瑞德西韦又治愈一例新冠危重患者,中国3期临床试验将于4月底揭盲

2020 年 4 月 1 日 学术头条

新型冠状病毒(SARS-CoV-2)导致的肺炎(COVID-19)疫情,截至3月30日已感染全球超过75万人,并造成36000多人死亡。

目前,美国已经成为新冠疫情的中心,确诊病例正在快速增加,美国疾病预防控制中心(CDC)已累计报告140904例阳性,其中2405例死亡。

3月30日,美国加州大学戴维斯分校的研究人员在 Clinical Infectious Diseases 杂志发表了题为:A Community Transmitted Case of Severe Acute Respiratory Distress Syndrome due to SARS CoV2 in the United States的论文。

该研究报道了使用瑞德西韦成功治愈一位40多岁的新冠肺炎危重患者的详细过程。 这也是继NEJM报道瑞德西韦治愈新冠重症患者后的又一成功案例。


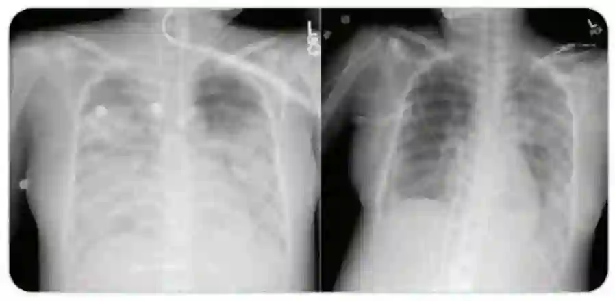
该患者本来是40多岁的健康女性,因呼吸道感染而入院,胸部CT影像显示为获得性肺炎。医院立即将其进行隔离以防止感染传播。入院24小时内,她的呼吸状况恶化。医院给她插管,并给予抗生素,包括利奈唑胺,哌拉西林-他唑巴坦和阿奇霉素治疗。

加州大学戴维斯分校的研究小组怀疑该患者是潜在的COVID-19感染。但是,由于该患者没有去过高风险国家,也没有与高风险的人接触,所以她不符合美国疾病预防控制中心(CDC)的标准。因此没有进行新冠病毒测试。

随后,患者发展为急性呼吸窘迫综合症以及败血性休克,由于她的呼吸状况严重,CDC建议新冠病毒核酸检测,检测结果为新冠病毒阳性。

然而,目前尚无批准的用于人COVID-19的抗病毒疗法,但包括加州大学戴维斯分校在内的数个医学中心正在进行相关临床试验。

由于患者病情严重,治疗团队获得了美国食品药品监督管理局(FDA)的特批,可以使用瑞德西韦(Remdesivir)治疗。


瑞德西韦最初是由美国吉利德公司研发的用于对抗埃博拉病毒的实验性药物,它通过抑制一种关键的酶——RNA依赖的RNA聚合酶(RdRP),从而抑制病毒的复制。然而,不幸的是,研究人员在刚果民主共和国的埃博拉病毒治疗试验中,瑞德西韦对埃博拉病毒并没有什么效果。

峰回路转的是,美国北卡罗莱纳大学教堂山分校的研究人员在细胞和动物实验中发现,瑞德西韦可以有效抑制SARS-CoV和MERS-CoV。此外,美国的两例重症患者在接受了瑞德西韦治疗后,病情得到明显改善。

因此, 瑞德西韦(Remdesivir)被认为是目前最有潜力治愈新冠肺炎的一款药物。WHO也于近日将其列为四种最有希望的新冠肺炎治疗方案之首。


该患者在接受瑞德西韦(Remdesivir)治疗后,患者病情好转,需要的呼吸机支持明显减少,血氧水平和胸部CT检查结果好转。在入院治疗十四天后,已经可以撤离机械通气。 目前患者已出院,正在在家中康复。


研究团队强调,尚不清楚瑞德西韦(Remdesivir)是否对人COVID-19有效。大规模的临床试验才是分析该药物针对新冠肺炎功效的关键。

瑞德西韦(Remdesivir)在我国也获准开展三期临床试验,由北京中日友好医院曹斌教授牵头在武汉疫区开展临床试验。 据了解,这项大规模临床试验将于4月底揭盲 ,我们期待好消息的到来。

论文链接:
https://academic.oup.com/cid/advance-article-abstract/doi/10.1093/cid/ciaa347/5813637?redirectedFrom=fulltext

认知推理:人工智能的下一个浪潮 ,点击下方图片 跳转查看全文及解读!公众号回复“ AI10 ”,获取完整版主题报告PPT!

《2020科技趋势报告》重磅发布点击下方图片跳转查看全文及解读!公众号回复“2020科技趋势”,获取完整版报告内容!


点击查看人工智能全球女性榜单,公众号回复“AI女神”,获取完整版《人工智能全球最具影响力女性学者报告》!



点击阅读原文,查看更多精彩!

登录查看更多
0

相关内容

计算机视觉用于新冠病毒COVID-19的控制综述,25页pdf
专知会员服务
53+阅读 · 2020年4月22日
专知会员服务
29+阅读 · 2020年3月6日
2019中国肿瘤免疫治疗会议(附最新版日程)
肿瘤资讯
11+阅读 · 2019年6月13日
Science:脂肪细胞外泌体对巨噬细胞发挥调节功能
外泌体之家
19+阅读 · 2019年3月7日
VrR-VG: Refocusing Visually-Relevant Relationships
Arxiv
6+阅读 · 2019年8月26日
Area Attention
Arxiv
5+阅读 · 2019年2月5日
VIP会员
最新内容
《美陆军条例:陆军指挥政策(2026版)》
专知会员服务
2+阅读 · 14分钟前
《军用自主人工智能系统的治理与安全》
专知会员服务
2+阅读 · 22分钟前
《系统簇式多域作战规划范畴论框架》
专知会员服务
7+阅读 · 4月20日
高效视频扩散模型:进展与挑战
专知会员服务
3+阅读 · 4月20日
乌克兰前线的五项创新
专知会员服务
7+阅读 · 4月20日
 军事通信系统与设备的技术演进综述
专知会员服务
5+阅读 · 4月20日
《北约标准:医疗评估手册》174页
专知会员服务
5+阅读 · 4月20日
相关VIP内容
计算机视觉用于新冠病毒COVID-19的控制综述,25页pdf
专知会员服务
53+阅读 · 2020年4月22日
专知会员服务
29+阅读 · 2020年3月6日
Top
微信扫码咨询专知VIP会员