【1545】【龙哥查房-第I期-病例4】PET-CT提示肺癌多发转移,多次活检阴性的患者该怎么办?

2017 年 11 月 6 日 肿瘤资讯

吴一龙教授说MDT:

何为MDT,正规MDT对病人治疗策略有哪些影响?听听吴一龙教授如何说?


       这是龙哥查房第1期第4个病例

地点

地点:广东省人民医院伟伦楼十四楼

时间:2017-09-20 星期三15:00

专家:

吴一龙(教授、主任医师、博导)、张绪超(研究员、硕导)、杨衿记(主任医师、博导)、杨学宁(主任医师)、钟文昭(主任医师、博导)、周清(主任医师、博导)、涂海燕(副主任医师)、陈晓明(主任医师、硕导)、李伟雄(主任医师)、潘燚(副主任医师)、陈华军(副主任医师)、汪斌超(副主任医师)、王震(副主任医师)、徐崇锐(主治医师)、廖日强(主治医师)、董嵩(主治医师)、江本元(医师)、白晓燕(医师)、孙月丽(医师)、陈志勇(医师)、李安娜(医师)、郑明英(医师)、林嘉欣(医师)、白晓燕(医师)、林辉(医师)、黄婕(医师);全体在读研究生。

病例:4个肺癌病例

病例汇报人:广东省人民医院肺三科 彭晓潇医师

患者病史

1. 58岁男性,重度吸烟者,已戒烟4年。

2. 主诉:咳嗽、咳血丝痰1月余。无发热、乏力、盗汗。

3. 无肿瘤家族史。

4. 外院CT示右肺占位。

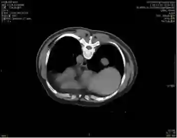
5. 2017-9-5广东省人民医院PET提示:右肺下叶肿物2.8*2.7cm,SUV 22.3,双侧颈部、双侧气管旁、隆突下、食管旁、右侧肺门淋巴结肿大,代谢升高,考虑为转移灶,右侧肾上腺转移灶,具体结果见下图:

6. 神经特异性烯醇化酶(电发光法):23.46 ng/ml ↑ ;

CA19-9(电发光法):7.35 U/ml;   非小细胞肺癌相关抗原(电发光法):1.76 ng/ml; AFP(发光法):1.89 ng/ml; CEA(发光法):2.30 ng/ml

7.目前诊断:右下肺肿瘤cT1cN3M1c IVB期(颈部淋巴结、肾上腺)

8. 本院颈部淋巴结活检病理:肉芽肿性炎,未见特殊感染证据;因肺部病灶位置深,且靠近血管,未能行经皮肺穿刺活检;行纵隔镜检查,淋巴结病理:反应性增生。

          (准备行经皮肺穿刺活检时图像)


病史小结:


1.  中年男性,既往重度吸烟者,因“咳嗽、咳血丝痰1月余”入院,NSE升高;

2.  根据PET/CT目前诊断为右下肺肿瘤cT1cN3M1c IVB期(颈部淋巴结、肾上腺)

3.  颈部淋巴结活检病理:肉芽肿性炎,纵隔镜淋巴结病理:反应性增生。


讨论要点
      下一步治疗计划:观察or手术?
病例讨论


吴一龙医生根据目前的检查结果,两次的病理结果均为良性,诊断为IV期肺肿瘤是否正确?目前应该有修正诊断。


钟文昭医生:之前遇到过一个类似的病例:PET-CT明确提示为晚期肺癌,我把最后两次病理报告也同时给核医学科教授看,他们依然认为为晚期肺癌,即便再让他们判断,也不会改变目前的诊断。同样,对于这个病例,我觉得有两种可能,一种是我们用一元论来解释目前的临床信息,包括他的巨大的颈部肿大淋巴结,右侧气管旁淋巴结还有右侧门淋巴结,以及右下肺病灶和肾上腺的病灶,用一个病来解释,这就是一个淋巴结炎,类似结节病,另外还需要排除结核。第二个情况就是要用两个病来解释,我们取活检的那两个部位确实是良性病变,但是右上肺的病灶,从形态学上看仍然不能排除恶性,伴随或者不伴随肾上腺转移,用两个病来解释。但是我仔细看了患者的PET-CT,该患者很多部位包括肠道和骨都有可能是生理性的高摄取,我个人倾向于:由于目前已经进行了两次活检,可以先观察一个月或者两个月再看它的动态变化。如果还是没有变化可以继续观察,若有变化可考虑再次活检,取材部位考虑右下肺病灶或肾上腺病灶。


杨学宁医生:我觉得应该要考虑请风湿免疫科医师会诊,我之前见过类似的病例,他有可能是免疫功能紊乱相关的疾病。我们对此类疾病的经验较少,他有可能并不是肿瘤,而是非肿瘤相关的疾病。而作为肿瘤科医生,我们看到类似的疾病,可能会考虑为是肿瘤性的疾病,例如淋巴瘤等,但是现在没有肿瘤的病理证据,而患者又有多发淋巴结肿大,肺部病灶不一定是淋巴系统问题,也不能完全排除结节病。但是淋巴瘤也有相应的诊断标准,淋巴结病理也没提到相关的问题。因此我想是否有其它的可能,患者也没做免疫功能方面的进一步检测,我的建议是请风湿免疫科医师会诊了解是否有可能有非肿瘤的免疫性疾病。

周清医生:这个病人没有正式请风湿免疫科会诊,但我们电话咨询风湿免疫科医师意见,他们认为先要排除肺癌,因为风湿免疫性疾病很多都没有诊断金标准,而是结合患者的症状、检查结果综合判断。而目前我们取到的淋巴结病理都没有恶性疾病的证据,但患者肿瘤标志物升高,其它很多病灶也没有进行活检,因此也不能完全排除恶性疾病。


杨衿记医生:结合这个患者有三个很简单的宗旨:第一点患者主诉,患者有咳嗽、咳血丝痰;第二点肿瘤标志物,CA19-9和非小细胞肺癌相关抗原不高,但是NSE升高,正常值为16,该患者23;第三点:肾上腺以及颈部、肺部,纵隔、肺门淋巴结代谢同时升高,用结核病来解释我认为很牵强,以上三个疑点都需要重视。钟主任提到的随访复查是一个策略。但是如果现在患者的血丝痰经过内科治疗仍然没有好转,是不是可以考虑进行支气管镜检查?另外关于肺穿刺,以前我们认为1cm是挑战极限,没办法做,但现在随着技术的提高,1cm的病灶都能够取到,2cm的病灶也更可能能够取到。气管镜看到可疑点,刷检、盲检、灌洗液,是一个方法,并不是气管镜下非要看到肿瘤才能进行活检,因为气管镜可以进行盲检,活检获得的很多标本可以进行病原体、微生物的检测。因此行气管镜检查对患者的诊断可能也有帮助。所以右下肺的病变可以考虑行微创检查,如果还是阴性,可以采用钟主任的策略,观察一个月之后再复查,看病灶如何演变,有没有再跟进的可能。第二个策略我们请了很多相关科室,包括外科、肺癌外科、内科,风湿科,也需要参考呼吸科和肺结核感染科的意见。


潘燚医生:首先该患者有症状,因此我不太赞同让患者回去观察。若是没有症状,可能可以让患者过段时间再过来随访。刚才病例汇报最后一点说手术,手术的目的是想取得更多的病理?是否可能比局部淋巴结活检取得组织更大?我觉得活检已经是取了很多的组织进行病理诊断,肺部病灶是不是性质跟其它病灶不同?颈部淋巴结、纵隔淋巴结考虑良性,肺部病灶考虑恶性,我认为再做一个手术没有意义。PET-CT和形态学表现是很一致的,那再做一个手术的意义在哪里?颈部淋巴结再取一次活检,可能还是阴性的结果,意义不大。如果从形态学看,肺部病灶和其它病灶的性质一样,可以用一元论解释,目前没有恶性肿瘤的证据。CT上肺部病灶的形态并不规则,也需要注意。


周清医生:我认为对于这个患者最大的问题是我们现在无法确定到底是用一元论解释还是的确存在两个疾病,肺部病灶的性质和纵隔淋巴结以及颈部淋巴结可能是不同的,因为肺部病灶的形态、PET-CT的结果,以及肿瘤标志物的升高,也支持可能是肺癌的诊断,如果选择观察随访是不太稳妥的。但之前尝试了肺部病灶穿刺活检,但的确穿刺风险太大,因此,能否请外科帮助明确该病灶的性质。


董嵩医生:当时是我对患者进行了淋巴结活检和纵隔镜的检查,这两个病灶的肉眼观相似,质地比较硬,边界很光滑,表面是有一层类似包膜样的组织包裹,与周围组织分离,呈灰白色。从影像学上来看,肺内的病灶沿支气管走行,由于该患者多发淋巴结肿大,是否有可能影像学中看到的肺部病灶是由肺内的肿大淋巴结形成的?因为肺部病灶边界非常光滑,类圆形,之前我们做手术过程中也发现有些良性疾病的腋间淋巴结或者段淋巴结的肉眼观和这个患者的相似,是否有可能是这种情况?


杨衿记医生:但若是肺内淋巴结,如何解释血痰的原因?一般情况下,患者出现血痰,多是因为支气管黏膜,毛细管破裂, 如果行气管镜检查,灌洗液可以提供一定的依据。


谢松喜医生:很多风湿免疫性疾病淋巴结都表现为反应性增生。这个患者颈部淋巴结、纵隔淋巴结和肺门淋巴结肿大,但对于肾上腺的病灶比较难解释,肾上腺的病灶也可能是良性的腺瘤,跟前面提到的淋巴结反应性增生没关系。


杨学宁医生:我们在临床上的确遇到10%-20%的患者都存在肾上腺的小结节。


吴一龙医生这个病例的PET-CT有一个特点,右肺下叶的病灶并不大,2.7*2.8cm,但是代谢非常高,高达22.3。这种小病灶高代谢的病灶,在肺癌患者中比较少见。尤其是代谢值大于20但病灶小的情况很少见。我同意谢主任刚的意见,如果该患者没有肾上腺的病灶,我认为诊断可以到此为止。我们可以看到,肺内的病灶有可能是肺内的淋巴结,我们已经对最大的淋巴结进行了活检,为良性病灶。但是,由于该患者多了肾上腺的病灶,用刚才的说法无法解释,肾上腺不属于淋巴系统。结合既往我们遇到的病例,我们现在有两个办法,我认为对于该患者,观察是一个办法,但是如果漏诊会比较麻烦,如果观察一段时间,下次过来复查提示病灶稍增大,我们如何处理?因此我认为现在我们要明确诊断,需要取病理活检,但是是取肺部病灶还是肾上腺的病灶?


钟文昭医生:根据患者的影像学表现和病理结果,我认为患者很大可能都是良性病变。从功能损失的角度,取肾上腺病灶影响较小,对于肺结节,应该尽量避免对良性病灶做肺叶切除,我认为若要取病理,则取肾上腺病灶,但是肾上腺良性疾病很多。


涂海燕医生:对于该患者我认为还是需要进行气管镜的检查,另外需要去结核病医院进一步排除是否有结核。


杨学宁医生:该患者是结核的可能性不大。


吴一龙医生如果按照你们考虑的结核病来解释,必须是两个病,肾上腺是腺瘤,其它的病灶是结核所致。但是我们不排除颈部淋巴结是结核,胸部病变是肺癌淋巴结转移并肾上转移,或者早期肺癌并肾上腺腺瘤。对于这个患者,基于刚才的讨论,我们首先进行支气管镜检查,明确是否有结核病,另外还要等待之前两个活检病理的特殊染色结果。


关于你上病例,您怎么看?想跟全国肿瘤医生一起讨论交流吗?

赶紧扫描下方二维码,添加工作人员微信,加入肿瘤医生交流群

《龙哥查房》栏目简介:【1539】龙哥查房|吴一龙院长肺癌查房大连载(预告篇)

《龙哥查房》第1期第1个病例:【龙哥查房-第I期-病例1】合并COPD的肺癌患者气促加重,如何鉴别诊断:AE COPD还是肿瘤进展?

《龙哥查房》第1期第2个病例:【龙哥查房-第I期-病例2】新药临床试验异军突起的时代,如何把控标准治疗与尝试新药的界线?

《龙哥查房》第1期第3个病例:【龙哥查房-第I期-病例3】肺原发癌?or 转移癌?

更多精彩病例,请点击下方阅读原文查看! 

登录查看更多
0

相关内容

专知会员服务
29+阅读 · 2020年3月6日
广东疾控中心《新型冠状病毒感染防护》,65页pdf
专知会员服务
19+阅读 · 2020年1月26日
【综述】智能医疗综述,48页论文详述医学AI最新进展
专知会员服务
71+阅读 · 2019年9月1日
【Blood】去甲基化治疗失败后,MDS应如何治疗?
浅谈外泌体抑制剂——鞘磷脂酶抑制剂GW4869
外泌体之家
8+阅读 · 2018年12月19日
Arxiv
6+阅读 · 2018年10月3日
Arxiv
4+阅读 · 2018年6月1日
VIP会员
最新内容
《第四代军事特种作战部队选拔与评估》
专知会员服务
0+阅读 · 18分钟前
不对称优势上升:自主系统如何强化海上拒止
专知会员服务
0+阅读 · 50分钟前
《人工智能赋能电磁战》(报告)
专知会员服务
2+阅读 · 4月17日
【CMU博士论文】迈向可扩展的开放世界三维感知
Top
微信扫码咨询专知VIP会员