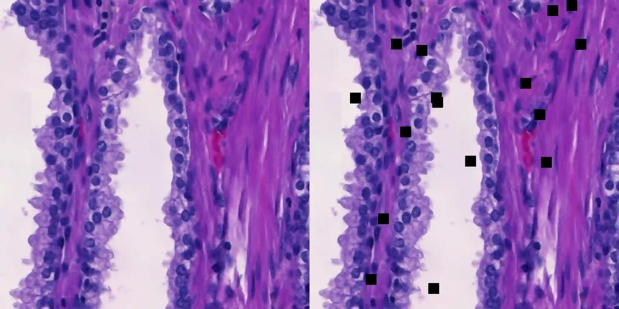
Many current neural networks for medical imaging generalise poorly to data unseen during training. Such behaviour can be caused by networks overfitting easy-to-learn, or statistically dominant, features while disregarding other potentially informative features. For example, indistinguishable differences in the sharpness of the images from two different scanners can degrade the performance of the network significantly. All neural networks intended for clinical practice need to be robust to variation in data caused by differences in imaging equipment, sample preparation and patient populations. To address these challenges, we evaluate the utility of spectral decoupling as an implicit bias mitigation method. Spectral decoupling encourages the neural network to learn more features by simply regularising the networks' unnormalised prediction scores with an L2 penalty, thus having no added computational costs. We show that spectral decoupling allows training neural networks on datasets with strong spurious correlations. Networks trained without spectral decoupling do not learn the original task and appear to make false predictions based on the spurious correlations. Spectral decoupling also increases networks' robustness for data distribution shifts. To validate our findings, we train networks with and without spectral decoupling to detect prostate cancer tissue slides and COVID-19 in chest radiographs. Networks trained with spectral decoupling achieve substantially higher performance on all evaluation datasets. Our results show that spectral decoupling helps with generalisation issues associated with neural networks. We recommend using spectral decoupling as an implicit bias mitigation method in any neural network intended for clinical use.


翻译:医学成像的许多当前神经网络在医学成像上一般化,与培训期间所见数据不相符。 这种行为可能由网络过度适应容易阅读或统计上占主导地位的特征造成,而忽视其他潜在信息特征。 例如, 两个不同扫描仪的图像的清晰度差异无法区分,可以显著地降低网络的性能。 用于临床实践的所有神经网络都需要强大,以便因成像设备、样本准备和病人群体的差异而导致的数据差异而变化。 要应对这些挑战,我们评价光谱脱色作为隐含偏差缓减方法的效用。 光谱脱色脱色鼓励神经网络学习更多特征,简单将网络的未经调整的预测分数与L2罚款统一,从而没有增加计算成本。 我们显示,光谱脱色脱色可以对数据集进行培训。 无需光谱脱色脱色训练的网络不会学习原始任务,而且似乎会根据假相的关联性关系做出不实的谱预测。 光谱脱色脱色的神经网络也会提高网络在数据分布上的稳定性。 我们的光谱化和感光谱化分析结果显示, 将显示,我们用光谱化的光谱化的网络进行数据分析, 测试显示, 组织分析结果将显示。 校化 校 校 校正 校 校 校 校 校 校 校 校 校 校 校 校 校验 校 校 校 校 校 校 校 校 校 校 校 校 校 校 校 校 校 校 校 校 校 校 校 校 校 校 校 校 校 校 校 校 校 校 校 校 校 校 校 校 校 校 校 校 校 校 校 校 校 校 校 校 校 校 校 校 校 校 校 校 校 校 校 校 校 校 校 校 校 校 校 校 校 校 校 校 校 校 校 校 校 校 校 校 校 校 校 校 校 校 校 校 校 校 校 校 校 校 校 校 校 校 校

0
下载
关闭预览

相关内容

神经网络(Neural Networks)是世界上三个最古老的神经建模学会的档案期刊:国际神经网络学会(INNS)、欧洲神经网络学会(ENNS)和日本神经网络学会(JNNS)。神经网络提供了一个论坛,以发展和培育一个国际社会的学者和实践者感兴趣的所有方面的神经网络和相关方法的计算智能。神经网络欢迎高质量论文的提交,有助于全面的神经网络研究,从行为和大脑建模,学习算法,通过数学和计算分析,系统的工程和技术应用,大量使用神经网络的概念和技术。这一独特而广泛的范围促进了生物和技术研究之间的思想交流,并有助于促进对生物启发的计算智能感兴趣的跨学科社区的发展。因此,神经网络编委会代表的专家领域包括心理学,神经生物学,计算机科学,工程,数学,物理。该杂志发表文章、信件和评论以及给编辑的信件、社论、时事、软件调查和专利信息。文章发表在五个部分之一:认知科学,神经科学,学习系统,数学和计算分析、工程和应用。 官网地址:http://dblp.uni-trier.de/db/journals/nn/
2019年机器学习框架回顾
专知会员服务
36+阅读 · 2019年10月11日
Multi-Task Learning的几篇综述文章
深度学习自然语言处理
15+阅读 · 2020年6月15日
Transferring Knowledge across Learning Processes
CreateAMind
29+阅读 · 2019年5月18日
强化学习的Unsupervised Meta-Learning
CreateAMind
18+阅读 · 2019年1月7日
Unsupervised Learning via Meta-Learning
CreateAMind
44+阅读 · 2019年1月3日
disentangled-representation-papers
CreateAMind
26+阅读 · 2018年9月12日
Hierarchical Disentangled Representations
CreateAMind
4+阅读 · 2018年4月15日
人工智能 | 国际会议截稿信息9条
Call4Papers
4+阅读 · 2018年3月13日
计算机视觉近一年进展综述
机器学习研究会
9+阅读 · 2017年11月25日
Auto-Encoding GAN
CreateAMind
7+阅读 · 2017年8月4日
【今日新增】IEEE Trans.专刊截稿信息8条
Call4Papers
7+阅读 · 2017年6月29日
Feature Denoising for Improving Adversarial Robustness
Arxiv
15+阅读 · 2018年12月9日
Arxiv
9+阅读 · 2018年1月4日
VIP会员
最新内容
《美陆军条例:陆军指挥政策(2026版)》
专知会员服务
7+阅读 · 今天8:10
《军用自主人工智能系统的治理与安全》
专知会员服务
5+阅读 · 今天8:02
《系统簇式多域作战规划范畴论框架》
专知会员服务
9+阅读 · 4月20日
高效视频扩散模型:进展与挑战
专知会员服务
4+阅读 · 4月20日
乌克兰前线的五项创新
专知会员服务
8+阅读 · 4月20日
 军事通信系统与设备的技术演进综述
专知会员服务
7+阅读 · 4月20日
《北约标准:医疗评估手册》174页
专知会员服务
6+阅读 · 4月20日
相关资讯
Multi-Task Learning的几篇综述文章
深度学习自然语言处理
15+阅读 · 2020年6月15日
Transferring Knowledge across Learning Processes
CreateAMind
29+阅读 · 2019年5月18日
强化学习的Unsupervised Meta-Learning
CreateAMind
18+阅读 · 2019年1月7日
Unsupervised Learning via Meta-Learning
CreateAMind
44+阅读 · 2019年1月3日
disentangled-representation-papers
CreateAMind
26+阅读 · 2018年9月12日
Hierarchical Disentangled Representations
CreateAMind
4+阅读 · 2018年4月15日
人工智能 | 国际会议截稿信息9条
Call4Papers
4+阅读 · 2018年3月13日
计算机视觉近一年进展综述
机器学习研究会
9+阅读 · 2017年11月25日
Auto-Encoding GAN
CreateAMind
7+阅读 · 2017年8月4日
【今日新增】IEEE Trans.专刊截稿信息8条
Call4Papers
7+阅读 · 2017年6月29日
Top
微信扫码咨询专知VIP会员