还在担心“初老症”?比这更揪心的,是真正的衰老…

2017 年 11 月 6 日 果壳网 徐来

你什么时候觉得自己“中年危机”了?


越来越不喜欢改变习惯

以前可以唱KTV到天亮,现在只要熬一次夜,就会累一个礼拜

总是把重要的东西放在重要的地方,再把那个重要的地方彻底忘记……


谁不是上一秒还在不愿长大,下一秒惊觉自己成了一个不动声色的大人呢?


*图片来自giphy

当然,很多人还寄希望于“逆生长”……不过讲真啊,逆生长都是瞎说啊,真要论起来,灯塔水母倒是真的能逆生长,长到一定程度就会回退到早先的状态下。可是灯塔水母属于刺胞动物啊,这一类的动物屁股和嘴长一块儿了——真有人受得了这个罪?

 

所以啊,人类还是安安分分的先把自己的衰老问题搞清楚吧。

 


 “返老还童”是一个不可能实现的梦吗?


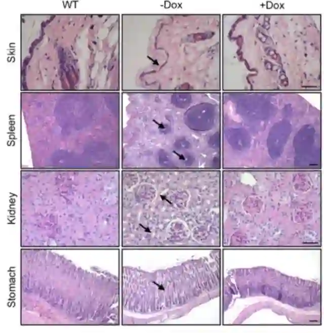
衰老是人一生无法避免的进程。生物学家将衰老定义为年龄相关的或年龄渐进的内在生理功能下降,导致与年龄相关的死亡率的增加和年龄相关生殖再生率的下降[1]。科学家巴尔蒙蒂在一群幼年期就表现出衰老的患有“早衰症”的小鼠体内发现,一种叫Lmna基因发生突变,使得“早衰蛋白”大量积累,让小鼠过早地衰老。[2]

(巴尔蒙蒂做的“早衰症”小鼠实验,

对三个月大的不同小鼠的组织对比)

 

所以啊,要想聊衰老,得先从基因聊起。


我们知道,DNA是由四个不同核酸排列组成的长链分子组成:腺嘌呤、胸腺嘧啶、鸟嘌呤和胞嘧啶,在组成的长链分子中的功能性片段被称作基因。基因也有“开关”,当“开关”打开的时候,机体可以在合适的时间空间表达特定蛋白质。而掌握着这“开关”的是甲基团的增加或减少。

 

甲基是由1个碳原子和3个氢原子组成的基团,通常情况下会结合在胞嘧啶上,这就是甲基化。甲基化后的基因通常会关闭,科学家利用这一点,绘制DNA甲基化图谱来分析老年病和衰老的关系。

 

目前研究表明,年龄的增长带来的DNA甲基化图谱的变化可能是引起包括癌症、高血压、脑卒、阿兹海默等多种老年病发病率随年龄增加的原因之一。或许要想实现“返老还童”,首先要解决的就是随着年龄增长带来的一系列老年病问题。


*图片来自giphy

 


衰老进程不可逆,疾病风险可降低

“返老还童”这件事儿,还是把它放在文艺作品里吧。虽然衰老的进程不可逆,人类对基因领域的不断探索,通过某些途径,我们可以提前预知自己患病的风险。

 

比如,我最近就又体验了一下基因检测的流程:

这个检测是由知几基因提供的。采集盒的包装还挺隆重的,一层层打开,拿出唾液采集器,临时想起来看了一眼说明书,才知道采集之前半个小时不能喝水吃东西、漱口、抽烟、嚼口香糖……偷懒的办法是使不上了,还是自己好好“酝酿”吧。完事后,按照说明书的要求,把盖子盖好,摇匀,再装进“寄回盒”里,在微信上绑定采集器,就用快递寄了个到付,把采集器送回啦。



然后就是等待报告啦,通过微信服务号,我每隔一段时间就会收到一条通知,告诉我整个检查过程推进到了哪一步。



最后生成的报告也是让我感觉相当满意。


倒不是说检测出来基因完美、体能超群、智力水平出类拔萃——照照镜子也知道这是不可能的嘛。实际上,报告的第一项疾病风险中,还提示我有一项高风险内容,是关乎一种呼吸系统疾病的。我特地查了一下相关的疾病和基因的关系。原来,这个基因有可能影响肺部炎症的发展。虽然按照我目前的情况,罹患这种疾病的几率很小,但不得不说,这个结果还是让我对自己身体的认知进入了一个新的层次。



当然,知几基因的检测内容远远不止疾病风险一类,在这里,我还能读到遗传疾病、肿瘤疾病等各个方向的信息。我个人觉得比较重要的是在科学用药方面,列出了28项需要我重点关注的药物,其中大部分都属于心血管类药物和精神障碍药物——如果我以后需要使用到这些药物的话,或许可以和医生沟通一下基因方面的情况了。

 

报告中还给出了一些其他的分析,比如族源分析,这个之前承蒙复旦的严实老师的安排,曾经专门做过Y染色体的检测。以此为基础进行人群的分析,还是很有些人类学层面的意义的。

 

此外,饮食特质、营养补充、个人体质和外貌基因方面,报告都给出了一些有意思的解读。我觉得最好玩的一项是,报告指出,我的咖啡因代谢能力较差,对咖啡因不耐受——这是很有意思的一个结果,了解我的人一定知道,我是个嗜咖啡成瘾的人。当然,这并不是说基因检测的结果有误,实际上我很清楚,在年轻的时候,我是绝对不会在下午三四点之后喝咖啡的,甚至稍浓一些的茶水都会影响到我的睡眠。只不过多年的生活习惯已经极大地影响了我的咖啡因耐受阈值。这个结果也足以说明一点:基因固然在一定程度上确立了每个人人生的最初基调,但它并没有设置“写保护”,在绝大多数情况下,漫长的人生会对这些基调进行修正,最终决定我们生活的,应该是生活本身。在拿到报告后,知道我们如何调整生活,是基因科学对我们普通人生活的意义。

更重要的是,关于我们的基因,虽然科学家们持续不断的进行探索,但依然存在着很多问题,我们还回答得不好甚至无从回答起。这也就是为什么在知几基因这份检测报告的最后,还给出了一个“报告更新”的项目,为检测者提供后续的延伸服务。随着基因科学的发展,或许未来在这个部分当中,我会通过这个部分了解到更多关于我自己的真相吧。

 

参考文献:

[1]Flatt T. A newdefinition of aging?. Front Genet, 2012, 3: 148

[2] Ocampo,Alejandro, et al. "In Vivo Amelioration of Age-Associated Hallmarks byPartial Reprogramming." Cell 167.7 (2016): 1719-1733.



本文来自果壳网,谢绝转载

如有需要请联系[email protected]

(欢迎转发到朋友圈~)

果壳网

ID:Guokr42

果壳整天都在科普些啥啊!

吓得我二维码都歪了!


为啥这样的二维码也能扫?

扫码发送【二维码】告诉你原理~



登录查看更多
0

相关内容

AI创新者:破解项目绩效的密码
专知会员服务
35+阅读 · 2020年6月21日
商业数据分析,39页ppt
专知会员服务
165+阅读 · 2020年6月2日
Python数据分析:过去、现在和未来,52页ppt
专知会员服务
103+阅读 · 2020年3月9日
《人工智能2020:落地挑战与应对 》56页pdf
专知会员服务
197+阅读 · 2020年3月8日
阿里巴巴达摩院发布「2020十大科技趋势」
专知会员服务
108+阅读 · 2020年1月2日
2019->2020必看的十篇「深度学习领域综述」论文
专知会员服务
275+阅读 · 2020年1月1日
2019中国硬科技发展白皮书 193页
专知会员服务
86+阅读 · 2019年12月13日
Nature 一周论文导读 | 2019 年 8 月 8 日
科研圈
6+阅读 · 2019年8月18日
Nature 一周论文导读 | 2019 年 8 月 1 日
科研圈
8+阅读 · 2019年8月11日
见字如面:二十年,终于等到你
肿瘤资讯
7+阅读 · 2019年6月19日
Nature 一周论文导读 | 2019 年 5 月 30 日
科研圈
15+阅读 · 2019年6月9日
外泌体相比干细胞的优势是什么?
外泌体之家
43+阅读 · 2018年11月15日
麻省理工发布2018年全球十大突破性技术
算法与数学之美
12+阅读 · 2018年9月13日
深扒人脸识别60年技术发展史
炼数成金订阅号
3+阅读 · 2018年6月20日
Feature Denoising for Improving Adversarial Robustness
Arxiv
15+阅读 · 2018年12月9日
Arxiv
4+阅读 · 2018年9月25日
Arxiv
19+阅读 · 2018年6月27日
Arxiv
14+阅读 · 2018年4月6日
VIP会员
最新内容
美国与以色列如何在攻击伊朗中使用人工智能
专知会员服务
4+阅读 · 4月16日
《自动化战略情报管控》
专知会员服务
2+阅读 · 4月16日
得失评估:审视对伊朗战争的轨迹(简报)
专知会员服务
2+阅读 · 4月16日
【CMU博士论文】迈向可解释机器学习的理论基础
基于数据优化的人机协同与机器人僚机
专知会员服务
7+阅读 · 4月16日
相关VIP内容
AI创新者:破解项目绩效的密码
专知会员服务
35+阅读 · 2020年6月21日
商业数据分析,39页ppt
专知会员服务
165+阅读 · 2020年6月2日
Python数据分析:过去、现在和未来,52页ppt
专知会员服务
103+阅读 · 2020年3月9日
《人工智能2020:落地挑战与应对 》56页pdf
专知会员服务
197+阅读 · 2020年3月8日
阿里巴巴达摩院发布「2020十大科技趋势」
专知会员服务
108+阅读 · 2020年1月2日
2019->2020必看的十篇「深度学习领域综述」论文
专知会员服务
275+阅读 · 2020年1月1日
2019中国硬科技发展白皮书 193页
专知会员服务
86+阅读 · 2019年12月13日
相关资讯
Nature 一周论文导读 | 2019 年 8 月 8 日
科研圈
6+阅读 · 2019年8月18日
Nature 一周论文导读 | 2019 年 8 月 1 日
科研圈
8+阅读 · 2019年8月11日
见字如面:二十年,终于等到你
肿瘤资讯
7+阅读 · 2019年6月19日
Nature 一周论文导读 | 2019 年 5 月 30 日
科研圈
15+阅读 · 2019年6月9日
外泌体相比干细胞的优势是什么?
外泌体之家
43+阅读 · 2018年11月15日
麻省理工发布2018年全球十大突破性技术
算法与数学之美
12+阅读 · 2018年9月13日
深扒人脸识别60年技术发展史
炼数成金订阅号
3+阅读 · 2018年6月20日
Top
微信扫码咨询专知VIP会员