科学小板报 | 上周的科学圈很热闹

2019 年 1 月 21 日 未来论坛

隆冬时节的华北大地,寒气袭人,但科学发展的热潮,正在这片土地上涌动、澎湃。过去一周的中国科学界发生了很多有趣又热闹的新闻。例如:


为促进中国科学发展,周其林和薛其坤两位教授向党和国家领导人献计献策;未来论坛和今日头条一起干了件“很科学”的事情;未来论坛青创联盟成员徐颖第二次担任“科普中国”形象大使;未来论坛青创联盟成员刘光慧所在的研究组通过靶向编辑单个长寿基因产生了世界上首例遗传增强的人类血管细胞;中国本土抗癌药首获美国FDA突破性疗法认定,实现零的突破;科学精神中国行首场活动,用科学勾勒未来版图。


1.习总书记参观南开大学,与周其林老师交谈


中国科学院院士、南开大学化学学院教授周其林畅谈感想(1月17日摄)。新华社记者 马平 摄


今年,是南开大学建校100周年。17日上午,习近平总书记来到天津考察调研,首站来到这里。


“在南开大学建校百年之际,总书记来到南开,我们感到很受鼓舞。”中国工程院院士、南开大学校长曹雪涛说,“在新时代新起点上坚持正确的办学方向,培养更多社会主义事业的建设者和接班人,是我们的首要任务。”


习近平总书记参观了校史展览,详细了解南开大学历史沿革、学科建设、人才队伍、科研创新等情况。南开大学马克思主义学院院长王新生回忆,习近平总书记在每一个展板前都驻足很长时间。


习近平总书记还参观了南开大学化学学院和元素有机化学国家重点实验室,并与中国科学院院士、南开大学化学学院教授、未来科学大奖获奖者周其林以及多位研究人员进行亲切交谈。


“随着我国科技水平的提升,很多领域没有国外先进经验可借鉴,必须自主研发。总书记强调自主创新,对我们做基础研究的人鼓舞非常大。”周其林说。


2.薛其坤老师对政府工作报告提出意见建议


央广网北京1月21日消息(记者冯悦)据中国之声《新闻和报纸摘要》报道,1月18日,中共中央政治局常委、国务院总理李克强主持召开座谈会,听取教育、科技、文化、卫生、体育界人士和基层群众代表对《政府工作报告(征求意见稿)》的意见建议。


会上,7位代表结合各自工作,对政府工作报告提出意见建议。宁波诺丁汉大学校长杨福家提出要面向国家需要发展多种类型的高等院校。清华大学副校长、未来科学大奖获奖者薛其坤就高质量科技创新、科教融合提出建议。李克强说,教育关乎每个家庭和国家未来,要继续提高人均受教育年限,提升全民素质。大力发展职业教育,推动高校多样化发展,保护好学生的创造“火种”,为各行各业培养更多创新人才。要更好激发科研人员创造潜能,加强基础研究,突破制约发展的瓶颈技术,提升综合国力,造福人民群众。


3.理解未来和今日头条一起做了件“很科学”的事情!


丹·艾瑞里( Dan · Ariely )


理解未来讲座作为战略合作方助力的今日头条海绵演讲于1月19日下午两点,在北京市朝阳区酒仙桥路 4 号 751D·PARK 中央大厅圆满结束。美国杜克大学心理学和行为经济学教授、全球畅销书《怪诞行为学》作者丹·艾瑞里( Dan · Ariely )和未来论坛青创联盟成员苏萌与其他五位科学家一起出席海绵演讲,并发表精彩分享。


丹·艾瑞里分享了很多有趣的观点,比如每个人都知道存钱很重要,但钱很难存起来,为什么?因为存起来的钱在某种意义上是(看不见的),但钱花出去后买到的东西却很实在。所以,存在仪式感很重要。把钱投在罐子里听个声响,这会帮你存更多的钱。


苏萌


未来论坛青创联盟成员苏萌在海绵演讲上分享了小行星挖矿的计划。这个计划看似匪夷所思但美国和日本已经在布局,中国也有一家公司从事相关领域的探索。


有咨询机构评价称,小行星挖矿将成为21世纪的新蓝海。地球周围有数以万计的小行星,有的小行星蕴含着丰富的矿产和水资源。这对补给地球资源以及宇宙探索都有巨大帮助。


4.徐颖第二次担任“科普中国”形象大使


1月16日,由中国科协及人民日报共同举办的“典赞·2018科普中国”揭晓盛典在人民日报社举行。未来论坛青创联盟成员徐颖受邀参加,被聘任为“科普中国”形象大使。这是她第二次担任“科普中国”形象大使。


此次中国科协宣布聘请欧阳自远、杨利伟、张双南、徐颖(左一)、陈思思、黄轩担任“科普中国”形象大使。


作为我国科学传播的年度盛事,“科普中国”活动现场公布2018年十大科学传播人物、2018年十大网络科普作品、2018年十大科学传播事件、2018年十大“科学”流言终结榜、2018年十大科普自媒体等五个项目。


徐颖在现场访谈中表示,作为青年科研工作者,希望能够做得更好,未来要以前辈学者为榜样,发挥青年科研工作者在科普事业中的作用,为中国的科普事业做出更多的贡献。



徐颖从事北斗相关研究工作十余年,是中科院空天信息研究院研究员、博士生导师。


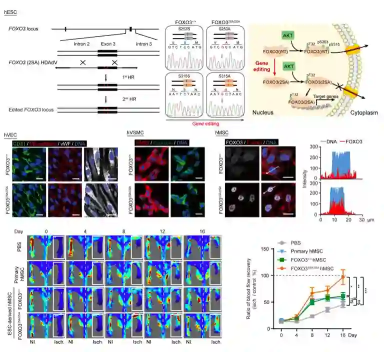
5.未来论坛青创联盟成员刘光慧所在的研究组通过靶向编辑单个长寿基因产生了世界上首例遗传增强的人类血管细胞


干细胞技术在再生医学中具有广阔的应用前景。由干细胞体外诱导分化获得的多种类型细胞移植入病灶部位后,可达到促进病损组织再生、恢复组织器官稳态和功能的目的。然而,干细胞治疗在有效性和安全性方面尚存局限,阻碍了该技术的普及。


来自中国科学院生物物理研究所刘光慧研究组、北京大学汤富酬研究组和中国科学院动物研究所曲静研究组联合攻关,于2019年1月17日Cell Stem Cell上发表了题为FOXO3-engineered human ESC-derived vascular cells promote vascular protection and regeneration的重要研究成果,通过靶向编辑单个长寿基因产生了世界上首例遗传增强的人类血管细胞。这些血管细胞与野生型血管细胞相比,不但能更高效地促进血管修复与再生,而且能有效抵抗细胞的致瘤性转化。遗传增强人类血管细胞的成功获得为开展安全有效的临床细胞治疗提供了重要解决途径。


图1. 通过基因编辑产生FOXO3功能增强的人类血管细胞,用于治疗缺血性血管病变


6.中国本土抗癌药首获美国FDA突破性疗法认定,实现领的突破


近日,百济神州(BeiGene)宣布,美国FDA授予其在研布鲁顿氏酪氨酸激酶(BTK)抑制剂zanubrutinib突破性疗法认定,用于治疗经治的成年套细胞淋巴瘤(MCL)患者。值得一提的是,这是中国本土研发的抗癌疗法首次获得FDA的突破性疗法认定。


▲Zanubrutinib的分子结构(图片来源:MedChem)


FDA突破性疗法认定旨在加快候选药物的开发和审评。这些药物能用于治疗严重或危及生命的疾病,而且初步临床证据表明它们与已有疗法相比有很显著的提高。这一认定不但将帮助加快zanubrutinib的研发和审评过程,也代表着FDA对这一在研药物的肯定。


MCL是一种侵袭性很强的非霍奇金淋巴瘤,起源于“套区”的B淋巴细胞。MCL通常预后不良,患者中位生存期约为3-4年,MCL患者在确诊时通常已经处于晚期。


7.科学精神中国行首场活动,用科学勾勒未来版图


1月15日,由知识分子举办,以“科学与人类的未来”为题的科学精神中国行首场活动圆满落幕。饶毅 、白重恩、谢宇、张峥、吴国盛,这五位顶尖科学家与学者齐聚,在新年伊始,用科学勾勒出一幅未来版图。更有顶尖经济、社会学者及神秘嘉宾从人文、经济、社会等多角度对科学家进行轮番“盘问”,共同探讨未来的可能。长按下方二维码可以重温这一经典科学活动。


内容来源:

  1. 新华网,原文标题:“京津冀的未来更美好!”——习近平总书记京津冀三省市考察回访记,链接:http://www.xinhuanet.com/politics/2019-01/19/c_1124014453.htm

  2. 央广网,原文标题:

    李克强主持召开教科文卫体界人士和基层群众代表座谈会,链接:http://china.cnr.cn/news/20190121/t20190121_524488134.shtml

  3. 海绵演讲今日开讲,还可以观看直播

  4. 微信公号:空天信息,原标题:

    空天院徐颖研究员被聘任为“科普中国”形象大使,链接:https://mp.weixin.qq.com/s/jafFnFgHxke5s-D_pt57FA

  5. 微信公号:BioArt,原标题:

    Cell Stem Cell专家点评丨刘光慧/汤富酬/曲静合作组通过基因编辑获得优质人类血管细胞,链接:https://mp.weixin.qq.com/s/62lbKa14VHHuDxZAjPpDRg

  6. 微信公号:医药观澜,原标题:

    零的突破!中国本土抗癌药首获美国FDA突破性疗法认定,链接:https://mp.weixin.qq.com/s?__biz=MzA5MjA0NTA4NQ==&mid=2651041091&idx=1&sn=3d0f37272d1212a9f73f32507ff78be8&chksm=8b842731bcf3ae270a2e8fc5e519499e1a13b15876f7ea701bedc794face083243db88d1c18c&token=1532136809&lang=zh_CN#rd

  7. 新浪网,原标题:|科学精神中国行首场——科学与人类的未来,链接:http://zhibo.sina.com.cn/tech/kxrl



登录查看更多
0

相关内容

未来论坛(futureforum.org.cn)是一个承载人类科技梦想,用科技改变世界的公益平台,一个连接前沿科技,解读未来趋势的思想平台。由一批时下最有影响力的互联网界、投资界、科技界人士共同发起。

创始理事:李彦宏、徐小平、冯仑、杨元庆、沈南鹏、陈恂、邓锋、丁健、方方、李柏霖、武红、吴鹰、虞锋、张磊、张曦柯、张醒生。

咨询委员会:高西庆、康典、李剑阁、廖晓淇、饶毅、衣锡群、张首晟、朱云来。


科学家委员会:丁洪、何川、李东海、饶毅、田刚、王晓东、谢晓亮、夏志宏。

阿里巴巴达摩院发布「2020十大科技趋势」
专知会员服务
108+阅读 · 2020年1月2日
电力人工智能发展报告,33页ppt
专知会员服务
135+阅读 · 2019年12月25日
2019中国硬科技发展白皮书 193页
专知会员服务
86+阅读 · 2019年12月13日
百余位院士入选!中国科协公示一份重要名单
材料科学与工程
11+阅读 · 2018年12月21日
曹雪涛院士团队:刚发完Nature,又发一篇Cell
Object detection on aerial imagery using CenterNet
Arxiv
6+阅读 · 2019年8月22日
Arxiv
3+阅读 · 2018年6月18日
VIP会员
最新内容
《美陆军条例:陆军指挥政策(2026版)》
专知会员服务
6+阅读 · 今天8:10
《军用自主人工智能系统的治理与安全》
专知会员服务
5+阅读 · 今天8:02
《系统簇式多域作战规划范畴论框架》
专知会员服务
8+阅读 · 4月20日
高效视频扩散模型:进展与挑战
专知会员服务
4+阅读 · 4月20日
乌克兰前线的五项创新
专知会员服务
8+阅读 · 4月20日
 军事通信系统与设备的技术演进综述
专知会员服务
7+阅读 · 4月20日
《北约标准:医疗评估手册》174页
专知会员服务
6+阅读 · 4月20日
相关VIP内容
阿里巴巴达摩院发布「2020十大科技趋势」
专知会员服务
108+阅读 · 2020年1月2日
电力人工智能发展报告,33页ppt
专知会员服务
135+阅读 · 2019年12月25日
2019中国硬科技发展白皮书 193页
专知会员服务
86+阅读 · 2019年12月13日
Top
微信扫码咨询专知VIP会员