阿里达摩院悬壶,看医疗AI如何济世

2020 年 4 月 2 日 量子位
乾明 发自 凹非寺 
量子位 报道 | 公众号 QbitAI

阿里达摩院,并不专为抗疫而生。

甚至连马云都可能预料不到,这个机构这么快就展现出及时的作用。

抗疫正当时,不论是与浙江疾控中心合作的基因检测平台,将疑似病例基因分析时间缩至半小时,还是率先在郑州“小汤山”应用的CT影像系统,达摩院、扫地僧,都成为阿里AI抗疫的代表性标签。

而且影响力还在几何级扩散,据阿里统计,截止到3月31日,达摩院CT影像AI已在浙江、河南、湖北、上海、广东、江苏、安徽等16个省市近170家医院落地,已诊断34万临床病例。

随着疫情全球扩散,这个出自阿里达摩院、代表中国AI技术前沿的抗疫系统,也在进一步承担起“One world,One Fight”的作用。

但也别神话了达摩院和背后的扫地僧——外界只看见了他们的动能速度,而不知道他们之前为此积累的势能和高度。

这把抗疫宝剑,之前已磨砺整整4年。

“扫地僧”带队,达摩院如何4年磨一剑?

阿里巴巴集团副总裁、达摩院高级研究员华先胜

达摩院医疗AI,源自2016年,由时任阿里巴巴iDST副院长的华先胜带队打造。

对于华先胜,外界不陌生。

他出自黄冈中学,2001年北大数学系博士毕业,之前在微软工作14年,直到被老领导“阿里云之父”王坚挖角,开启阿里在AI视觉研发和落地方面的探索。

但即便已是2016年,人工智能如何在医疗领域发挥作用并不太清晰,只是华先胜坚信:人工智能进入医疗健康领域,是一个必然的事情。

他回忆说:“医疗健康领域存在的不平衡问题比较多(医患供需不平衡,医保供需不平衡,医患知识不平衡等),AI应该能为全民健康的问题发挥重要作用。”

正是这样的预判,才逐渐演变出了抗疫期间的达摩院医疗AI。

当时也是医疗AI的爆发点,大量创业者与资本玩家涌入。目前发展势头不错的推想、体素等,都在2016年创立。

一直深耕视觉领域的依图,也在同年发布肺癌影像智能诊断系统,开辟了医疗业务线。

作为视觉智能领域深耕多年的专家,华先胜团队从肺部CT影像开始切入医疗AI,很快就做出成绩。

2017年7月,达摩院正式成立前夕,他们交出了一份“贺礼”——在国际权威的肺结节检测大赛LUNA16上打破世界纪录,凭借89.7%的平均召回率(在样本数据中成功发现结节占比的比例)夺冠。

华先胜说,这项工作“当时只道是寻常”,没想到直接为阿里达摩院新冠肺炎的CT自动诊断系统打下了基础。

那次破纪录之后,达摩院医疗AI的研究范围进一步扩大,在肝结节、心血管、骨科、病理等方面均取得了进展。

其中代表性的成果有:

2018年12月,达摩院AI从近百支队伍中脱颖而出,在全球LiTS(Liver Tumor Segmentation Challenge,肝脏肿瘤病灶区CT图像分割挑战)获得两项第一。

2019年的EMNLP BB task 关系抽取世界大赛,达摩院AI获得了第一名。同年,按照鹿特丹(Rotterdam)国际比赛标准,达摩院AI的全自动心脏冠脉中心线提取超越了现有的业界最好成绩,相关论文被国际顶级医学影像会议MICCAI 2019提前接收。

技术持续突破下, 达摩院医疗AI团队在Nature子刊、CVPR等顶尖学术期刊与会议上,发表了不少的论文,加上国际、国内专利,超过了百篇,也给达摩院医疗AI系统在临床诊断和医学研究上大规模应用,提供了支撑。

如果这样回顾,自然又是一个“大牛带队”、“顺风顺水”的传奇往事。

但华先胜说,各种辛苦,做过才知。医疗AI,不是一个单兵作战就能搞定的领域。

达摩院医疗AI一路走过来,这些技术突破、业务落地背后,坑踩得一个都不少。

医疗AI,只有技术可不够

大道理其实也简单:想要打造好的AI系统,高质量的数据集是关键。

然而对于医疗AI来说,这从来不是一个简单的事情。

医疗影像数据质量参差不齐,标准化程度低、人工标注难度大、数据敏感度高等行业性难题,导致AI在医学上的学习和应用面临诸多挑战,从而难倒了诸多英雄好汉,甚至还是一些巨头公司的短板。

比如此前名震江湖的IBM沃森医疗系统,宣称超过人类医生的存在,在2018年被美国健康医疗媒体STAT曝光,其AI系统训练数据量最高的肺癌只有635例,而最低的卵巢癌只有106例,引起哗然一片。

而且数据难题之外,还有更现实的挑战:医疗机构不买账。

据2018年9月中国信息通信研究院、Gartner联合发布的《2018 世界人工智能产业蓝皮书》,在中国,医疗健康领域的AI企业在所有AI企业中占比达到了22%,在所有垂直行业中占比最高。

但在医疗AI行业火热的同时,客户并不怎么感兴趣。

《财经》杂志在2019年3月份的报道中就指出,资本捧场,使产品同质化严重,送进医院、无人使用的AI医疗产品不在少数。AI逐渐演变为医疗领域的嵌入品,锦上添花的功效有,雪中送炭的本事无。

作为行业中的一份子,达摩院医疗AI,绕不开,无法回避,唯有迎难而上解决问题。

扫地僧如何破局?

华先胜说,如今回顾,大道至简:“以技术平台为轴心,联合产业伙伴打天下”。

对于阿里来说,这不是一个陌生的模式,不论是淘宝、支付宝,还是现在的阿里云、平头哥,本质上都是以技术建立平台,拥抱行业玩家,来推动产业发展。

医疗AI领域,阿里的优势还更甚,它旗下还有一个在香港上市的公司阿里健康,已经在医药电商及新零售、互联网医疗、消费医疗、智慧医疗等领域深耕多年。

在阿里健康以及众多医疗行业合作伙伴,比如万里云、卫宁健康、古珀科技等的支持下,达摩院医疗AI在高质量数据集上不断训练优化,通过阿里云推进技术在医疗行业落地的速度,在行业中都处于前列。

所以才有了当前抗疫中的达摩院医疗AI。

危急关头,如何一步步见真章?

速度,速度,还是速度。

华先胜说,疫情大面积爆发之初,达摩院医疗AI团队就放弃假期行动起来。

连点成线,覆盖疫情咨询、药物研发、病毒基因分析、临床诊断等多个环节。

1月27日,达摩院连夜研发的智能疫情机器人。上线后便在全国各地投入使用,很快落地全国27个省、直辖市、自治区,免费为57座城市拨打1600万通防控摸排电话,摸排超过20万身体异常人群。

2天后,阿里云宣布向全球公共科研机构免费开放一切AI算力,以加速本次新型肺炎新药和疫苗研发。

钟南山团队、全球健康药物研发中心GHDDI、北京大学、晶泰科技等机构,都成为受益者。

紧接着2月1日,达摩院医疗AI算法,正式应用于新冠肺炎的病原学检测。

达摩院与浙江省疾控中心合作,利用算法将疑似病例基因分析时间缩至半小时,该技术可以避免核酸检测出现的漏检情况,同时可以及时检测到变异病毒。

华先胜解释:“它每天都在工作,准确率近乎100%,正进一步推广到更多地方使用。”

而且 ,达摩院也在进一步优化算法,将时间缩短到了10分钟,进一步提高效率,并在疫区压力最大的武汉金银潭医院上线。

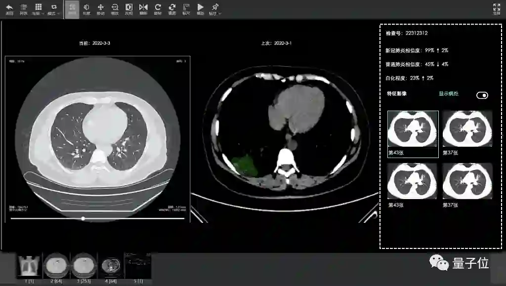
2月15日,达摩院医疗AI团队与合作伙伴一起,基于5000CT影像样本数据,快速研发出了CT影像算法,在郑州小汤山上线,可以在20秒内对新冠疑似患者CT影像做出判读,并量化病症的轻重程度,分析结果准确率达到96%。

至今这套AI系统已在浙江、河南、湖北、上海、广东、江苏、安徽等16个省市的170家医院落地,诊断超过34万临床病例。

这还不够,为了全方位抗疫。达摩院医疗AI团队还提供了医疗专业翻译系统、疫情预测等系统,来为更大范围、更高层次的抗疫,提供信息支撑。

同时,疫情全球化蔓延的情况下,达摩院医疗AI随着阿里云一同出海。

很快,日本知名医疗科技机构JBC正式上线阿里云新冠肺炎AI诊断技术,开始向日本医院提供服务,帮助医生通过CT影像快速进行新冠肺炎筛查。

并且更多的欧洲国家也在跟进。在华先胜的透露中,先后有30多个国家和地区,希望达摩院通过阿里云提供医疗AI支持。

当然,达摩院并非这次全球科技抗疫中的全部。

疫情之下,全球医疗AI的多数玩家,都参与到了抗疫之中。比如国内的依图、推想等公司都推出了相应产品,以自身之长提供解决方案。

国外如谷歌,在美国疫情爆发之时,同样投入了1700名程序员,联合专攻“医疗科技”的兄弟公司Verily,打造新冠病毒检测网站。

“扫地僧”华先胜对此怎么看?

他很开心,认为这次疫情对于整个行业来说,是一次大练兵。

“很多竞争对手都成了并肩作战的伙伴。(抗疫)也让我们与合作伙伴的协同变得更加深入。“

而且更重要的是,经此一疫,医疗AI的社会定位、落地推广和作用发挥,也得到意想不到的市场教育和检验。

扫地僧要做一个怎样的医疗AI?

答案很简单:近期帮助人类医生的AI,远期帮助大众对健康有更强的把控能力的AI。

众所周知,抗疫过程中,医生人手缺少的局面一直存在。

2月5日,国家卫健委公布的诊疗方案第五版中,正式将CT 影像临床诊断结果作为新冠肺炎病例判断的标准之一。

虽然这直接加快了新冠肺炎疑似病例的确诊速度与准确度,但对于前线医生来说,却是不小的负担。

一位新冠肺炎病人的 CT 影像大概在300张左右,每诊断一个病例,影像医生需要投入大约为5-15分钟时间。一名医生每天连续不间断工作12个小时,只能诊断大概72个病例。

当时——2月4日晚,全国一共有疑似病例23260例,追踪到(新冠肺炎患者)密切接触者252154人……提升临床诊断效率,成为抗疫期间核心需求之一。

而达摩院等医疗AI机构,就在这样的险峻形势中出手,联合伙伴打造的新冠病毒CT影响诊断系统,从上传数据到得到结果,诊断一个病例平均仅需20秒,计算时间最快仅2秒。

虽然仍旧需要医生进一步配合才能够得到更准确诊断结果,但对效率的提升, 无疑是巨大的。这也是医疗AI能够在抗疫期间得到推广的原因之一。

因此,华先胜认为,这也会成为医疗系统的常态:AI助攻,人类医生提效。

据新华网2018年12月份报道,中国医学影像数据的年增长率约为30%,而放射科医师数量的年增长率约为4.1%,而且需求缺口不断加大。

对于医疗AI行业来说, 这是其进一步发展的机会。

“医疗AI的价值在抗疫中得到验证,会对医疗行业和公众产生深远的影响。在接下来几年,将会看到整个医疗行业的数字化和智能化程度大幅度提升。”华先胜说。

达摩院医疗AI,早已行动起来了。

阿里达摩院透露,他们打造的医疗AI系统,已经落地了170家医院,在北京、上海、广州、杭州、武汉、郑州等一线城市之外,也部署到了二三线城市——往往都是医疗资源相对匮乏的地方。

华先胜解释,二三线城市未来对医疗健康AI的需求应该会更为迫切,用AI提升诊断效率和水准在医疗资源缺乏的区域,是当前和未来医疗健康AI落地的一个较大的场景。

然而,要将医疗AI应用到更多的场景,进入寻常生活,还有很长的路要走。

不论是获取更多的医疗数据,还是寻找更加切合的商业模式,以及政策法规的支持等,都是医疗AI行业需要解决的问题。

但突发疫情也让其前景变得更明朗。

正所谓“上医治未病,中医治欲病,下医治已病”。现在,医疗AI正在疾病治疗中发挥作用。

但华先胜认为,接下来医疗AI将会从医生走向大众,从高成本走向普惠,从应用于医疗走向应用于健康。

这是阿里健康体系、达摩院医疗AI等将要重点发力的方向。

阿里范式,阿里打法,要再一次在医疗健康领域复刻——成为基础设施,成为医疗健康行业的数字经济基础设施。

它们将长在抗疫号角之下,为不再需要抗疫而生。

在耳熟能详的武侠江湖中,达摩院代表了武学武德的最高成就,扫地僧更是大隐于寺的大神象征,并且总能在危难关头挺身而出。

从这个角度来说,倒与马云和阿里的达摩院创立初心,都有呼应。

而且也给新时代的扫地僧、科研人员,工程师们,提供了更大舞台和机会。

侠之大者,为国为民。

作者系网易新闻·网易号“各有态度”签约作者


—  —

「地平线核心技术系列公开课」第三期报名中。 4月3日20:00,地平线应用平台架构师穆黎森 ,将在线介绍地平线AI Express如何助力算法工程化落地,并剖析其应用案例。

戳下图二维码,即可报名、加入交流群~

直播推荐 | 地平线核心技术解析系列课

学习计划 | 关注AI发展新动态


量子位 QbitAI · 头条号签约作者


վ'ᴗ' ի 追踪AI技术和产品新动态


喜欢就点「在看」吧 !



登录查看更多
1

相关内容

华先胜,现任阿里巴巴集团副总裁/高级研究员、阿里巴巴达摩院城市大脑实验室主任。华博士是国际电气与电子工程师协会会士,美国计算机协会杰出科学家;2008年获MIT技术评论“全球35个35岁以下杰出青年创新者”称号(TR35)。1996年和2001年毕业于北京大学数学学院,分别获学士和博士学位;之后工作于微软亚洲研究院,微软美国必应搜索引擎,以及微软美国研究院,从事多媒体、计算机视觉和机器学习方面的研发工作。2015年4月加入阿里巴巴,负责大规模视觉智能计算的算法和系统研发。
商业数据分析,39页ppt
专知会员服务
165+阅读 · 2020年6月2日
【德勤】中国人工智能产业白皮书,68页pdf
专知会员服务
311+阅读 · 2019年12月23日
医疗知识图谱构建与应用
专知会员服务
390+阅读 · 2019年9月25日
【综述】智能医疗综述,48页论文详述医学AI最新进展
专知会员服务
71+阅读 · 2019年9月1日
如何构建行业知识图谱(以医疗行业为例)
动态 | 阿里达摩院引入以色列知名科学家 Lihi Zelnik-Manor 教授
中国人工智能学会
3+阅读 · 2018年11月26日
人工智能与机器学习技术在医疗保健行业中的应用
深度学习与NLP
12+阅读 · 2018年3月25日
【智能医疗】如何利用深度学习诊断心脏病?
产业智能官
8+阅读 · 2017年10月3日
已删除
将门创投
6+阅读 · 2017年7月6日
Adaptive Neural Trees
Arxiv
4+阅读 · 2018年12月10日
VIP会员
最新内容
人工智能在战场行动中的演进及伊朗案例
专知会员服务
2+阅读 · 今天13:08
美AI公司Anthropic推出网络安全模型“Mythos”
专知会员服务
2+阅读 · 今天12:58
【博士论文】面向城市环境的可解释计算机视觉
专知会员服务
0+阅读 · 今天12:57
大语言模型的自改进机制:技术综述与未来展望
专知会员服务
0+阅读 · 今天12:50
《第四代军事特种作战部队选拔与评估》
专知会员服务
1+阅读 · 今天6:23
相关VIP内容
商业数据分析,39页ppt
专知会员服务
165+阅读 · 2020年6月2日
【德勤】中国人工智能产业白皮书,68页pdf
专知会员服务
311+阅读 · 2019年12月23日
医疗知识图谱构建与应用
专知会员服务
390+阅读 · 2019年9月25日
【综述】智能医疗综述,48页论文详述医学AI最新进展
专知会员服务
71+阅读 · 2019年9月1日
Top
微信扫码咨询专知VIP会员