Fresenius Medical Care在慢性肾病中实现纳米细胞外囊泡应用的临床前突破

2018 年 8 月 8 日 外泌体之家

全球最大的透析产品和服务提供商Fresenius Medical Care今天宣布其子公司Unicyte AG在其慢性肾病再生医学项目中取得了关键的临床前里程碑式突破。该公司能够在第二个慢性肾病临床前模型中证实其专有的纳米细胞外囊泡(nEVs)的疾病治疗潜力。

 

当给予快速进展性肾病的小鼠Unicyte的nEVs时,可以预防肾纤维化,肾纤维化是慢性肾病的标志。特别地,nEV显着减少间质纤维化和肾小管坏死,同时还抑制各种细胞的浸润。最终肾功能恢复接近正常。与意大利都灵大学的Giovanni Camussi教授合作进行的这项研究已被同行评审期刊Frontiers of Immunology发表。

 

这些新结果支持了先前的慢性进展性肾病(糖尿病肾病)模型的研究结果。这些研究的综合结果证明了nEV在预防肾纤维化和随后发展为终末期肾病中的功效和潜在的作用机制。 Unicyte将继续其专有的nEV的临床前和临床开发,用于治疗慢性和急性肾病。

 

Fresenius Medical Care全球研发部首席执行官Olaf Schermeier博士说:“自从我们建立Unicyte以来,我们在过去30个月的研发过程中取得了进展,我们感到非常兴奋。基于这些成就,Unicyte将继续探索nEVs治疗透析前慢性肾病患者的潜力。“

 

都灵大学名誉教授,Unicyte科学顾问委员会成员Giovanni Camussi教授说:“nEV是一种很有前途的再生医学技术平台。我们的目标是为严重和慢性病患者开发新的和更好的治疗方案。实现这一临床前突破代表了在临床环境中试验nEV的重要一步。“

 

凭借在临床和临床前阶段的多种治疗方案,Unicyte在肾脏和肝脏疾病/糖尿病和肿瘤学方面建立了广泛的渠道。该公司正在为其非肾脏项目寻求战略合作伙伴关系。


 

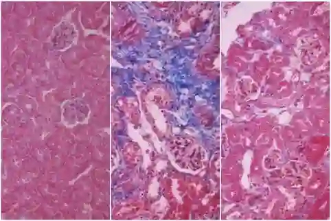
图: 人肝干细胞衍生的细胞外囊泡(HLSC-EVs)在马兜铃酸肾病的体外模型中下调促纤维化基因.


参考文献:

1. Kholia S et al. (2018) Human Liver Stem Cell-Derived Extracellular Vesicles Prevent Aristolochic Acid-Induced Kidney Fibrosis. Front Immunol [Epub ahead of print].

2. https://www.freseniusmedicalcare.com/en/news/details/detail/News/fresenius-medical-care-achieves-preclinical-milestone-in-its-regenerative-medicine-program-for-chron/

科研学习班了解一下~ ~(点击详细了解)

英语差、零基础就和SCI没缘分吗?NoNoNo

资深润色主编手把手教你如何进行SCI写作

无实验无数据没关系,挖掘别人的数据,发表自己的文章

不做实验,不写meta分析,用这个方法轻轻松松发多篇SCI论文

关于举办系统评价与meta分析学习班和临床科研设计和数据管理学习班的通知

TCGA、GEO及SEER公共数据库挖掘与应用学习会

如何将网络药理学和生物信息学应用于中药复方/单体研究和基金申请?

2019国自然基金标书构思及撰写经验分享会邀请

回复“外泌体” 阅读外泌体最新科研进展及动态

回复“EV 阅读 2016-2018年This Week in Extracellular Vesicles

回复“盘点” 阅读 外泌体领域十大前沿进展盘点


登录查看更多
1

相关内容

临床自然语言处理中的嵌入综述,SECNLP: A survey of embeddings
Gartner:2020年十大战略性技术趋势, 47页pdf
专知会员服务
79+阅读 · 2020年3月10日
【学科交叉】抗生素发现的深度学习方法
专知会员服务
25+阅读 · 2020年2月23日
Nature 一周论文导读 | 2019 年 5 月 30 日
科研圈
15+阅读 · 2019年6月9日
Nature 一周论文导读 | 2019 年 2 月 28 日
科研圈
13+阅读 · 2019年3月10日
Science:脂肪细胞外泌体对巨噬细胞发挥调节功能
外泌体之家
19+阅读 · 2019年3月7日
Nature 一周论文导读 | 2019 年 2 月 21 日
科研圈
14+阅读 · 2019年3月3日
Nature 一周论文导读 | 2018 年 5 月 24 日
科研圈
11+阅读 · 2018年5月27日
Arxiv
10+阅读 · 2018年3月22日
VIP会员
最新内容
美陆军设想无人系统司令部
专知会员服务
0+阅读 · 今天13:45
【博士论文】已对齐人工智能系统的持久脆弱性
专知会员服务
0+阅读 · 今天13:52
扭曲还是编造?视频大语言模型幻觉研究综述
专知会员服务
0+阅读 · 今天13:41
《采用系统思维应对混合战争》125页
专知会员服务
2+阅读 · 今天12:47
战争机器学习:数据生态系统构建(155页)
专知会员服务
6+阅读 · 今天8:10
内省扩散语言模型
专知会员服务
5+阅读 · 4月14日
国外反无人机系统与技术动态
专知会员服务
3+阅读 · 4月14日
Top
微信扫码咨询专知VIP会员