诺奖得主涉嫌学术不端!30余篇论文被指涉嫌P图造假、复制粘贴,合作者包括中国学者

2020 年 10 月 19 日 量子位
鱼羊 发自 凹非寺
量子位 报道 | 公众号 QbitAI

诺奖周刚结束不久,2019诺贝尔生理学/医学奖得主格雷格·塞门扎(Gregg L. Semenza)又被推上了风口浪尖。

原因却着实不光彩——这位诺奖得主被指涉嫌在论文中P图造假、学术不端。

截至目前,著名学术打假网站Pubpeer已经挂出了他在2001年到2018年期间与他人合著的38篇论文。

合作者包括关西医科大学教授广田喜一、中国科技大学教授张华凤等中日韩的学者,以及塞门扎所就职的约翰·霍普金斯大学的副校长丹尼斯·维尔茨(Denis Wirtz)。

据此次揭露论文造假的成员之一、德国科学记者Leonid Schneider报道,维尔茨或将负责这一诺贝尔奖获得者学术造假事件的后续调查。

Schneider还表示,塞门扎是许多论文的通讯作者,这表明他对论文结果负有最终责任。

因发现HIF-1蛋白获得诺奖

格雷格·塞门扎,约翰霍普金斯大学教授,主要研究方向是儿科、放射肿瘤学、生物化学、医学和肿瘤学。

他在2008年成为美国国家科学院院士,2019年与彼得·拉特克利夫(Sir Peter J. Ratcliffe)和威廉·凯林(William G. Kaelin)共同获得诺贝尔生理学/医学奖。

获奖原因是,他们发现了细胞是如何感知和适应氧气供应的。

具体而言,塞门扎因HIF-1(缺氧诱导因子-1)蛋白的发现而闻名。他的团队发现,HIF-1所调控的基因能够作用于线粒体呼吸,能够指导细胞对缺氧状况的特殊反应和心血管系统的变化。

目前,塞门扎的Google Scholar引用数已超15万,h指数176。

30余篇论文涉嫌P图造假

但就是这样一位生物医学界的大牛,现在却面临“翻车”,被指涉嫌学术不端——

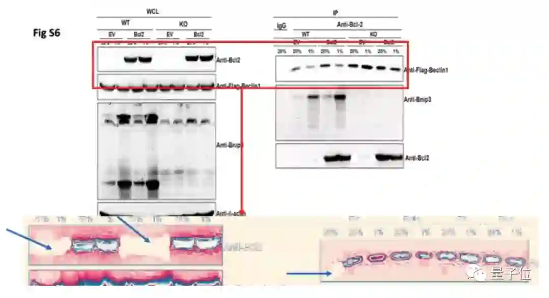
其署名的38篇论文在学术打假网站PubPeer上受到质疑,问题涉及一图多用、P图造假等等。在大部分文章中,塞门扎为通讯作者。

以《HIF-1α activation by intermittent hypoxia requires NADPH oxidase stimulation by xanthine oxidase》这篇论文为例。

对论文图4A进行对比度调整,会发现其中的一个波段存在明显的拼接痕迹,如下图箭头所示。

图源:Pubpeer

而在《Mitochondrial autophagy is an HIF-1-dependent adaptive metabolic response to hypoxia》中,首先,存在一图多用的问题。

另外,不止一张图被发现有笔刷涂抹的迹象。

看完这些,难怪网友直呼:不是吧,顶级大佬都翻车,真·科研以P图为本?

根据Pubpeer的数据,作为与塞门扎关系密切的学生,约翰·霍普金斯大学助理教授丹尼尔·吉尔克斯(Daniele M. Gilkes)目前有12篇论文遭到质疑,其中9篇的通讯作者为塞门扎。

而在此前的报道中,吉尔克斯曾表示,“(塞门扎)对于研究结果的改善产生了真正的影响”。

不少网友分析指出,给塞门扎带来荣誉的HIF-1机理已经被不少研究团队复现,因此HIF-1本身的机制是站得住脚的,但是塞门扎及其团队有关于其基因表达和通路的一系列研究,现在看来结果的真实性需要被重新考虑。

目前,在被挂出的38篇论文中,仅有1篇得到了作者回应。

作者表示,生成图像时确实有两张图被无意间交换了位置,但该错误并非在不同的实验条件下重复使用图像。并且,作者认为这样的错误并不影响实验得出的结论。

其余文章尚未得到作者团队回应。

参考链接:
https://forbetterscience.com/2020/10/07/gregg-semenza-real-nobel-prize-and-unreal-research-data/
https://pubpeer.com/search?q=gregg+semenza
https://www.zhihu.com/question/425911838

本文系网易新闻•网易号特色内容激励计划签约账号【量子位】原创内容,未经账号授权,禁止随意转载。

「百度AI开发系列课免费报名

5分钟上手,10分钟定制高精度AI模型,硬核百度EasyDL,小白也能学!

10.21日起,3期公开课带你0门槛轻松学AI开发、实现AI模型训练与部署!扫码添加量子位小助手(qbitbot12)、加入课程直播群吧~

p.s.完成课堂任务还有机会赢取李彦宏新书《智能经济》哦~


量子位 QbitAI · 头条号签约作者


վ'ᴗ' ի 追踪AI技术和产品新动态


喜欢就点「在看」吧 !


登录查看更多
0

相关内容

论文(Paper)是专知网站核心资料文档,包括全球顶级期刊、顶级会议论文,及全球顶尖高校博士硕士学位论文。重点关注中国计算机学会推荐的国际学术会议和期刊,CCF-A、B、C三类。通过人机协作方式,汇编、挖掘后呈现于专知网站。
ICLR 2021 评审出炉!来看看得分最高的50篇论文是什么!
专知会员服务
41+阅读 · 2020年11月13日
CVPR 2020 最佳论文与最佳学生论文!
专知会员服务
36+阅读 · 2020年6月17日
还在修改博士论文?这份《博士论文写作技巧》为你指南
【高能所】如何做好⼀份学术报告& 简单介绍LaTeX 的使用
【CAAI 2019】偏标记学习的研究,东南大学|张敏灵教授
专知会员服务
10+阅读 · 2019年12月1日
【CAAI 2019】自然语言与理解,苏州大学| 周国栋教授
专知会员服务
63+阅读 · 2019年12月1日
论文h-index过低,ACL2020主席遭匿名攻击
新智元
4+阅读 · 2019年7月12日
翟天临博士所发论文涉嫌抄袭(附各路证据)
中国古代情报工作浅析
计算机与网络安全
16+阅读 · 2018年7月11日
曹雪涛院士团队:刚发完Nature,又发一篇Cell
Arxiv
0+阅读 · 2020年12月3日
VIP会员
最新内容
人工智能在战场行动中的演进及伊朗案例
专知会员服务
2+阅读 · 今天13:08
美AI公司Anthropic推出网络安全模型“Mythos”
专知会员服务
2+阅读 · 今天12:58
【博士论文】面向城市环境的可解释计算机视觉
专知会员服务
0+阅读 · 今天12:57
大语言模型的自改进机制:技术综述与未来展望
专知会员服务
0+阅读 · 今天12:50
《第四代军事特种作战部队选拔与评估》
专知会员服务
1+阅读 · 今天6:23
Top
微信扫码咨询专知VIP会员