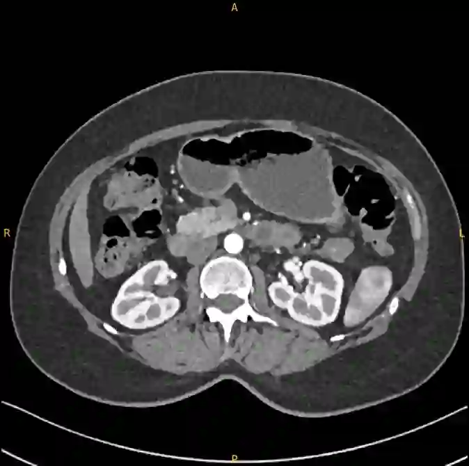
Pancreatic ductal adenocarcinoma (PDAC), one of the deadliest solid malignancies, is often detected at a late and inoperable stage. Retrospective reviews of prediagnostic CT scans, when conducted by expert radiologists aware that the patient later developed PDAC, frequently reveal lesions that were previously overlooked. To help detecting these lesions earlier, we developed an automated system named ePAI (early Pancreatic cancer detection with Artificial Intelligence). It was trained on data from 1,598 patients from a single medical center. In the internal test involving 1,009 patients, ePAI achieved an area under the receiver operating characteristic curve (AUC) of 0.939-0.999, a sensitivity of 95.3%, and a specificity of 98.7% for detecting small PDAC less than 2 cm in diameter, precisely localizing PDAC as small as 2 mm. In an external test involving 7,158 patients across 6 centers, ePAI achieved an AUC of 0.918-0.945, a sensitivity of 91.5%, and a specificity of 88.0%, precisely localizing PDAC as small as 5 mm. Importantly, ePAI detected PDACs on prediagnostic CT scans obtained 3 to 36 months before clinical diagnosis that had originally been overlooked by radiologists. It successfully detected and localized PDACs in 75 of 159 patients, with a median lead time of 347 days before clinical diagnosis. Our multi-reader study showed that ePAI significantly outperformed 30 board-certified radiologists by 50.3% (P < 0.05) in sensitivity while maintaining a comparable specificity of 95.4% in detecting PDACs early and prediagnostic. These findings suggest its potential of ePAI as an assistive tool to improve early detection of pancreatic cancer.


翻译:胰腺导管腺癌(PDAC)作为致死率最高的实体恶性肿瘤之一,常在晚期且无法手术的阶段才被检出。回顾性分析诊断前的CT扫描时,若由知晓患者后续确诊PDAC的资深放射科医师审阅,常可发现先前被忽略的病灶。为助力更早发现这些病灶,我们开发了一套名为ePAI(基于人工智能的早期胰腺癌检测)的自动化系统。该系统使用来自单一医疗中心的1,598名患者数据进行训练。在包含1,009名患者的内部测试中,ePAI在检测直径小于2厘米的小型PDAC时,受试者工作特征曲线下面积(AUC)达0.939-0.999,灵敏度为95.3%,特异度为98.7%,并能精确定位小至2毫米的PDAC。在涵盖6个中心、7,158名患者的外部测试中,ePAI的AUC为0.918-0.945,灵敏度达91.5%,特异度为88.0%,可精确定位小至5毫米的PDAC。尤为重要的是,ePAI在临床诊断前3至36个月获取、曾被放射科医师漏诊的诊断前CT扫描中成功检测出PDAC。在159名患者中,系统成功检测并定位了75例PDAC,中位领先临床诊断时间达347天。我们的多阅片者研究表明,在早期及诊断前PDAC检测中,ePAI的灵敏度显著优于30名具备执业资格的放射科医师50.3%(P < 0.05),同时保持95.4%的可比特异度。这些发现表明ePAI具备作为辅助工具提升胰腺癌早期检测能力的潜力。

0
下载
关闭预览

相关内容

DAC:Design Automation Conference。 Explanation:设计自动化会议。 Publisher:ACM。 SIT: https://dblp.uni-trier.de/db/conf/dac/
Cancer Cell综述|AI用于肿瘤学中的多模态数据集成
专知会员服务
35+阅读 · 2022年10月13日
Nat. Commun. | 基于基因表达的癌症药物敏感性预测
专知会员服务
11+阅读 · 2022年10月9日
深度学习在癌症诊断、预后和治疗选择中的应用
专知会员服务
56+阅读 · 2022年6月18日
专知会员服务
50+阅读 · 2021年8月28日
肿瘤微环境评分: 预测肿瘤免疫治疗疗效的新方法
基于深度学习的肿瘤图像分割研究取得进展
中科院之声
17+阅读 · 2017年9月17日
国家自然科学基金
0+阅读 · 2015年12月31日
国家自然科学基金
0+阅读 · 2015年12月31日
国家自然科学基金
0+阅读 · 2015年12月31日
国家自然科学基金
1+阅读 · 2015年12月31日
国家自然科学基金
2+阅读 · 2014年12月31日
国家自然科学基金
0+阅读 · 2014年12月31日
VIP会员
最新内容
《人工智能赋能电磁战》(报告)
专知会员服务
1+阅读 · 今天14:47
【CMU博士论文】迈向可扩展的开放世界三维感知
专知会员服务
1+阅读 · 今天14:06
前馈式三维场景建模
专知会员服务
1+阅读 · 今天14:03
(译文)认知战:以士兵为目标,塑造战略
专知会员服务
3+阅读 · 今天3:12
相关基金
国家自然科学基金
0+阅读 · 2015年12月31日
国家自然科学基金
0+阅读 · 2015年12月31日
国家自然科学基金
0+阅读 · 2015年12月31日
国家自然科学基金
1+阅读 · 2015年12月31日
国家自然科学基金
2+阅读 · 2014年12月31日
国家自然科学基金
0+阅读 · 2014年12月31日
Top
微信扫码咨询专知VIP会员