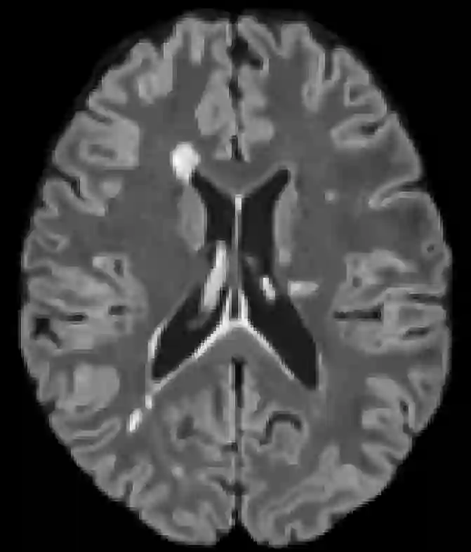
Recently, segmentation methods based on Convolutional Neural Networks (CNNs) showed promising performance in automatic Multiple Sclerosis (MS) lesions segmentation. These techniques have even outperformed human experts in controlled evaluation conditions such as Longitudinal MS Lesion Segmentation Challenge (ISBI Challenge). However state-of-the-art approaches trained to perform well on highly-controlled datasets fail to generalize on clinical data from unseen datasets. Instead of proposing another improvement of the segmentation accuracy, we propose a novel method robust to domain shift and performing well on unseen datasets, called DeepLesionBrain (DLB). This generalization property results from three main contributions. First, DLB is based on a large group of compact 3D CNNs. This spatially distributed strategy ensures a robust prediction despite the risk of generalization failure of some individual networks. Second, DLB includes a new image quality data augmentation to reduce dependency to training data specificity (e.g., acquisition protocol). Finally, to learn a more generalizable representation of MS lesions, we propose a hierarchical specialization learning (HSL). HSL is performed by pre-training a generic network over the whole brain, before using its weights as initialization to locally specialized networks. By this end, DLB learns both generic features extracted at global image level and specific features extracted at local image level. DLB generalization was validated in cross-dataset experiments on MSSEG'16, ISBI challenge, and in-house datasets. During experiments, DLB showed higher segmentation accuracy, better segmentation consistency and greater generalization performance compared to state-of-the-art methods. Therefore, DLB offers a robust framework well-suited for clinical practice.


翻译:最近,基于进化神经网络(CNNs)的分解方法显示,在自动多缩缩缩(MS)损伤分解中,在自动多缩缩缩(MS)偏移(DLB)的分解中,分解方法表现良好。这些技术甚至优于人类专家在控制的评价条件下的表现,如纵向MS Lesion分解挑战(ISBI挑战 挑战 ) 。然而,在高度控制的数据集中,经过良好表现训练的先进方法未能对临床数据进行概括化分析。我们建议采用一种新颖的方法,以稳健的方式进行域变换,并很好地表现在未知的数据集(DeepLeLeB)的分解(DLB ) 。这种概括化的特性源自三大主要贡献。首先, DLB 以大型的3DCNNC 分解(I 挑战 挑战 挑战 ) 。尽管某些个人网络存在超常态化失败的风险,但这种空间分布式战略还是确保了可靠的预测。第二,DLB 包含新的图像质量数据增强,以减少对数据特殊DL(egal 协议(e) 协议) 难度。最后,我们提议在GEGalalalalalalalalalalalal 一级进行更深入的分解(HL) 一级,在Galalalalalalalalalal) 一级,在G) 一级进行更深入的分解到G) 一级的分解,在开始学习一个通用的分解。

0
下载
关闭预览

相关内容

Stabilizing Transformers for Reinforcement Learning
专知会员服务
60+阅读 · 2019年10月17日
《DeepGCNs: Making GCNs Go as Deep as CNNs》
专知会员服务
32+阅读 · 2019年10月17日
Keras François Chollet 《Deep Learning with Python 》, 386页pdf
专知会员服务
164+阅读 · 2019年10月12日
2019年机器学习框架回顾
专知会员服务
36+阅读 · 2019年10月11日
AI可解释性文献列表
专知
43+阅读 · 2019年10月7日
Transferring Knowledge across Learning Processes
CreateAMind
29+阅读 · 2019年5月18日
TorchSeg:基于pytorch的语义分割算法开源了
极市平台
20+阅读 · 2019年1月28日
逆强化学习-学习人先验的动机
CreateAMind
16+阅读 · 2019年1月18日
强化学习的Unsupervised Meta-Learning
CreateAMind
18+阅读 · 2019年1月7日
无监督元学习表示学习
CreateAMind
27+阅读 · 2019年1月4日
Unsupervised Learning via Meta-Learning
CreateAMind
44+阅读 · 2019年1月3日
A Technical Overview of AI & ML in 2018 & Trends for 2019
待字闺中
18+阅读 · 2018年12月24日
Hierarchical Disentangled Representations
CreateAMind
4+阅读 · 2018年4月15日
强化学习 cartpole_a3c
CreateAMind
9+阅读 · 2017年7月21日
VIP会员
最新内容
探秘Palantir:驱动美情报的科技巨头
专知会员服务
2+阅读 · 今天3:14
《美国海军军事海运司令部 2026年手册》
专知会员服务
2+阅读 · 今天3:05
《人工智能使能系统可靠性框架》
专知会员服务
5+阅读 · 今天2:28
2026“人工智能+”行业发展蓝皮书(附下载)
专知会员服务
14+阅读 · 4月26日
《强化学习数学基础》
专知会员服务
12+阅读 · 4月26日
“Maven计划”的发展演变之“Maven智能系统”应用
相关资讯
AI可解释性文献列表
专知
43+阅读 · 2019年10月7日
Transferring Knowledge across Learning Processes
CreateAMind
29+阅读 · 2019年5月18日
TorchSeg:基于pytorch的语义分割算法开源了
极市平台
20+阅读 · 2019年1月28日
逆强化学习-学习人先验的动机
CreateAMind
16+阅读 · 2019年1月18日
强化学习的Unsupervised Meta-Learning
CreateAMind
18+阅读 · 2019年1月7日
无监督元学习表示学习
CreateAMind
27+阅读 · 2019年1月4日
Unsupervised Learning via Meta-Learning
CreateAMind
44+阅读 · 2019年1月3日
A Technical Overview of AI & ML in 2018 & Trends for 2019
待字闺中
18+阅读 · 2018年12月24日
Hierarchical Disentangled Representations
CreateAMind
4+阅读 · 2018年4月15日
强化学习 cartpole_a3c
CreateAMind
9+阅读 · 2017年7月21日
Top
微信扫码咨询专知VIP会员