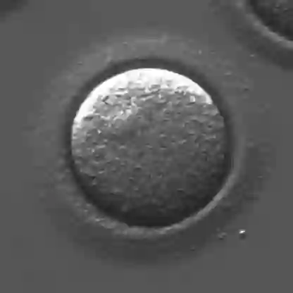
Infertility is becoming an issue for an increasing number of couples. The most common solution, in vitro fertilization, requires embryologists to carefully examine light microscopy images of human oocytes to determine their developmental potential. We propose an automatic system to improve the speed, repeatability, and accuracy of this process. We first localize individual oocytes and identify their principal components using CNN (U-Net) segmentation. Next, we calculate several descriptors based on geometry and texture. The final step is an SVM classifier. Both the segmentation and classification training is based on expert annotations. The presented approach leads to a classification accuracy of 70%.


翻译:对越来越多的夫妇来说,不孕症正在成为一个问题。最常见的解决办法是体外受孕,即胚胎学家必须仔细检查人类卵细胞的光显微镜图像,以确定其发育潜力。我们建议了一个自动系统来提高这个过程的速度、可重复性和准确性。我们首先使用CNN(U-Net)分割法对个体卵细胞进行本地化,并查明其主要成分。接下来,我们根据几何和纹理计算数个描述符。最后一步是SVM分类法。分解和分类培训都以专家说明为基础。提出的方法导致分类精确度达到70%。

0
下载
关闭预览

相关内容

机器学习系统设计系统评估标准
专知会员服务
41+阅读 · 2020年9月6日
[综述]深度学习下的场景文本检测与识别
专知会员服务
78+阅读 · 2019年10月10日
一文读懂Faster RCNN
极市平台
5+阅读 · 2020年1月6日
无人机视觉挑战赛 | ICCV 2019 Workshop—VisDrone2019
PaperWeekly
7+阅读 · 2019年5月5日
【TED】生命中的每一年的智慧
英语演讲视频每日一推
10+阅读 · 2019年1月29日
Fast R-CNN
数据挖掘入门与实战
3+阅读 · 2018年4月20日
ResNet, AlexNet, VGG, Inception:各种卷积网络架构的理解
全球人工智能
20+阅读 · 2017年12月17日
【推荐】ResNet, AlexNet, VGG, Inception:各种卷积网络架构的理解
机器学习研究会
20+阅读 · 2017年12月17日
gan生成图像at 1024² 的 代码 论文
CreateAMind
4+阅读 · 2017年10月31日
可解释的CNN
CreateAMind
18+阅读 · 2017年10月5日
【推荐】MXNet深度情感分析实战
机器学习研究会
16+阅读 · 2017年10月4日
SwapText: Image Based Texts Transfer in Scenes
Arxiv
4+阅读 · 2020年3月18日
Arxiv
6+阅读 · 2018年3月28日
VIP会员
最新内容
2025年大语言模型进展报告
专知会员服务
1+阅读 · 46分钟前
多智能体协作机制
专知会员服务
0+阅读 · 50分钟前
非对称优势:美海军开发低成本反无人机技术
专知会员服务
4+阅读 · 今天4:39
《美战争部小企业创新研究(SBIR)计划》
专知会员服务
6+阅读 · 今天2:48
《军事模拟:将军事条令与目标融入AI智能体》
专知会员服务
9+阅读 · 今天2:43
【NTU博士论文】3D人体动作生成
专知会员服务
7+阅读 · 4月24日
以色列军事技术对美国军力发展的持续性赋能
专知会员服务
8+阅读 · 4月24日
《深度强化学习在兵棋推演中的应用》40页报告
专知会员服务
14+阅读 · 4月24日
《多域作战面临复杂现实》
专知会员服务
10+阅读 · 4月24日
《印度的多域作战:条令与能力发展》报告
专知会员服务
5+阅读 · 4月24日
相关资讯
一文读懂Faster RCNN
极市平台
5+阅读 · 2020年1月6日
无人机视觉挑战赛 | ICCV 2019 Workshop—VisDrone2019
PaperWeekly
7+阅读 · 2019年5月5日
【TED】生命中的每一年的智慧
英语演讲视频每日一推
10+阅读 · 2019年1月29日
Fast R-CNN
数据挖掘入门与实战
3+阅读 · 2018年4月20日
ResNet, AlexNet, VGG, Inception:各种卷积网络架构的理解
全球人工智能
20+阅读 · 2017年12月17日
【推荐】ResNet, AlexNet, VGG, Inception:各种卷积网络架构的理解
机器学习研究会
20+阅读 · 2017年12月17日
gan生成图像at 1024² 的 代码 论文
CreateAMind
4+阅读 · 2017年10月31日
可解释的CNN
CreateAMind
18+阅读 · 2017年10月5日
【推荐】MXNet深度情感分析实战
机器学习研究会
16+阅读 · 2017年10月4日
Top
微信扫码咨询专知VIP会员