需要探索。” Haigis 说。

此外,这一研究也具有一定的局限性。 研究人员表示,虽然他们在一定程度上揭示了高脂肪饮食小鼠肿瘤细胞转录改变抑制抗肿瘤免疫的概念证明,但并没有证明这是由小鼠结肠癌模型 MC38 细胞中脂肪氧化增强引起的;而且,由过度饮食造成的肥胖是全身性的,而 PHD3 只是在有助于增加 CD8+ T 细胞活性、抑制肿瘤生长,还有很多其他因素可能降低 CD8+ T 细胞的抗肿瘤反应。因此,相关工作还需要做进一步的研究。

管好嘴、迈开腿

肥胖和超重的根本原因是摄入卡路里与消耗卡路里之间的能量不平衡。

随着生活水平的逐渐提高,人们对富含脂肪和糖的高能量食品摄入持续增加;而且,越来越多的久坐、交通方式的变化以及城市化水平提升,使得我们缺少体力活动的问题越来越严重。

(来源:Pixabay)

好在,肥胖可以预防。 世界卫生组织建议,可以通过限制总脂肪量的能量摄入,以及将饱和脂肪转变为不饱和脂肪来实现脂肪消耗;同时,增加水果和蔬菜以及豆类、全谷类和坚果的消耗量;并限制糖的摄入量;此外,可以加大身体活动量,通常每天至少定期活动 30 分钟,但活动强度要适中。

可见,管好嘴、迈开腿,不失为一种百利而无一害的选择。
 
参考:
https://www.cell.com/cell/fulltext/S0092-8674(20)31526-9
https://www.who.int/topics/obesity/zh/
https://journals.plos.org/plosmedicine/article?id=10.1371/journal.pmed.1003387

点击阅读原文,查看更多精彩!
喜欢本篇内容,请分享、点赞、在看

登录查看更多
0

相关内容

癌症是医学术语,其为最常见的恶性肿瘤,亦有人将癌症和恶性肿瘤混合使用。中医学中称岩,为由控制细胞分裂增殖机制失常而引起的疾病。癌细胞除了分裂失控外,还会局部侵入周遭正常组织甚至经由体内循环系统或淋巴系统转移到身体其他部分。
基于生理信号的情感计算研究综述
专知会员服务
67+阅读 · 2021年2月9日
专知会员服务
28+阅读 · 2021年1月29日
【ICMR2020】持续健康状态接口事件检索
专知会员服务
18+阅读 · 2020年4月18日
专知会员服务
29+阅读 · 2020年3月6日
【学科交叉】抗生素发现的深度学习方法
专知会员服务
25+阅读 · 2020年2月23日
Science:脂肪细胞外泌体对巨噬细胞发挥调节功能
外泌体之家
19+阅读 · 2019年3月7日
浅谈外泌体抑制剂——鞘磷脂酶抑制剂GW4869
外泌体之家
8+阅读 · 2018年12月19日
血小板生物学与功能,及其细胞外囊泡 | Nature Reviews
外泌体之家
6+阅读 · 2018年11月20日
外泌体TRIM3可作为胃癌诊断和治疗的新标记物
外泌体之家
5+阅读 · 2018年7月23日
Arxiv
0+阅读 · 2021年2月10日
Arxiv
9+阅读 · 2020年10月29日
Heterogeneous Deep Graph Infomax
Arxiv
12+阅读 · 2019年11月19日
VIP会员
最新内容
人工智能在战场行动中的演进及伊朗案例
专知会员服务
4+阅读 · 4月18日
美AI公司Anthropic推出网络安全模型“Mythos”
专知会员服务
2+阅读 · 4月18日
【博士论文】面向城市环境的可解释计算机视觉
大语言模型的自改进机制:技术综述与未来展望
《第四代军事特种作战部队选拔与评估》
专知会员服务
1+阅读 · 4月18日
Top
微信扫码咨询专知VIP会员