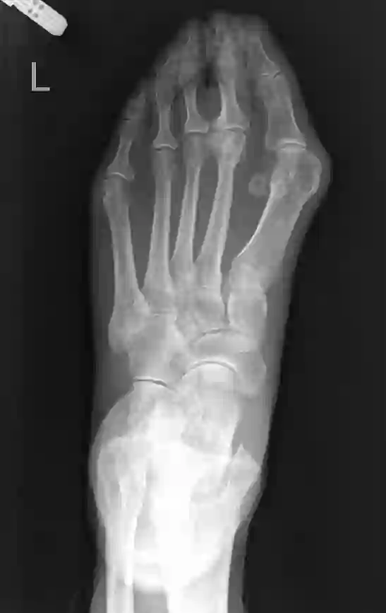
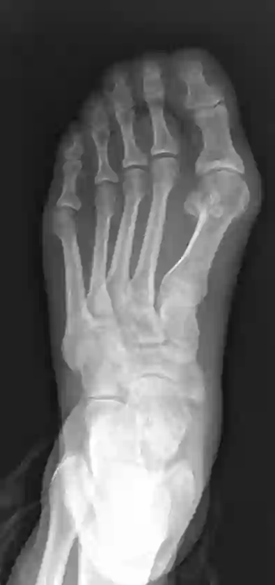
Angular measurements is essential to make a resonable treatment for Hallux valgus (HV), a common forefoot deformity. However, it still depends on manual labeling and measurement, which is time-consuming and sometimes unreliable. Automating this process is a thing of concern. However, it lack of dataset and the keypoints based method which made a great success in pose estimation is not suitable for this field.To solve the problems, we made a dataset and developed an algorithm based on deep learning and linear regression. It shows great fitting ability to the ground truth.


翻译:角测量对于使Hallux valgus (HV) (一种常见的前脚畸形) 得到共鸣处理至关重要。 但是,它仍然取决于人工标签和测量,而人工标签和测量既费时,有时又不可靠。 这一过程的自动化是一个令人关切的问题。 但是,缺少数据集,而且基于关键点的、在作出估计方面取得巨大成功的方法,不适合这个领域。 为了解决问题,我们制作了一个数据集,并根据深层学习和线性回归制定了一种算法。 它显示了非常适合地面事实的能力。

0
下载
关闭预览

相关内容

Keras François Chollet 《Deep Learning with Python 》, 386页pdf
专知会员服务
164+阅读 · 2019年10月12日
强化学习最新教程,17页pdf
专知会员服务
182+阅读 · 2019年10月11日
[综述]深度学习下的场景文本检测与识别
专知会员服务
78+阅读 · 2019年10月10日
Hierarchically Structured Meta-learning
CreateAMind
27+阅读 · 2019年5月22日
Transferring Knowledge across Learning Processes
CreateAMind
29+阅读 · 2019年5月18日
Unsupervised Learning via Meta-Learning
CreateAMind
44+阅读 · 2019年1月3日
A Technical Overview of AI & ML in 2018 & Trends for 2019
待字闺中
18+阅读 · 2018年12月24日
disentangled-representation-papers
CreateAMind
26+阅读 · 2018年9月12日
Hierarchical Disentangled Representations
CreateAMind
4+阅读 · 2018年4月15日
算法|随机森林(Random Forest)
全球人工智能
3+阅读 · 2018年1月8日
Arxiv
30+阅读 · 2021年7月7日
Arxiv
5+阅读 · 2021年4月21日
Arxiv
27+阅读 · 2020年12月24日
Arxiv
5+阅读 · 2018年5月31日
VIP会员
最新内容
人工智能即服务与未来战争(印度视角)
专知会员服务
0+阅读 · 41分钟前
《美国战争部2027财年军事人员预算》
专知会员服务
0+阅读 · 54分钟前
伊朗战争中的电子战
专知会员服务
3+阅读 · 今天7:04
大语言模型平台在国防情报应用中的对比
专知会员服务
5+阅读 · 今天3:12
美海军“超配项目”
专知会员服务
6+阅读 · 今天2:13
《美陆军条例:陆军指挥政策(2026版)》
专知会员服务
10+阅读 · 4月21日
《军用自主人工智能系统的治理与安全》
专知会员服务
7+阅读 · 4月21日
相关VIP内容
Keras François Chollet 《Deep Learning with Python 》, 386页pdf
专知会员服务
164+阅读 · 2019年10月12日
强化学习最新教程,17页pdf
专知会员服务
182+阅读 · 2019年10月11日
[综述]深度学习下的场景文本检测与识别
专知会员服务
78+阅读 · 2019年10月10日
相关资讯
Hierarchically Structured Meta-learning
CreateAMind
27+阅读 · 2019年5月22日
Transferring Knowledge across Learning Processes
CreateAMind
29+阅读 · 2019年5月18日
Unsupervised Learning via Meta-Learning
CreateAMind
44+阅读 · 2019年1月3日
A Technical Overview of AI & ML in 2018 & Trends for 2019
待字闺中
18+阅读 · 2018年12月24日
disentangled-representation-papers
CreateAMind
26+阅读 · 2018年9月12日
Hierarchical Disentangled Representations
CreateAMind
4+阅读 · 2018年4月15日
算法|随机森林(Random Forest)
全球人工智能
3+阅读 · 2018年1月8日
Top
微信扫码咨询专知VIP会员