物理“海马”、数学“海马”与生物“海马”

2019 年 2 月 1 日 中国物理学会期刊网

作者:高鸿钧1 时东霞1 薛增泉2

(1 中国科学院物理研究所)

(2 北京大学信息科学技术学院)


摘要 在C60-TCNQ(一种有机分子名称的缩写)和纯的TCNQ有机分子薄膜中,文章作者得到了一种形似海洋中生存的动物海马的图案结构,取名为“海马”分形结构. 这种“海马”图案在旋转180度时具有近似的对称性,但是不同于简单的二维反转对称. 在数学中用复变函数的多项式,通过Julia对复杂空间中函数的纯粹数学映射( 即z→z2+c,其中c=-0.74543+0.1130i),也能模拟出相似的“海马”图案, 对于“海马”分形,文章作者提出如下的一种形成机制,即:在薄膜形成初期过程中,中性分子或团簇中存在部分荷电粒子,由于库仑排斥作用,成核和生长过程中会形成对称性破缺,最终形成“海马”状分形,“海马”的有趣图案,加深了人们对自然与科学统一的认识,激发了人们对自然本源的探索激情.


关键词 薄膜,C60-TCNQ, TCNQ,“海马”分形


在物理、化学和生物等领域,存在着许多令人惊奇的非常美丽的分形图案,吸引了许多科学家的目光. 自然界的自相似分形结构有很多,例如,一棵参天大树与它自身上的树枝及树枝上的枝杈,在形状上有很多相似之处,但有细节上的不同;树叶的叶脉,也有类似的性质,形状相似,细节不同, 这类相似现象物理学上用分形结构来描述, 数学上也有专门研究自相似结构的几何学,即分形学, 在薄膜生长过程中,人们观察到很多这类二维相似结构. 近年来,我们系统地研究了富勒烯聚合物薄膜的生长,这是一种在电学、光学和光电等方面具有优异特性的有机材料. 本文中,我们采用离子团束沉积方法(ICB)制备C60-TCNQ 和纯TCNQ有机薄膜,观察到了一种奇特的准二维分形图案,形似“海马”,呈现S形,即具有弯曲的主干,其边缘长有小的“鳍”.  每个S形的图案都明显地与二维反转对称不同,这种对称性破缺在薄膜生长的文献中非常少见.  经过查找,仅发现在二维或者准二维的体系中有三个实验结果,存在着类似的对称性破缺:细菌的聚集,磷脂在空气-水界面处的二维晶体生长和种子发芽后叶序的生长.  这三种特别的对称性破缺体系,在理论上都已经获得比较满意的解释,但是我们获得的“ 海马”分形,在生长形貌学领域是非常独特的,没有一种理论能明确地解释其生成原因.


根据实验结果,我们提出了一种全新的生长机制:在成核生长过程中,由于存在部分带电团簇,使得临界核荷电因受库仑排斥作用而导致对称性破缺,最终形成“海马”分形.  在进一步的实验中,在基底表面加一平行电场,发现分形的生长方式改变了.  此结果有力地证明了我们提出的生长机理的正确性.


ICB方法描述如下:具有较高蒸气压的原子或分子从加热的坩埚口蒸出,进入高真空室,这是个绝热膨胀过程,经迅速冷却碰撞聚集成500-2000个原子或分子组成的松散团簇.  团簇在继续前进中经过能量为50-200eV的电子束照射区时,一部分团簇荷电成为离子团.  然后经过400-2500eV的高压加速,最终打在基底表面,通过扩散、迁移、成核和生长过程,形成薄膜.  通过调节系统参数,如加速电压Vai,离子流(即沉积通量)F,基底温度Ts,电离电压Ve,电子束流Ie,坩埚温度T等,可以获得具有不同结构特征的薄膜.  ICB 制备有机分子具有如下优点:(1)熔点高的有机分子,或不溶于有机溶剂和酸的有机分子,都可以采用这种方法;(2)制备过程是在高真空中进行,是一种无污染的薄膜制备方法;(3)沉积条件容易控制;(4)与分子束外延方法相比,成本低廉;(5)由于以团簇的方式沉积,效率很高,到达基底表面的分子和团簇都具有较大的动能,并且可以通过改变加速电压来控制;(6)如果射束能量较高,则会对基底有所损坏,增强了成核过程. 由于上述种种优点,因此我们选择ICB 方法来进行有机薄膜的制备, 在适当的实验条件下,可以得到良好的单晶有机薄膜材料. 但是,在另外一些实验条件下,沉积材料会非均匀成膜,得到独特的“ 海马”状枝晶生长形貌, 另外,ICB系统上配备有飞行时间质谱仪(TOFMS),能够原位监控沉积过程. TOFMS是一款设计简单,分析速率很快的质谱仪设备,所有的质量成分都可以在数毫秒内分析完毕.  TOFMS的离子区位置刚好位于坩埚的外侧. 一小部分来源于坩埚喷嘴的团簇分子被用于质谱分析, 其余大部分的团簇分子将沉积到基底上.


图1 给出了一些典型C60-TCNQ “ 海马”的透射电镜(TEM)像,(a)—(c)几乎是在相同的条件下形成的,沉积通量F≈5nm/min,离子束电流Ie=2mA,电离电压Ve=100V,加速电压Vai=1000V,衬底温度Ts=50℃. 图1(a)是单个S 型C60-TCNQ “海马”单胞, 图1(b)显示的是两个接近平行排列的左手性“ 海马”单胞. 而图1(c)显示的则是两个相反手性的“海马”单胞. 图1(d)是真实海马照片,这里引用是为了说明为什么这种分形取名“海马”.


图1  C60-TCNQ “海马”TEM像(a)“海马”分形单胞(照片尺寸:9.7x7.3 μm2);(b)一对平行“ 海马”( 图片尺寸:10.1x7.7 μm2 );(c)一对非平行“海马”(图片尺寸:7.6x5.8 μm2);(d)真实海马照片


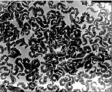
图2 是TEM低放大倍率下的样品像,当初类似含有大量“ 海马”单胞的TEM像在国外杂志发表后,引起学者兴趣,评述为海马“动物园”. 其中包含了两种手性和各种尺寸大小的“海马”单胞. 从大范围来看,左手性和右手性的“海马”单胞出现的几率几乎是相等的.


图2 C60-TCNQ的TEM像,被称为海马“动物园”(沉积条件为:F≈6nm/min,Ic=2mA, Ve=100V, Vai=1000V, Ts=50℃)


同样,我们在纯净的TCNQ的薄膜中也得到了“海马”分形图案,如图3所示的原子力显微镜(AFM)形貌像, 图4 是ICB方法生长纯净的TCNQ单胞得到的“海马”图案的TEM 像,Ts=60℃,其他条件均与图2 相同, TCNQ与C60-TCNQ分子的图案非常相似,左手性和右手性的结构同时出现.


图3   TNCQ 生长的“海马”分形图案的AFM形貌像(图片尺寸:左40x40μm2 ;右12x12μm2


进一步的实验证明,C60-TCNQ中C60的浓度对生长图案有着很强的影响. 尤其是当C60的浓度超过一个临界值( ~20%)后,“ 海马”图案就无法得到了.


图4 TNCQ 生长的海马“动物园”的TEM像(照片尺寸:33.5x27.4μm2;沉积条件:Ts=60℃,其余条件与图2 相同)


单个“海马”单胞边沿的不规则枝状分布表明其在表面上是分散型聚集的. 这种聚集通常用小于2的分数维数来表征. 使用盒维数法进行分析,有A=S Rd其中A是图形中心半径为R所包含的给定图案的面积,S=2.65±0.15为形状因子,d=1.7±0.1为分形维数. 每一个“海马”图形周围都有一个贫瘠区,在这个区域内,C60和TNCQ 图簇的浓度都比远离该图形的地区浓度低得多,因此可以作为表征“海马”单胞凝聚的一个关键因素. 此外,在远离“海马”图形的区域内,存在许多更小( 范围从数十到数百纳米)而且分布更密集的团簇. 这表明在上述几个微米范围内,生长岛之间的相关性仅受某种团簇间的长程作用力的影响.  很明显,这需要有全新的物理机制或者对已有机制进行重大的修改才能够解释这些观察的结果.


对C60-TNCQ 和TNCQ 两种分子,我们试图寻找其结构与ICB沉积参数之间的关系,找出控制这些图形生长的关键制备参数.  研究发现,决定“ 海马”生长的最主要因素是沉积速率(即通量)F、基底温度Ts和加速电压Vai) .  如果将Ts固定在一个合适的范围内,可以得到4种可能的生长机制都是通量F的函数.  在极低通量时,再蒸发速率等于入射通量,成核、生长将停止.  在较大的通量时,容易得到晶态块状结构.  在极大的通量时,得到多晶薄膜.  而“海马”图形是在通量F处于适中值时得到的,其大小介于得到晶态和均匀薄膜的两值之间.  我们发现,在形成“海马”适当的通量F值范围内,通量F值的增加会增加“海马”的密度,但同时“海马”的尺寸变小.  如果固定包括通量F在内的其他沉积参数时降低基底温度Ts时,减小了团簇在基底表面扩散迁移率,增加成核密度,最后容易形成均匀的薄膜,而不是非均匀的枝状图案.  相反地,增加Ts,提高了再蒸发速率,直到其与入射通量相等时,成核、生长将停止,不会有“海马”图案生成.  若增加加速电压Vai),则会提高入射束的动能,从而增加扩散团簇分子的迁移率,增加成核密度.  基底的完善性也是一个影响因素,有时观察到的这些图案与基底的缺陷有很大关系.  当基底表面含有位错缺陷时,会导致“ 海马”图案的某种排列生长,如图5所示,每根枝条像独立的“海马”,但是,所有的枝条都生长于缺陷处.  基底上的缺陷能够成为分形生长的成核中心,即成核、生长受基底表体面缺陷影响.


图5 C60- TNCQ 枝条状图案TEM照片(分形结构沿缺陷方向排列.  沉积条件:Ts=70℃,其余条件与图3相同.  照片尺寸:44.7x33.9μm2


最后,基底的结晶状态也是个重要因素,我们在各种单晶云母、CaF2等基底上尝试生长C60-TNCQ“海马”图案,都没有成功,其机制有待研究.


用X射线衍射对ICB 沉积的TNCQ和C60-TNCQ“海马”分形进行了表征, 我们发现,ICB 沉积的TNCQ的X 射线衍射谱中有一些峰显示是多晶结构. TEM的微束衍射显示,对于生长的C60-TNCQ和TNCQ “海马”的每个分支都包含许多小的方向规则的单晶. 然而,这些单晶是处于亚稳态的,将样品暴露在TEM的电子束之下,3s后会转变为无定型态, 通过高分辨TEM的快照可以监视此演变过程, 在整个转变过程中,“ 海马”的整体形状保持不变, 该行为类似于Liu 等人报道的结果. 他们发现离子对无定型薄膜的轰击能够导致不规则花样的生长, 当暴露在电子束下时,这些不规则花状样品转变为无定型结构,样品整体形貌保持不变,这类似于我们在“海马”分形中观察到的结果.


在我们实验中,所以能形成“ 海马”分形,是因为在用ICB 方法沉积的团簇中,有一些(约10%)是荷电的团簇,其他是电中性的, 在基底以扩散限制为主的运动、成核、生长过程中,荷电粒子对生长形状产生影响,由于荷电粒子间的排斥作用,在相距最远的两端,产生了生长优势,因此出现了S 形结构, 在这个过程中,荷电粒子间形成的电场,会对中性粒子产生极化作用,故生成了“海马”图案分形.


基于以上的分析,我们对“ 海马”的形成提出以下的物理机理:“海马”图样的生长主要来自于含有少数荷电粒子的中性团簇的扩散限制生长, 中性团簇对生长起主要作用,一方面是因为它们数量大(90%),以随机扩散形式在基底上运动;另一方面,它们又被带电的核电场极化,形成某种优势的生长方向,最后产生了“海马”图案.


我们分析了几个相近的物理模型,包括“ 决定性”和“非决定性”的“ 树”的生长模型,扩散聚集的蒙特卡罗拟合以及岛边界运动的连续模型,关于岛所带的电荷"Q(t)的行为以及它在岛生长时的分布,团簇撞击到岛上的附着几率Ps,边界及表面扩散的相对强度,静电场强度,中性团簇的极化率χ都给出了详细的描述, 在此我们只考虑能符合我们实验结果的一组假设,在边界上某点(x,y)处的生长正比于exp[x|E(x,y)|/2kt](T为适合团簇扩散的温度,可能比基底温度稍高).按此模型模拟结果,在成核以后的生长过程中,存在足够强的静电场作用,形成生长优势的两个臂的分开相隔180 度,就像真实的海马一样. 当两个臂长到一定长度L0时就变得相当不稳定,发生“ 分叉”现象. 这个长度由边缘和表面扩散的动力学上的竞争决定. 我们发现,当L0与χ在一个合适的范围内时,从主臂上分出的一个叉总是会死去(即停止生长),成为“ 鳍”,另一个叉继续生长,直到长度达到L0.  这种情况下,“ 活下来的”的叉又以一定角度生长,直到成为一个鳍. 这个鳍的电势也将影响近邻分支的生长,结果就是,主臂不停地长出分支,在分支处向同一个方向弯曲,在主臂外边留下一个鳍.  令人满意的是,我们这些带电聚集模型的结果,与实验生长情况非常相似.


图6(a)是由连续模型的数值模拟给出的生长结果,一个小的圆圈到了一个临界半径时候,变得不稳定,会被拉长,因此考虑初始条件是一个椭圆.  我们给这个椭圆加上一个微小的缺陷(在图中几乎看不见)来模拟噪音的影响.  生长的每一步都在图中表示了出来.  正如图6(a)所示,这个小的初始缺陷导致了两个生长的臂,它们在不断分叉时弯曲,留下一个鳍在弯曲的外侧.


图6 基于连续模型的生长模拟 (a)与实验“ 海马”的形状相似,两个主臂都沿顺时针方向旋转,外侧长有小的鳍;(b)基底上加电场(图中水平方向)后生长的模拟,一个主支的生长受抑制,另一个继续生长不再弯曲


带电+中性粒子模型的合理性被以下事实支持:在ICB 方法中,沉积到基底上的粒子大部分是中性的,其中小部分是带电的.  若静电荷在生长中起重要作用,那么在沉积过程中,在基底上加静电场可能对生长产生影响.  相关的实验是加一个与基底平行的电场E,在其他生长条件不变的情况下,得到的结果见图7.  我们在图8(a)和(b)中均发现了不规则的直的形态,它的主轴与外加电场呈一个角度.


图7 平行基底的电场E时C60-TCNQ TEM像(a)电场E=100V/6cm,绝大部分“海马”的“ 鳍”生长受到抑制,生长呈现出一端占优势;(b)电场E=300V/6cm,“鳍”完全受到抑制性”



图8 由Julia分形公式得到的数学分形模型


确定“海马”图形的基本形成机制是极富挑战性的,这一图案与一种特殊的结构相类似,这源于Julia对复杂空间中函数的纯粹数学映射:z→z2+c,其中c=-0.74543+0.1130i.  在复平面中,水平坐标代表实数,垂直坐标代表虚数.  每个Julia集合(有无限多个点)都决定一个常数c,它是一个复数. 在复平面上任意取一个点,其值是复数z.  将其代入方程z→z2+c,进行反复迭代运算,即用旧的z 自乘再加上c 后的结果作为新的z;再把新的z 作为旧的z,重复运算,就得到了令人难以置信的图案,图8是我们运用上述公式模拟得到的图形,这是数学上的一种类似我们前面得到的“海马”类的分形.


就我们所知,至今还没有人在实验中观测过上述图形.  鉴于每个分形单胞周围都存在相应的贫瘠区,分形的α=1.7都与二维扩散限制凝聚模型(DLA)所预测的数值相符,可以得出可能的形成机制与DLA模型类似,但有细节不同.  与这些图形相比,“ 海马”图形在本质上是不一样的,如果忽略“ 海马”首尾的微小差异,可以看出基本图形(见图1(a))中存在清晰可见的180°旋转对称性.


我们描述了C60-TCNQ与纯TCNQ在ICB 沉积方法生长中S 结构的形成,这是一种处于亚稳的多晶结构.  通过对沉积参数( 特别是基底温度、流量、加速电压)的控制,形成了“海马”分形的奇特图案.  目前,没有观察到任何其他材料可以生长出这种S型图案.  这种新颖的形貌对理解其形成机理提出了一个挑战.  特别是这种二维的手性S图案不存在任何的转动关联,而仅仅是镜面反演,因此在图案形成过程中,自发地存在二维反转对称性破缺.  我们提出了这类分形的生长模型,认为二维的反演对称性只是在整个宏观尺度上被破坏了.  荷电效应、分子极化和诱导偶极或四极相互作用等在图案的形成过程中起了重要作用.  物理“海马”、数学“海马”与生物“海马”使人们所产生的遐想———自然与科学之关联,需要更加深入系统地探索.


致谢 感谢吴全德、庞世谨先生、张振宇、G. S. Canright教授的合作与讨论;感谢郇庆、蔡金明、田园、张成栋、陆洪亮、张连昌、毛金海等在实验和模拟方面的帮助.


本文选自《物理》2008年第2期


十大热门文章

1. 那棵消失的树—回忆导师张首晟

2. 啁啾脉冲放大技术——从超快激光技术到超强物理世界

3. 超短超强激光驱动新型粒子加速器:机遇和挑战

4. 飞秒激光放大的奠基性发明及其能力边界的突破

5. 《科学》评出2018年度十大科学突破事件

6. 时空克莱因瓶上的热力学——从二维生物的奇妙旅行到共形量子态的路径积分

7. 量子十问之三:量子技术能将人“瞬间”转移到别的星球上吗?| 郭光灿

8. 国际单位制基本量的新定义

9. 超导“小时代”之三十八:走向超导新时代

10. 二维铁电性:一泓秋水映

END

登录查看更多
1

相关内容

International Joint Conference on Biometrics于2006年合并了AVBPA(基于音频和视频的个人认证)、ICBA(国际生物认证会议)和其他生物认证研讨会,已成为领先的生物认证国际会议。该会议的主题包括当前生物测定学研究和应用的所有领域。官网链接:http://www.icb2019.org/
【KDD2020】自适应多通道图卷积神经网络
专知会员服务
121+阅读 · 2020年7月9日
多模态深度学习综述,18页pdf
专知会员服务
220+阅读 · 2020年3月29日
麻省理工学院MIT-ICLR2020《神经网络能推断出什么?》
专知会员服务
51+阅读 · 2020年2月19日
特征方程的物理意义
算法与数学之美
7+阅读 · 2019年5月13日
【材料课堂】TEM复杂电子衍射花样的标定原理
材料科学与工程
39+阅读 · 2019年4月12日
Nature 一周论文导读 | 2019 年 2 月 28 日
科研圈
13+阅读 · 2019年3月10日
浅谈外泌体抑制剂——鞘磷脂酶抑制剂GW4869
外泌体之家
8+阅读 · 2018年12月19日
丘成桐:攻克物理难题的数学大师
科技导报
5+阅读 · 2018年7月23日
Nature 一周论文导读 | 2018 年 5 月 24 日
科研圈
11+阅读 · 2018年5月27日
用于数学的 10 个优秀编程语言
算法与数据结构
13+阅读 · 2018年1月5日
【基础数学】- 01
遇见数学
20+阅读 · 2017年7月25日
Arxiv
20+阅读 · 2019年9月7日
Physical Primitive Decomposition
Arxiv
4+阅读 · 2018年9月13日
Arxiv
3+阅读 · 2018年4月3日
VIP会员
最新内容
人工智能在战场行动中的演进及伊朗案例
专知会员服务
2+阅读 · 今天13:08
美AI公司Anthropic推出网络安全模型“Mythos”
专知会员服务
2+阅读 · 今天12:58
【博士论文】面向城市环境的可解释计算机视觉
专知会员服务
0+阅读 · 今天12:57
大语言模型的自改进机制:技术综述与未来展望
专知会员服务
0+阅读 · 今天12:50
《第四代军事特种作战部队选拔与评估》
专知会员服务
1+阅读 · 今天6:23
相关资讯
特征方程的物理意义
算法与数学之美
7+阅读 · 2019年5月13日
【材料课堂】TEM复杂电子衍射花样的标定原理
材料科学与工程
39+阅读 · 2019年4月12日
Nature 一周论文导读 | 2019 年 2 月 28 日
科研圈
13+阅读 · 2019年3月10日
浅谈外泌体抑制剂——鞘磷脂酶抑制剂GW4869
外泌体之家
8+阅读 · 2018年12月19日
丘成桐:攻克物理难题的数学大师
科技导报
5+阅读 · 2018年7月23日
Nature 一周论文导读 | 2018 年 5 月 24 日
科研圈
11+阅读 · 2018年5月27日
用于数学的 10 个优秀编程语言
算法与数据结构
13+阅读 · 2018年1月5日
【基础数学】- 01
遇见数学
20+阅读 · 2017年7月25日
Top
微信扫码咨询专知VIP会员