中国或成医疗AI最大市场,谁能成就医学界 ImageNet? | 垂直AI特稿

2017 年 3 月 28 日 新智元

   新智元原创  

作者:零夏 

整理:随一


【新智元导读】人工智能技术的发展,给垂直产业带来巨大变革,以医疗、无人车、安防、金融等垂直行业的变化最受到关注,多位知名投资人都强调现在真正能落地的就是AI在垂直行业的应用,可谓“不垂直,不快乐”。但是AI虽火,人的价值中存在批判性思维:医疗AI最有前途的技术是否是深度学习?是什么样的技术要诊断22542个ICD10疾病?谁能成就医学界的ImageNet? 



新智元于3月25日参加智慧未来·医疗人工智能峰会,活动由汇医慧影、英特尔医疗等联合主办。其中汇医慧影成立于2015年,其创始人柴象飞两年前从斯坦福大学回到国内,那时候他觉得春雨医生做的非常好,让他看到了医疗影像在商业模式上的巨大创新。因此他和郭娜一起创立了汇医慧影,致力于发掘医疗影像数据价值,以最前沿的云计算、大数据和人工智能技术,打造智能医学影像平台和肿瘤放疗平台。在这一过程中,英特尔医疗提供了很多支持,汇医慧影也成为了英特尔联合实验室的一员。

 

参与本次医疗AI峰会的嘉宾有英特尔医疗与生命科学部亚太区总经理李亚东,汇医慧影创始人柴象飞和郭娜,蓝驰创投合伙人陈维广,斯坦福大学放疗科终身教授邢磊,跨入到医疗界的国际核能院院士张勤,万方数据股份有限公司副总经理张秀梅,郑大五附院党委书记王新军和某著名设备商代表。本文综合了会场演讲、论坛和新智元对斯坦福医疗AI专家邢磊的专访内容,让我们破除迷信,跟随AI技术大牛和医疗行业大拿一起揭开中国医疗AI之现状。

 

强化深度学习:医疗AI最有前途的技术?


自从2012年深度学习技术被引入到图像识别数据集ImageNet(做为测试标准),其识别率近年屡创新高,并且在某些领域如图像分类等方面达到人类水平。深度学习技术加上医疗影像领域累积多年的数据,给这一领域带来了令人惊喜的突破。

 

新智元曾经报道过斯坦福的研究人员发布在Nature上的研究,CNN做皮肤癌诊断,与21位皮肤科医生对比测试,结果系统的精确度与人类医生相当(“至少”91%)。还有JAMA上发布的利用CNN对糖尿病视网膜病变的诊断,结果表明,其算法的性能与眼科医生的性能一致。

 

CNN在医学上的应用可谓在顶级刊物上连放大招,那么深度学习技术是医学影像领域效果最好的技术吗?

 

斯坦福大学邢磊教授告诉新智元:深度学习及强化深度学习,代表目前新潮的技术,它们能解决很多以前不能解决的问题,把医疗AI推向新的高潮。


深度学习


强化深度学习在2016年初AlphaGo对战李世乭中大放异彩。AlphaGo学习棋谱到了一定程度,就可在和对手及自己对弈的大量棋局中,使用强化学习来进一步改善它,这可以说是它不断超越自己,最终战胜人类冠军的关键所在。作为一种有效的机器学习方法,强化学习主要研究在特定情境或环境下的操作方式,使得奖励信号最大化。同样在医疗AI的决策过程中,一个程序操作会常会影响其接收到的数据,不同的操作中程序会接受到不同的输入信息。强化学习可找出决策或操作的最优方案,以获得最大的奖励。


乳腺钼靶肿块判读


邢磊博士介绍,其实在深度学习之前,大约在90年代,就已有很多人做计算机辅助诊断(CAD)。之前神经网络做不深,现在有了新型计算机和深度学习之后,可以实现很深的网络。但是就以皮肤癌的诊断为例,目前在临床上还没有真正意义上的大规模的应用。基于深度学习的诊断尚处于研发阶段。但以现在的研发速度来看,这些新技术离临床应用已经并不十分遥远了。


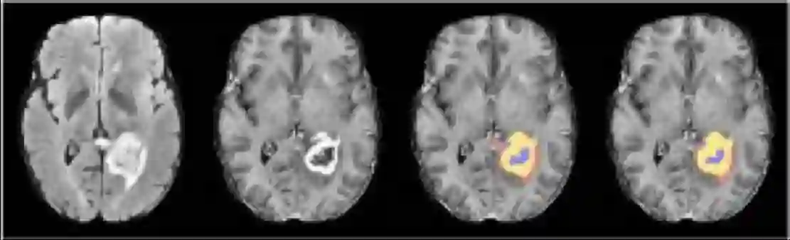
脑出血区域自动标记


另外,深度学习并不是在所有场景下都需要。这跟具体遇到的问题有关,有时候一般的机器学习技术已经够用。新的算法可以说是层出不穷,日新月异。把不同的算法结合起来也是AI的领域常用的方法。

 

动态不确定因果图:诊断各种疾病


人工智能不止是深度学习,也不止是大数据,张勤教授深以为然。他通过多年研究,提出了一套动态不确定因果图DUCG(DynamicUncertain Causality Graph)理论,用于因果知识的图形表达和推理。DUCG克服了贝叶斯网络的简洁表达和推理模型只适用于单赋值情况,不适用于多赋值和逻辑循环等情况的问题。

 

张勤教授创立动态不确定因果图的本意是为了解决核电站的在线故障诊断,因为核电故障数据极少,诊断要求高(要诊断从未出现过的故障),必须充分利用领域专家知识才行。核电站有数千甚至数万个实时动态信号,故障发展迅速,要求DUCG能够在秒级对众多信号(其中可能存在虚假信号)进行动态推理,高效准确地诊断故障,为提升核电站的安全性和经济效益提供智能技术支持。他的团队迄今已取得上百起故障诊断实验100%的成功率,无一失手。现已用于核电站和卫星系统的故障监测和诊断。



那么DUCG能否用于医疗诊断呢?

 

张勤团队首先与医学专家合作,针对各类疾病建立DUCG医学知识库(并不是机器从数据里面自动学出知识,而是医生用图形语言在机器中表达自己的知识,并由机器自动合成知识库。)张勤认为,宏观世界(微米以上尺度)万物皆因果,例如上呼吸道感染可能导致咳嗽、头痛等,这就是具有不确定性的因果知识。他们用103张因果子图合成一个知识库,包含各种风险因素、病史、症状、体征、影像学检查和实验室检查、以及各种逻辑组合和无条件或有条件因果关系及不确定性参数,与DUCG推理机相结合,进行疾病诊断。

 

他们这套系统跟某医院合作诊断某类疾病,样本集中有近4000个病例,涉及27种病,按照每种病不超过10个病例随机抽出203个病例进行测试,最后结果正确率99.01%,只有两个病例因记录不完整而不正确。张勤的团队还做过眩晕疾病的DUCG诊断,也达到了远高于国际同行的正确率。目前正在开展晕厥和胸痛疾病的智能诊断知识库开发。

 

张勤团队正在进一步开发这套系统使之不仅能帮助医生诊断,而且能启发医生知道下一步做什么检查最有价值,而不是盲目检查,增加医保和病人的负担。这套系统还可用于医院分诊,也就是根据病人自述和分诊师了解到的信息计算并排序选择优先就诊的科室或可能需要的会诊科室。

 

张勤还表示,重要的是智能诊断系统不仅能告诉病人或医生是什么病,还要告诉为什么是这个病,因为做决策并承担责任的是医生,不是智能系统,至少在目前的情况下是如此。最后他认为,医疗数据并不是只要多就好,数据质量高才行。 


下一个挑战:谁能成就医学界的ImageNet?


医疗AI的技术远不止深度学习、机器学习、动态不确定图等,此外医疗AI中也面临着很多挑战。


全维度数据:基因 + 蛋白 + 病理+ 影像 + 临床 + 随访

 

对于普通的图像研究者,ImageNet提供了1000万张意义上的图片供训练。但是医学数据非常大,对于医学影像诊断的模型,目前并没有一个权威的公开数据集。根据斯坦福邢磊博士所说,数据库也是有一些,但是并不全,并不足够大。比如乳腺癌有数据集算比较多的,但是没有大到几十万个病例。研究人员有时候需要自己采集数据,很多时候可能就只有用几百个数据来训练模型。

 

邢磊博士也提出,很难确定多大的数据是大数据,毕竟数据量并不是越大越好,有时候可能有限的病人数据就足够了,这与具体情况和问题及数据的质量有关。

 

但是如果有一个权威大数据集,对研究者来说绝对是一件好事。但是这是一种阶梯式发展的,无法一蹴而就。跟ImageNet不同,一个权威巨型的医学数据集可能最先在中国实现而不是外国。因为政府参与力度可以较大。一般的讲,病人数据及数据的使用涉及病人隐私及权利。虽然大家都知道这个数据集对病人、医院,已及整个人类社会都有利,但是这件事情需要政府层面的政策和统筹协调。

 

邢磊教授乐观的表示,这件事情是迟早会解决,且中国的优势可能更大。

 

那么正如张勤提到的需要对2万多种疾病诊断,如果每一个都做人工智能,也是一个很大的工程,应该怎么解决?

 

邢磊博士表示,将来需要一个医学界的平台,就像谷歌的Tensorflow,但是比Tensorflow更上层,专注于影像。疾病虽然多,但是还是有许多共同之处,并不是每一个AI模型都需从头做起。人们甚至可以考虑把目前已做不了医学影像的Tensorflow添加影像处理的功能,再将这种平台开放,然后再细化到具体的各个病种。这当然还是要依靠医学界不同领域的同仁来共同努力和贡献。

 

两大趋势两大不平衡,竟让中国成为医疗AI最佳落地点


英特尔医疗李亚东介绍了全球的两大趋势成为医疗AI 的巨大驱动力:


1. 人口老龄化,特别是中国,中国2020年将达到20%65岁以上老龄化人口。55岁以上的人群占用的医疗资源在50%以上。在这样的人口老龄化的背景对人工智能的需求急剧上升。怎么样解决这样一个急需增长的需求的挑战?


2. 慢性病的挑战接踵而至。中国是慢性病问题最严重的一个区域,中国的患病人口在全球毫无疑问是领先的。


可以说,这两大趋势使得中国或成为医疗AI最大市场。

 

两大不平衡:


第一是医疗资源供需严重不平衡。不仅仅在中国,在美国也严重不足,美国去年缺30几万护士,十几万医生。中国医患关系紧张,工作压力大,医学院毕业生在三年之内50%以上转行做其他行业。好医生尤其稀缺,中国的三甲医院人满为患。怎么样解决这些问题?

 

第二是地域医疗资源不平衡。2013年三甲医院占卫计委医疗总数的0.1%,但是大量的病人是在基层,而极少数的三甲医院门庭若市,医生连上厕所的时间都没有。大城市的三甲医院跟乡村或小城市医疗实力天壤之别,即使有的地方医院设备很先进,但是医务人员软实力欠缺,拿着好设备看病看不准。对于三四线城市甚至偏远山区的人,怎么让他们也能享受到较高质量的医疗服务?

 

总之,在老龄化和慢性病的大环境下,医疗资源(人、物)供应短缺,特别是中国医疗资源供需严重不平衡,地域资源差距巨大,人工智能可能是解决这些问题的突破口。

 

未来:医疗AI解放了谁?


《人类简史》的作者在书中预言,大数据和人工智能的发展成熟,会让6成的人类失去工作。目前,医疗中一些领域AI已经达到人类水平了,是否会引起大批医疗工作者的失业?这些医疗工作者如何适应这一变革?

 

邢磊博士表示,这是一个渐进的过程,并不会突然发生,可能需要10年、15年。对于可能被取代的人,焦虑无法避免,每一次技术革命都会有类似的焦虑。这是一个适应过程,时间拉得越长,适应过程来的会越简单 。目前,大部分医疗的工作还是劳动密集型,工作量很大,知识训练要求很高,这些以后会有很大的改善。

 

但是,AI不会也不可能代替医生,即使机器在某方面比人强,但计算机毕竟是计算机,它的“思维”是人类训练出来的,无论是广度和深度都将是有限的。还是有特例,最后还是需要人做决定。 邢磊博士说:“我希望还是由人来做决定,是在机器辅助下的人的决定,而不是机器让我吃什么药,打什么针,这不人性化。”他认为机器与人的合作更好,机器没有创新,但是人会有创新。机械式的非精准医疗会渐渐消失,这是大趋势,但是把所有医疗工作完全交给机器是不太可能的,至少还有很漫长的路要走。

 

最后借用自称“人工智能人文学派支持者”张秀梅的话结束: “医生是医者仁心,不管人工智能技术再怎么发展,好医生永远都是不可替代的。资本和技术本身是没有属性的,可善可恶。但是到了医疗健康的产业资本的时候,我们要正确的三观,要把所做的事情引向治病救人的善念。

 

我们不是考虑AI是否取代医生,我们应该考虑的是怎么让AI真正帮助到人。”向每一个医疗行业用AI改善医疗服务的人致敬!



3月27日,新智元开源·生态AI技术峰会暨新智元2017创业大赛颁奖盛典隆重召开,包括“BAT”在内的中国主流 AI 公司、600多名行业精英齐聚,共同为2017中国人工智能的发展画上了浓墨重彩的一笔。


点击阅读原文,查阅文字版大会实录


访问以下链接,回顾大会盛况:

登录查看更多
0

相关内容

以领先国际的云计算、大数据和人工智能技术,打造了数字化、移动化及智能化的医学影像和肿瘤放疗平台,构建了影像智能筛查系统、防漏诊系统以及将影像深度应用于肿瘤、心血管、急腹症等单病种的人工智能辅助诊疗系统。
【德勤】中国人工智能产业白皮书,68页pdf
专知会员服务
311+阅读 · 2019年12月23日
2019中国硬科技发展白皮书 193页
专知会员服务
86+阅读 · 2019年12月13日
【大数据白皮书 2019】中国信息通信研究院
专知会员服务
138+阅读 · 2019年12月12日
计算机视觉领域的王者与荣耀丨CCF-GAIR 2018
AI研习社
4+阅读 · 2018年6月24日
一张图看懂我国AI医疗及人工智能医疗公司现状
人工智能机器人联盟
7+阅读 · 2017年9月16日
人工智能与医疗,正成为人工智能时代重头戏
机器之能
6+阅读 · 2017年7月10日
Arxiv
7+阅读 · 2018年3月21日
Arxiv
5+阅读 · 2018年1月18日
Arxiv
4+阅读 · 2017年10月30日
VIP会员
最新内容
人工智能在战场行动中的演进及伊朗案例
专知会员服务
6+阅读 · 4月18日
美AI公司Anthropic推出网络安全模型“Mythos”
专知会员服务
4+阅读 · 4月18日
【博士论文】面向城市环境的可解释计算机视觉
大语言模型的自改进机制:技术综述与未来展望
《第四代军事特种作战部队选拔与评估》
专知会员服务
3+阅读 · 4月18日
相关VIP内容
【德勤】中国人工智能产业白皮书,68页pdf
专知会员服务
311+阅读 · 2019年12月23日
2019中国硬科技发展白皮书 193页
专知会员服务
86+阅读 · 2019年12月13日
【大数据白皮书 2019】中国信息通信研究院
专知会员服务
138+阅读 · 2019年12月12日
Top
微信扫码咨询专知VIP会员