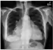
Cardiomegaly is indeed a medical disease in which the heart is enlarged. Cardiomegaly is better to handle if caught early, so early detection is critical. The chest X-ray, being one of the most often used radiography examinations, has been used to detect and visualize abnormalities of human organs for decades. X-ray is also a significant medical diagnosis tool for cardiomegaly. Even for domain experts, distinguishing the many types of diseases from the X-ray is a difficult and time-consuming task. Deep learning models are also most effective when used on huge data sets, yet due to privacy concerns, large datasets are rarely available inside the medical industry. A Deep learning-based customized retrained U-Net model for detecting Cardiomegaly disease is presented in this research. In the training phase, chest X-ray images from the "ChestX-ray8" open source real dataset are used. To reduce computing time, this model performs data preprocessing, picture improvement, image compression, and classification before moving on to the training step. The work used a chest x-ray image dataset to simulate and produced a diagnostic accuracy of 94%, a sensitivity of 96.2 percent, and a specificity of 92.5 percent, which beats prior pre-trained model findings for identifying Cardiomegaly disease.


翻译:心肺病确实是一种医疗疾病,心脏在其中得到扩大。心肺病在早期被感染后处理更好,因此早期检测至关重要。胸X光是最经常使用的放射检查之一,数十年来一直用于检测和直视人体器官异常现象。X光也是心肺病的一个重要医学诊断工具。即使对领域专家来说,区分许多类型的疾病和X光是一种困难和耗时的任务。深层学习模型在用于庞大的数据集时也最为有效,但由于隐私问题,大型数据集在医疗行业中很少提供。本研究中介绍了一个深层学习的、经过再培训的用于检测心血管疾病的U-Net模型。在培训阶段,使用了“ChestX-射线8”开放源真实数据集的胸X光图像。为了减少计算时间,该模型在进入培训阶段之前进行数据预处理、改进、图像压缩和分类。工作使用了胸部X光图像数据集,以模拟和制作了用于诊断性能达94%的卡通度前诊断的精确度。

0
下载
关闭预览

相关内容

ACM/IEEE第23届模型驱动工程语言和系统国际会议,是模型驱动软件和系统工程的首要会议系列,由ACM-SIGSOFT和IEEE-TCSE支持组织。自1998年以来,模型涵盖了建模的各个方面,从语言和方法到工具和应用程序。模特的参加者来自不同的背景,包括研究人员、学者、工程师和工业专业人士。MODELS 2019是一个论坛,参与者可以围绕建模和模型驱动的软件和系统交流前沿研究成果和创新实践经验。今年的版本将为建模社区提供进一步推进建模基础的机会,并在网络物理系统、嵌入式系统、社会技术系统、云计算、大数据、机器学习、安全、开源等新兴领域提出建模的创新应用以及可持续性。 官网链接:http://www.modelsconference.org/
100+篇《自监督学习(Self-Supervised Learning)》论文最新合集
专知会员服务
167+阅读 · 2020年3月18日
[综述]深度学习下的场景文本检测与识别
专知会员服务
78+阅读 · 2019年10月10日
【SIGGRAPH2019】TensorFlow 2.0深度学习计算机图形学应用
专知会员服务
41+阅读 · 2019年10月9日
【ICIG2021】Latest News & Announcements of the Workshop
中国图象图形学学会CSIG
0+阅读 · 2021年12月20日
【ICIG2021】Check out the hot new trailer of ICIG2021 Symposium9
中国图象图形学学会CSIG
0+阅读 · 2021年12月17日
【ICIG2021】Check out the hot new trailer of ICIG2021 Symposium8
中国图象图形学学会CSIG
0+阅读 · 2021年11月16日
【ICIG2021】Check out the hot new trailer of ICIG2021 Symposium2
中国图象图形学学会CSIG
0+阅读 · 2021年11月8日
【ICIG2021】Check out the hot new trailer of ICIG2021 Symposium1
中国图象图形学学会CSIG
0+阅读 · 2021年11月3日
【ICIG2021】Latest News & Announcements of the Plenary Talk2
中国图象图形学学会CSIG
0+阅读 · 2021年11月2日
【ICIG2021】Latest News & Announcements of the Industry Talk2
中国图象图形学学会CSIG
0+阅读 · 2021年7月29日
Hierarchically Structured Meta-learning
CreateAMind
27+阅读 · 2019年5月22日
【推荐】YOLO实时目标检测(6fps)
机器学习研究会
20+阅读 · 2017年11月5日
【推荐】深度学习目标检测全面综述
机器学习研究会
21+阅读 · 2017年9月13日
国家自然科学基金
0+阅读 · 2014年12月31日
国家自然科学基金
0+阅读 · 2013年12月31日
国家自然科学基金
0+阅读 · 2013年12月31日
国家自然科学基金
3+阅读 · 2013年12月31日
国家自然科学基金
0+阅读 · 2013年12月31日
国家自然科学基金
0+阅读 · 2011年12月31日
Arxiv
0+阅读 · 2022年8月26日
Deep Anomaly Detection with Outlier Exposure
Arxiv
17+阅读 · 2018年12月21日
VIP会员
最新内容
《无人机革命:来自俄乌战场的启示》(报告)
专知会员服务
1+阅读 · 24分钟前
《实现联合作战能力所需的技术》58页报告
专知会员服务
1+阅读 · 42分钟前
以色列运用人工智能优化空袭警报系统
专知会员服务
0+阅读 · 52分钟前
以色列在多条战线部署AI智能体
专知会员服务
1+阅读 · 刚刚
2025年大语言模型进展报告
专知会员服务
12+阅读 · 4月25日
多智能体协作机制
专知会员服务
11+阅读 · 4月25日
非对称优势:美海军开发低成本反无人机技术
专知会员服务
9+阅读 · 4月25日
《美战争部小企业创新研究(SBIR)计划》
专知会员服务
8+阅读 · 4月25日
《军事模拟:将军事条令与目标融入AI智能体》
专知会员服务
12+阅读 · 4月25日
【NTU博士论文】3D人体动作生成
专知会员服务
9+阅读 · 4月24日
相关VIP内容
100+篇《自监督学习(Self-Supervised Learning)》论文最新合集
专知会员服务
167+阅读 · 2020年3月18日
[综述]深度学习下的场景文本检测与识别
专知会员服务
78+阅读 · 2019年10月10日
【SIGGRAPH2019】TensorFlow 2.0深度学习计算机图形学应用
专知会员服务
41+阅读 · 2019年10月9日
相关资讯
【ICIG2021】Latest News & Announcements of the Workshop
中国图象图形学学会CSIG
0+阅读 · 2021年12月20日
【ICIG2021】Check out the hot new trailer of ICIG2021 Symposium9
中国图象图形学学会CSIG
0+阅读 · 2021年12月17日
【ICIG2021】Check out the hot new trailer of ICIG2021 Symposium8
中国图象图形学学会CSIG
0+阅读 · 2021年11月16日
【ICIG2021】Check out the hot new trailer of ICIG2021 Symposium2
中国图象图形学学会CSIG
0+阅读 · 2021年11月8日
【ICIG2021】Check out the hot new trailer of ICIG2021 Symposium1
中国图象图形学学会CSIG
0+阅读 · 2021年11月3日
【ICIG2021】Latest News & Announcements of the Plenary Talk2
中国图象图形学学会CSIG
0+阅读 · 2021年11月2日
【ICIG2021】Latest News & Announcements of the Industry Talk2
中国图象图形学学会CSIG
0+阅读 · 2021年7月29日
Hierarchically Structured Meta-learning
CreateAMind
27+阅读 · 2019年5月22日
【推荐】YOLO实时目标检测(6fps)
机器学习研究会
20+阅读 · 2017年11月5日
【推荐】深度学习目标检测全面综述
机器学习研究会
21+阅读 · 2017年9月13日
相关基金
国家自然科学基金
0+阅读 · 2014年12月31日
国家自然科学基金
0+阅读 · 2013年12月31日
国家自然科学基金
0+阅读 · 2013年12月31日
国家自然科学基金
3+阅读 · 2013年12月31日
国家自然科学基金
0+阅读 · 2013年12月31日
国家自然科学基金
0+阅读 · 2011年12月31日
Top
微信扫码咨询专知VIP会员