【独家】获融资1500万,对话AI+病理诊断顶级团队迪英加|Xtecher特写

2017 年 6 月 27 日 Xtecher 安妮的盒子


626迪英加科技完成来自将门创投等机构的1500万人民币天使轮融资。本篇,Xtecher独家对话迪英加创始人杨林博士首谈他对AI应用于病理分析领域的行业观点以及迪英加的产品化思路。


作者|安妮的盒子

编辑|甲小姐、小鱼

网址|www.xtecher.com

微信公众号ID|Xtecher


众所周知,病理诊断是医学诊断的“金标准”,是医生对病人进行正确治疗的基石,病理医生更素有“医生的医生”之称。


当下尝试用人工智能技术进行病理诊断的创业者不少,但很少有人能在计算机和医学两个专业性领域均有建树,杨林是其一。

 

作为美国佛罗里达大学生物医学工程系、电子与计算机工程系、计算机系三系终身教授,杨林不仅是计算机视觉、深度学习和数字病理学算法专家,还在病理科和放射科做过两年助理教授。

 

 “迪英加”创始人兼董事长杨林

 

早在2005年,杨林就发表了一篇有关“计算机辅助诊断血癌”的文章。当时,深度学习和人工智能概念尚未普及,杨林十分确信人工智能技术将在病理诊断领域发挥不可估量的作用。

 

博士期间,杨林有幸师从鲁棒性计算机视觉(Robust Computer Vision)领域“教父级”的导师Peter Meer,以及数字病理学奠基人之一的David Foran ——前者是CVPR最佳论文奖、2010年 Longuet-Higgins过去10年计算机视觉领域杰出贡献奖以及IEEE fellow的获得者;后者则是新泽西癌症中心病理课终身教授及首席信息官(CIO)。

 

2009~2011年,杨林在新泽西癌症中心病理科和放射科担任2年助理教授的经历, 使他获得了独特的专业领域经验,也成为这个领域难得的跨专业复合型专家,更让他坚定了自己的选择。

 

过去15年,杨林发表了100多篇文章,包括PAMI、ECCV、CVPR、MICCAI和AAAI等顶级计算机视觉和机器学习的国际会议和期刊。使杨林成为了世界上极少数同时在计算机视觉顶级盛宴CVPR进行大会演讲(oral presentation),在医学影像分析顶级年会MICCAI连续三年做基于机器学习的数字病理分析口头报告(oral presentation)并获2015年MICCAI最佳论文奖,同时参与发表医学领域影响因子为30的顶级期刊自然-医学(Nature Medicine )和2017年分子治疗(Molecular Therapy)期刊封面文章的科学家。

 

杨林参与编著的基于深度学习的医学影像分析专著

 

中国病理界:

“没人干、没人会、没人学”


2016年,杨林在中国目睹了病理专家的低收入和强工作量之间的巨大反差。

 

在多家三甲医院里,病理医生每天需要看数百张切片,而根据切片的复杂程度,每个病例需要花费30~40分钟不等的时间。

 

腰椎病、视力下降、慢性神经损害等几乎成了病理医生标配的“职业病”。

 

“一张全场扫描的病理切片包含的信息量特别大,有十几亿像素点,人眼观察非常耗时,而且容易造成观察不全面或因过度劳累而降低判读准确率的问题。”杨林告诉Xtecher。不仅如此,医生看病理切片图还会受到一些主观因素的左右,如医生自身水平、经验积累,当下个人状态等。

 

此外,一个现实是:我国病理医生极度缺乏。据相关权威统计年鉴显示:我国病理科执业医师(含执业助理医师)只有不到1.5万人,与原卫生部制定的每100张床配备1~2名病理医生的标准差距悬殊,我国病理医生的缺口总数可达10万人。

 

杨林分析其原因:病理工作风险高、责任大, 专业吸引力相对较低,且由于从业后工作强度太高,很多学病理的医生都没能坚持到最后。

 

另一个现实是:病理诊断不仅学起来难、做起来累,我国病理医生的收入还普遍偏低,远低于美国等西方发达国家 。据杨林介绍,在美国, 病理科医生的平均收入可达到年薪25万美金左右;而在中国的一线城市,一名刚刚入职的病理科医生年收入约6~8万元。

 

于是,许多人用9个字总结中国病理界:“没人干、没人会、没人学”。

 

每张病理切片图有十几亿像素点,并且每种疾病可能有上万种不同的变化,这些变化单凭人脑记忆是非常困难的

 

在我国,大概平均七万中国人拥有一位病理医生;而在美国,平均两千人一位病理医生——中国如果想达到美国这个数字,按照现在培养病理医生的速度,大约需要200年。

 

与中国病理科现状完全相反的,是病理在整个医疗体系链条中的重要性。

 

作为“生死判官”,给一个癌症患者做病理诊断,就是判断一个人的生死、一个家庭的幸福。病理科的诊断结果直接决定了对患者肿瘤良性和恶性的判断,进而影响病人的治疗方案,如放疗、化疗、切除以及保守治疗等。

 

角色如此重要,供求严重失衡。

 

在美做教授期间,不断有各种数字病理分析需求主动找上门来,请杨林博士帮忙提供解决方案。仅仅这样似乎是不够的。杨林不断思考:如何真正解决中国病理诊断的行业难题?

 

多年的经验告诉杨林:在一个定义非常明确的问题上,通过向顶级病理学家不断学习,机器学习可以交付足够好的表现。

 

计算机是客观的,它可以昼夜无休地精准工作,不会出现因主观意识、经验不足或者疲劳作业等原因而导致的误诊。

 

计算机同时拥有人类无法比拟的记忆力和运算能力。“机器学习可以缩短病理诊断的时间、提升诊断效率,最主要的是,它还能提供更加准确的诊断结果。人工智能的有效使用可以真正帮助病理医生提升判读水平,从精准诊断开始,真正实现精准医疗。”杨林告诉Xtecher。

 

2016年年底,杨林找到了李康。


李康是清华大学工学学士、 美国伊利诺伊大学工学博士,目前为美国罗格斯大学工业工程系助理教授,生物医学工程系和计算机系博士生导师以及新泽西医学院兼职教授,青年国家千人入选者;也是利用人工智能和深度学习技术处理医学影像的行业先驱和国际知名专家。

 

2017年1月27日,杨林和李康两位旅美青年科学家领衔创建杭州迪英加科技有限公司,致力于将计算机视觉和深度学习技术用于医疗影像辅助诊断。

 

如今,团队已有包含12名博士的20多名研发人员。整个团队累计论文引用超过1万多次,获得2015 MICCAI 最佳论文奖,并应邀在2017年夏威夷召开的CVPR 和 2017年在圣地亚哥召开的世界病理大会做口头报告(oral presentation)和大会演讲, 汇报自己在深度学习和数字病理方面的最新成果。

 

“以神经内分泌瘤病理诊断为例,一些免疫组化的定量分析经常需要一个小时,使用迪英加的技术,对神经内分泌瘤图像分析模块结果的运行时间仅为5秒钟。

 

如今,杨林和他的迪英加团队专门提供基于人工智能的用于精准医疗的医学影像大数据分析解决方案,例如基于病理图片分析的癌症诊断和分级等。

 

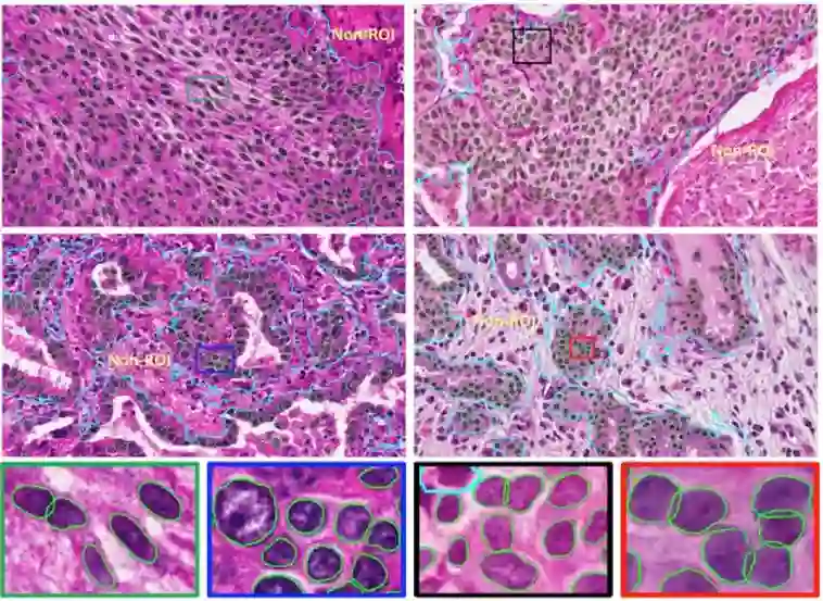
英加自动胰腺癌图像分析模块运行结果:所有癌细胞都被准确检测和分割出来,其准确程度为99%


 

医生位置不会被AI取代


AI来做病理诊断,业界难免有担忧,杨林对此十分理解。

 

首先的担忧来自技术水平是否可以达到人们期待的诊断水平?尽管“看片”是重复性较高的工作,非常适合计算机,但想要做到全面、准确、高效,并非易事。一张压缩过的图片有几个G大小,这对计算能力也是非常大的挑战。

 

杨林表示,近年来,随着算法提升,机器处理病理切片分析的能力已经大大提高了。

 

“例如在免疫组化的分析中,病理学家一般只能靠自己的经验估算,如果需要对整个全场图像中的阳性染色做仔细的定量计算,所需时间至少为1个小时,”杨林告诉Xtecher,“而迪英加开发的基于深度学习的快速图像分析算法分析一个热点区域仅需5秒,做出最后判读的时间总共不超过1分钟。”

 

在此方面,杨林向Xtecher讲述了迪英加的优势。

 

虽然市场上存在一些自动或者半自动软件,但通常这些软件在区分同为阳性染色的癌细胞和非癌细胞(如淋巴细胞)上都遇到了很多的困难。 而使用迪英加开发的数字病理智能分析系统,计算机可以精准地区分不同种类的细胞,从而得到更准确的Ki67计数。

 

最终,杨林团队开发的Ki67计数软件 “错误率只有0.5%”,而传统的分析错误率在5~10%左右——这项工作也发表在了2014年的权威IEEE Transaction的期刊里。

 

迪英加团队研发的模型和算法可以精准、快速、智能地分析各类医学影像、计算关键指标参数,并生成全自动数据分析和报告,还能为病理医生提供如乳腺癌、胃癌、前列腺癌等7种癌症的智能诊断系统 。

 

另一个业界普遍的担心就是“计算机和人类医生各自的角色”——对于这个问题,杨林从不担心。

 

“我时常会思考,身为技术工作者,我会不会过分强调技术本身而忽略人所处的位置?” 他说,“由于我在病理科和放射科两年的工作经历,我非常地理解病理医生这个群体,事实上,人工智能永远是人类智慧的一个补充,利用AI可以帮助病理医生更快速地做出更准确的判断,让病理医生的工作更加完美,起到正向的辅助作用。数字病理诊断从来都不是一场人机大战,医生的位置不会被AI取代。我们应当为病理医生开发最好的工具,来更好的起到帮助病人的终极目的。 ”

 

韧性比速度更重要

 

创业以来潜心研发产品的每一刻,都让迪英加团队感受到了身上的一份使命感。

 

杨林介绍,目前,迪英加智能病理分析系统已进入近10家国内的医疗机构,基于迪英加的独特技术, 全场扫描图像的计算机自动处理和判读只需几十秒钟,和国际同类产品相比——比如Aperio 以及 Definience的数字病理自动分析软件(需要5~10分钟),迪英加帮助病理医生大大提高了诊断效率。

 

杨林深刻地感受到,以人工智能辅助病理诊断是不可逆转的时代发展方向,“可以真正帮助到病人,提高人类健康水平”。

 

所有过去的经历教给杨林,相较速度而言, 韧性更加重要。他告诉Xtecher,通常自己做事都是以五年为一个单位,而不是以月份或是星期。“要成就大事就好比跑一场马拉松,要做好长线的准备。”

 

“当我第一次在医院见到病人的时候,我明白我看到的数字切片不是简单的像素组合,而是有生命力的,病人期待我们仔细分析所有的线索,准确地给出专业的判断。”杨林时刻提醒自己,科技的最终目的是为人类服务,“我愿意和伟大的工作在第一线的病理医生紧密合作,和数字病理领域的杰出同行们一起努力,开发出最高效的人工智能大脑,来完成这件真正有影响力的工作 。”


我是Xtecher特稿记者安妮的盒子,如果您有国内外科技行业新鲜资讯或独到见解,欢迎与我联系。

微信:Athena_Evita

邮箱:[email protected]

(添加好友请注明公司、职位、事由)

━━━━━

封面设计:帅先  排版:陈光  校对:米琪

━━━━━

Xtecher官网平台现开通认证作者,

有发稿意向的个人或媒体,可联系微信:jueshao121

(添加好友请注明公司、职位、事由)

点击 | 关键词 | 查看对应内容

Xtecher 精品文章


 人 物 

大健康

人本健康 陈恂 | Haplox 许明炎

奇云诺德 罗奇斌 | 基准医疗 范建兵


人工智能

快乐智慧 雷鸣 | 出门问问 李志飞

达闼科技 黄晓庆(上\) | Rokid 黄伽卫

驭势科技 吴甘沙 | 格灵深瞳 赵勇 

地平线 方懿 | 彩云天气 袁行远

车和家 李想51猎头 刘维

Face Think 杨松帆 | 中科视拓 山世光

深鉴科技 汪玉 | 越疆科技 刘培超

Kneron Inc 刘峻诚 | MINIEYE 刘国清

地平线 黄畅 | 三角兽 亓超

极限元 马骥 | NXROBO 林天麟

灵喵 韩龙 | 云脑科技 张本宇

创来科技 陈茂 | 轻客智能 庞琳勇


虚拟现实

诺亦腾 戴若犁 | 大朋VR 陈朝阳

Ximmerse 贺杰 | Pico 周宏伟
焰火工坊 娄池 | HTCVR 汪丛青 

七鑫易维 彭凡 | 影创科技 孙立

所思科技 罗子雄 | 凌宇智控 张道宁

Dexmo 谷逍驰


大数据

中网数据 孙远根 | 昆仑数据 陆薇

永洪科技 何春涛 | 华农天时 温晗秋子

GrowingIO 张溪梦 | ThinkingData 吕承通
神策数据 桑文锋 | 海云数据 冯一村

佳格数据 张弓 | 普林科技 王储

Datatist 宋碧莲 | 职品汇 龚才春

星环科技 孙元浩 | 人才易 葛昊


航空航天

零壹空间 舒畅 | 天仪研究院 杨峰


Fintech

数库科技 刘彦 | Ping++ 金亦冶

abc Fintech 杨永智 | 奇点机智 宋嘉伟

芥末金融 彭晨 | 蓝海智投 刘震

海鲸金融 丁华昆 | 资易通 盛洁俪


其他科技创业者
科幻作家 郝景芳 | Vinci 宋斯纯

禾赛科技 李一帆 | 诸葛io 孔淼

奥图科技 叶晨光 | 瀚诺半导体 张诚

51猎头 刘维 | 腾展科技 魏松祥

墨刀 张元一 | Phresh Amit

品类 唐十三 | 布比 蒋海

Plug and Play Saeed Amidim

集智俱乐部 张江 | NVIDIA 黄仁勋


 特 写 


人工智能

禾赛科技,加入无人车大战

如果太太说“今晚请使用机器人吧”

奇点汽车强势启动智能驾驶布局

透视Rokid:两度斩获CES大奖背后

语音助手“小不点”可行吗?

人工智能:付不起的工资,抢不到的人巨头之争,无人驾驶尖峰对决

唇亡齿寒,人工智能一场艰难“拔河”

2016中国最具投资价值人工智能项目Top 100 

直播鉴黄:堵塞出口还是守护高贵

国内智能驾驶Top20

无人驾驶若干问题

渡鸦科技被百度收购的过程

越疆科技2017年的“小目标”是一个亿


创业群像

“买买买”狂潮下物流巨链的前生今世

类定律:1年成为1亿美元公司的背后

华强北困局:离席的人,守望的人

区块链创业者们:黎明之前的那一刻

不开源的区块链都是“耍流氓”

华人对冲基金鼎新资本

一下科技通往纳斯达克之路


航空航天

“潇湘一号”科学实验卫星升空

融资逾亿,零壹空间与它的火箭长征


Fintech

智能投顾:理性更多,还是赌性更硅谷投资人:真正的AI还得再等等

toC or toB谁的终结,谁的胜利


虚拟现实

Magic Leap:给科技创业公司耐心


如果你拥有高精尖科技创业项目,Xtecher将为你提供:

1.专业的科技人物特稿和视频拍摄

2.在Xtecher官网、APP、微信的全方位展示

3.最专业的科技圈投资人、政府资源、产业资源

4.创业企业品牌管家与PR服务

即刻扫码,联系我们。

微信号:Xtecher

关注未来的人

都关注了Xtecher


   栏目推荐   



 
 
 

Xtecher联合喜马拉雅,推出科技音频脱口秀《甲小姐说》。在本专辑中,甲小姐将不断给你们讲讲科技创业圈里面,有趣、有料、有干货的内容,满足你的小好奇。 

甲小姐第二十二期新鲜出炉:《让BATJ纷纷加持的Fintech,究竟有何魔力?

▼  ▼  ▼

登录查看更多
0

相关内容

2019中国硬科技发展白皮书 193页
专知会员服务
86+阅读 · 2019年12月13日
斯坦福&谷歌Jeff Dean最新Nature论文:医疗深度学习技术指南
【综述】智能医疗综述,48页论文详述医学AI最新进展
专知会员服务
71+阅读 · 2019年9月1日
计算机视觉领域的王者与荣耀丨CCF-GAIR 2018
AI研习社
4+阅读 · 2018年6月24日
AliCoCo: Alibaba E-commerce Cognitive Concept Net
Arxiv
13+阅读 · 2020年3月30日
Graph Analysis and Graph Pooling in the Spatial Domain
Arxiv
5+阅读 · 2018年3月16日
Arxiv
4+阅读 · 2018年3月14日
VIP会员
最新内容
人工智能在战场行动中的演进及伊朗案例
专知会员服务
2+阅读 · 今天13:08
美AI公司Anthropic推出网络安全模型“Mythos”
专知会员服务
2+阅读 · 今天12:58
【博士论文】面向城市环境的可解释计算机视觉
专知会员服务
0+阅读 · 今天12:57
大语言模型的自改进机制:技术综述与未来展望
专知会员服务
0+阅读 · 今天12:50
《第四代军事特种作战部队选拔与评估》
专知会员服务
1+阅读 · 今天6:23
相关VIP内容
2019中国硬科技发展白皮书 193页
专知会员服务
86+阅读 · 2019年12月13日
斯坦福&谷歌Jeff Dean最新Nature论文:医疗深度学习技术指南
【综述】智能医疗综述,48页论文详述医学AI最新进展
专知会员服务
71+阅读 · 2019年9月1日
Top
微信扫码咨询专知VIP会员