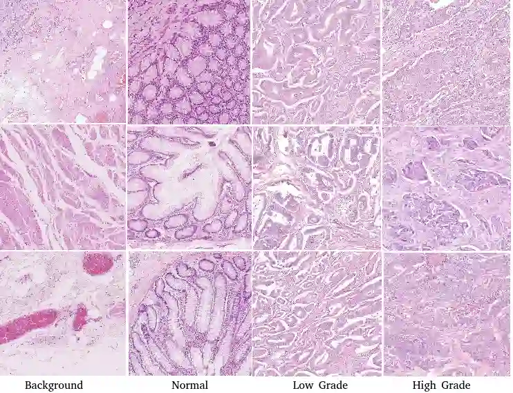
Computational pathology tasks have some unique characterises such as multi-gigapixel images, tedious and frequently uncertain annotations, and unavailability of large number of cases [13]. To address some of these issues, we present Deep Fastfood Ensembles - a simple, fast and yet effective method for combining deep features pooled from popular CNN models pre-trained on totally different source domains (e.g., natural image objects) and projected onto diverse dimensions using random projections, the so-called Fastfood [11]. The final ensemble output is obtained by a consensus of simple individual classifiers, each of which is trained on a different collection of random basis vectors. This offers extremely fast and yet effective solution, especially when training times and domain labels are of the essence. We demonstrate the effectiveness of the proposed deep fastfood ensemble learning as compared to the state-of-the-art methods for three different tasks in histopathology image analysis.


翻译:计算病理学任务有一些独特的特征,如多igapixel图像、乏味和经常不确定的附加说明以及大量案例[13]无法找到。为了解决其中的一些问题,我们介绍了深快食品集合(Deep Fastfood Enterfood Ansembles) -- -- 一种简单、快速且有效的方法,将广受欢迎的CNN模型的深层特征组合起来,在完全不同的源域(例如自然图像物体)上预先培训,并使用随机预测,即所谓的快食品[11],并投射到不同的维度上。最后的混合输出是通过简单的单个分类师的共识取得的,每个分类师都接受过不同随机矢量收集的培训。这提供了非常快速而有效的解决方案,特别是当培训时间和域标签是本质时。我们展示了拟议的深度快食品共习学习与他病理图像分析中三种不同任务的最新方法相比的有效性。

0
下载
关闭预览

相关内容

集成学习是使用一系列学习器进行学习,并使用某种规则把各个学习结果进行整合从而获得比单个学习器更好的学习效果的一种机器学习方法。
【2022新书】高效深度学习,Efficient Deep Learning Book
专知会员服务
128+阅读 · 2022年4月21日
100+篇《自监督学习(Self-Supervised Learning)》论文最新合集
专知会员服务
167+阅读 · 2020年3月18日
强化学习最新教程,17页pdf
专知会员服务
182+阅读 · 2019年10月11日
【哈佛大学商学院课程Fall 2019】机器学习可解释性
专知会员服务
105+阅读 · 2019年10月9日
IEEE TII Call For Papers
CCF多媒体专委会
3+阅读 · 2022年3月24日
AIART 2022 Call for Papers
CCF多媒体专委会
1+阅读 · 2022年2月13日
Hierarchically Structured Meta-learning
CreateAMind
27+阅读 · 2019年5月22日
Transferring Knowledge across Learning Processes
CreateAMind
29+阅读 · 2019年5月18日
Unsupervised Learning via Meta-Learning
CreateAMind
44+阅读 · 2019年1月3日
A Technical Overview of AI & ML in 2018 & Trends for 2019
待字闺中
18+阅读 · 2018年12月24日
【推荐】深度学习目标检测全面综述
机器学习研究会
21+阅读 · 2017年9月13日
【推荐】深度学习目标检测概览
机器学习研究会
10+阅读 · 2017年9月1日
【推荐】图像分类必读开创性论文汇总
机器学习研究会
14+阅读 · 2017年8月15日
国家自然科学基金
2+阅读 · 2017年12月31日
国家自然科学基金
0+阅读 · 2015年12月31日
国家自然科学基金
0+阅读 · 2012年12月31日
国家自然科学基金
11+阅读 · 2012年12月31日
国家自然科学基金
0+阅读 · 2009年12月31日
国家自然科学基金
0+阅读 · 2008年12月31日
国家自然科学基金
0+阅读 · 2008年12月31日
Arxiv
17+阅读 · 2020年11月15日
Arxiv
12+阅读 · 2019年3月14日
Arxiv
17+阅读 · 2018年4月2日
VIP会员
最新内容
美陆军设想无人系统司令部
专知会员服务
1+阅读 · 今天13:45
【博士论文】已对齐人工智能系统的持久脆弱性
专知会员服务
0+阅读 · 今天13:52
扭曲还是编造?视频大语言模型幻觉研究综述
专知会员服务
0+阅读 · 今天13:41
《采用系统思维应对混合战争》125页
专知会员服务
2+阅读 · 今天12:47
战争机器学习:数据生态系统构建(155页)
专知会员服务
6+阅读 · 今天8:10
内省扩散语言模型
专知会员服务
6+阅读 · 4月14日
国外反无人机系统与技术动态
专知会员服务
4+阅读 · 4月14日
相关资讯
IEEE TII Call For Papers
CCF多媒体专委会
3+阅读 · 2022年3月24日
AIART 2022 Call for Papers
CCF多媒体专委会
1+阅读 · 2022年2月13日
Hierarchically Structured Meta-learning
CreateAMind
27+阅读 · 2019年5月22日
Transferring Knowledge across Learning Processes
CreateAMind
29+阅读 · 2019年5月18日
Unsupervised Learning via Meta-Learning
CreateAMind
44+阅读 · 2019年1月3日
A Technical Overview of AI & ML in 2018 & Trends for 2019
待字闺中
18+阅读 · 2018年12月24日
【推荐】深度学习目标检测全面综述
机器学习研究会
21+阅读 · 2017年9月13日
【推荐】深度学习目标检测概览
机器学习研究会
10+阅读 · 2017年9月1日
【推荐】图像分类必读开创性论文汇总
机器学习研究会
14+阅读 · 2017年8月15日
相关基金
国家自然科学基金
2+阅读 · 2017年12月31日
国家自然科学基金
0+阅读 · 2015年12月31日
国家自然科学基金
0+阅读 · 2012年12月31日
国家自然科学基金
11+阅读 · 2012年12月31日
国家自然科学基金
0+阅读 · 2009年12月31日
国家自然科学基金
0+阅读 · 2008年12月31日
国家自然科学基金
0+阅读 · 2008年12月31日
Top
微信扫码咨询专知VIP会员