动物所发现肺癌精准治疗新标记

2017 年 11 月 2 日 中国生物技术网 动物所


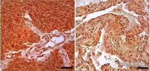
FAK6,7病人肺癌组织FAK蛋白磷酸化水平(左)比FAK野生型病人(右)磷酸化水平明显增高

  发现基因及其编码蛋白质的异常是癌症精准治疗的基础。局部黏着斑激酶(focal adhesion kinase, FAK)是一种重要的非受体型酪氨酸激酶,在几乎所有的细胞中均有表达,可将细胞外的重要信号(如细胞生长、营养等)向细胞内传导,调控细胞的基本生物学功能。FAK在肺癌等肿瘤中表达增高并与病人预后负相关,抑制FAK在临床试验中显示一定的抗癌活性。目前,缺乏指导FAK抑制剂临床应用的生物标记物。

  中国科学院动物研究所周光飚研究组系统研究了非小细胞肺癌中FAK的结构变异体。研究人员对91例肺癌病人的FAK基因组序列和编码区序列进行测序,发现在7例病人癌组织中存在4种类型的FAK变异体:一例病人发生基因内部串联重复突变体(FAK-ITD),一例病人发生A1004S点突变,一例病人发生第5-27号外显子缺失的突变,四例病人表达剪切异构体FAK6,7(在Y397自磷酸化位点前后分别插入编码6、7个氨基酸的外显子Box6和Box7)。与不吸烟病人相比,吸烟病人发生FAK变异的比例明显增高。分析癌症基因组测序TCGA数据库中肺癌病人的RNA测序数据,发现在508例肺腺癌病人中有42例(占8.3%)、501例肺鳞癌病人中有37例(占7.4%)病人表达含有“Box 6”及/或“Box 7”的FAK可变剪切变异体,且吸烟的肺腺癌病例发生FAK结构变异的比例明显高于非吸烟病人。与野生型FAK相比,FAK-ITD和FAK6,7的自磷酸化水平增强(见图),酪氨酸激酶活性增高,对FAK激酶抑制剂的敏感性显著增强。该研究对肺癌病人FAK抑制剂的临床精准应用具有指导意义,也说明吸烟可引起重要基因的剪切变异从而危害健康。

  研究成果发表在Journal of the National Cancer Institute上,该项目得到国家自然科学基金杰出青年科学基金、精准医学研究国家重点研发计划、中科院“个性化药物——基于疾病分子分型的普惠新药研发”战略性先导专项等的支持。

中国生物技术网诚邀生物领域科学家在我们的平台上,发表和介绍国内外原创的科研成果。

注:国内为原创研究成果或评论、综述,国际为在线发表一个月内的最新成果或综述,字数500字以上,并请提供至少一张图片。投稿者,请将文章发送至weixin@im.ac.cn

本公众号由中国科学院微生物研究所信息中心承办

微信公众号:中国生物技术网

回复关键词热点”可阅读热点专题文章,包括“施一公”、“肠道菌群”、“肿瘤”、“免疫”和“健康”

热文TOP10(统计周期:2016.5.1-2016.7.10)

直接点击文字即可浏览!

1、PNAS:午睡会增强记忆力

2、韩春雨:科研是一种很好的生活方式

3、减肥的终极奥义:训练大脑,而非锻炼身

4、20、30、40岁,新陈代谢如何改变? 

5、科学揭示:一杯酒下肚后...
6、体育运动如何使大脑更好地运转
7、意想不到的发现:癌细胞转移的最新观点
8、关于IQ的9个事实
9、第一个抗衰老医学试验在狗身上成功!
10、一包33岁的垃圾给我们的启示




登录查看更多
0

相关内容

第34届IEEE/ACM自动化软件工程国际会议(ASE 2019)将于2019年11月11日至15日在圣地亚哥举行。该会议是自动化软件工程的首要研究论坛。每年,它汇集了学术界和工业界的研究人员和实践者,讨论自动化、分析、设计、实现、测试和维护大型软件系统的基础、技术和工具。 官网链接:https://2019.ase-conferences.org/
专知会员服务
132+阅读 · 2020年7月10日
基于深度学习的多标签生成研究进展
专知会员服务
147+阅读 · 2020年4月25日
专知会员服务
29+阅读 · 2020年3月6日
安全和健壮的医疗机器学习综述,附22页pdf
专知会员服务
47+阅读 · 2020年1月25日
【华侨大学】基于混合深度学习算法的疾病预测模型
专知会员服务
97+阅读 · 2020年1月21日
2019中国肿瘤免疫治疗会议(附最新版日程)
肿瘤资讯
11+阅读 · 2019年6月13日
2017-2018年抗肿瘤药物行业研究报告
行业研究报告
7+阅读 · 2018年11月1日
Arxiv
3+阅读 · 2018年6月19日
Arxiv
14+阅读 · 2018年5月15日
VIP会员
最新内容
人工智能在战场行动中的演进及伊朗案例
专知会员服务
2+阅读 · 今天13:08
美AI公司Anthropic推出网络安全模型“Mythos”
专知会员服务
2+阅读 · 今天12:58
【博士论文】面向城市环境的可解释计算机视觉
专知会员服务
0+阅读 · 今天12:57
大语言模型的自改进机制:技术综述与未来展望
专知会员服务
0+阅读 · 今天12:50
《第四代军事特种作战部队选拔与评估》
专知会员服务
1+阅读 · 今天6:23
Top
微信扫码咨询专知VIP会员