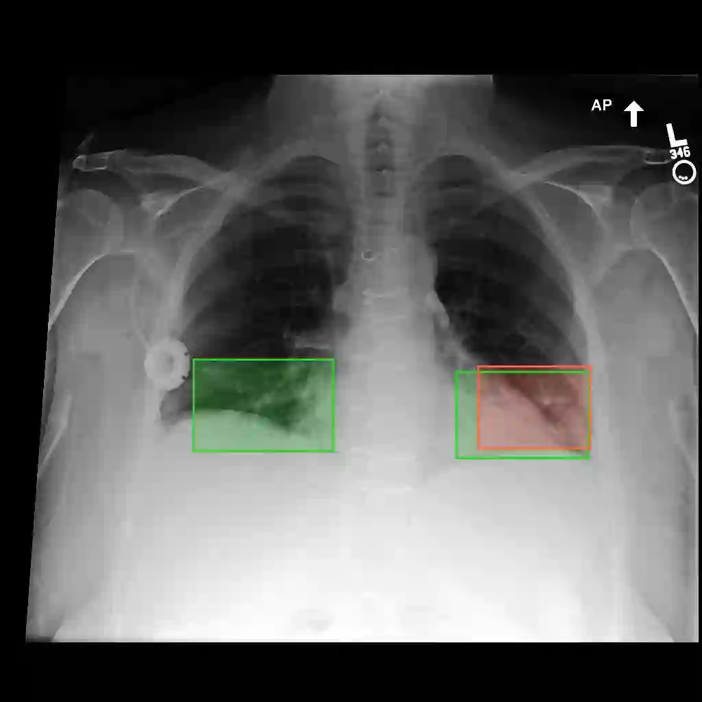
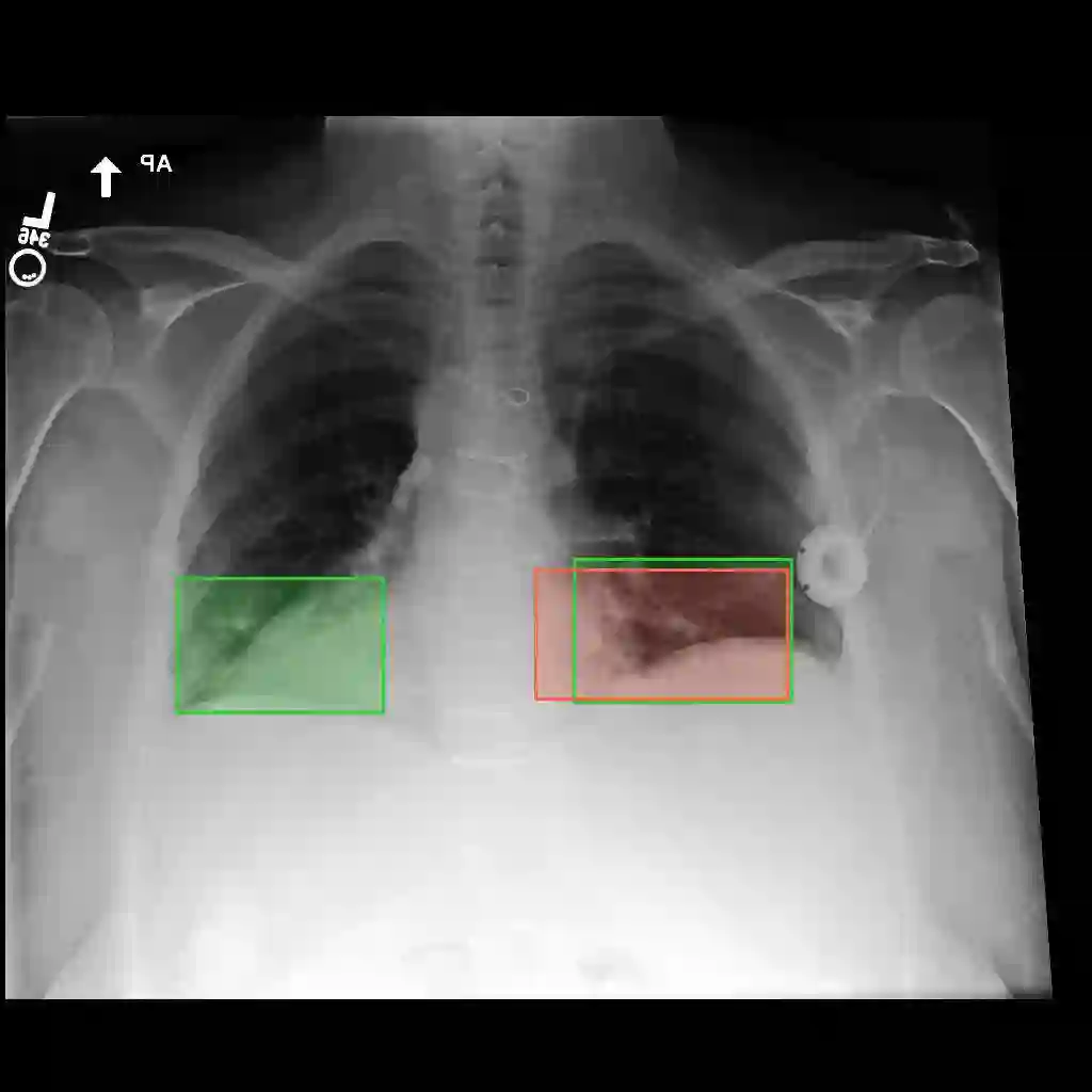
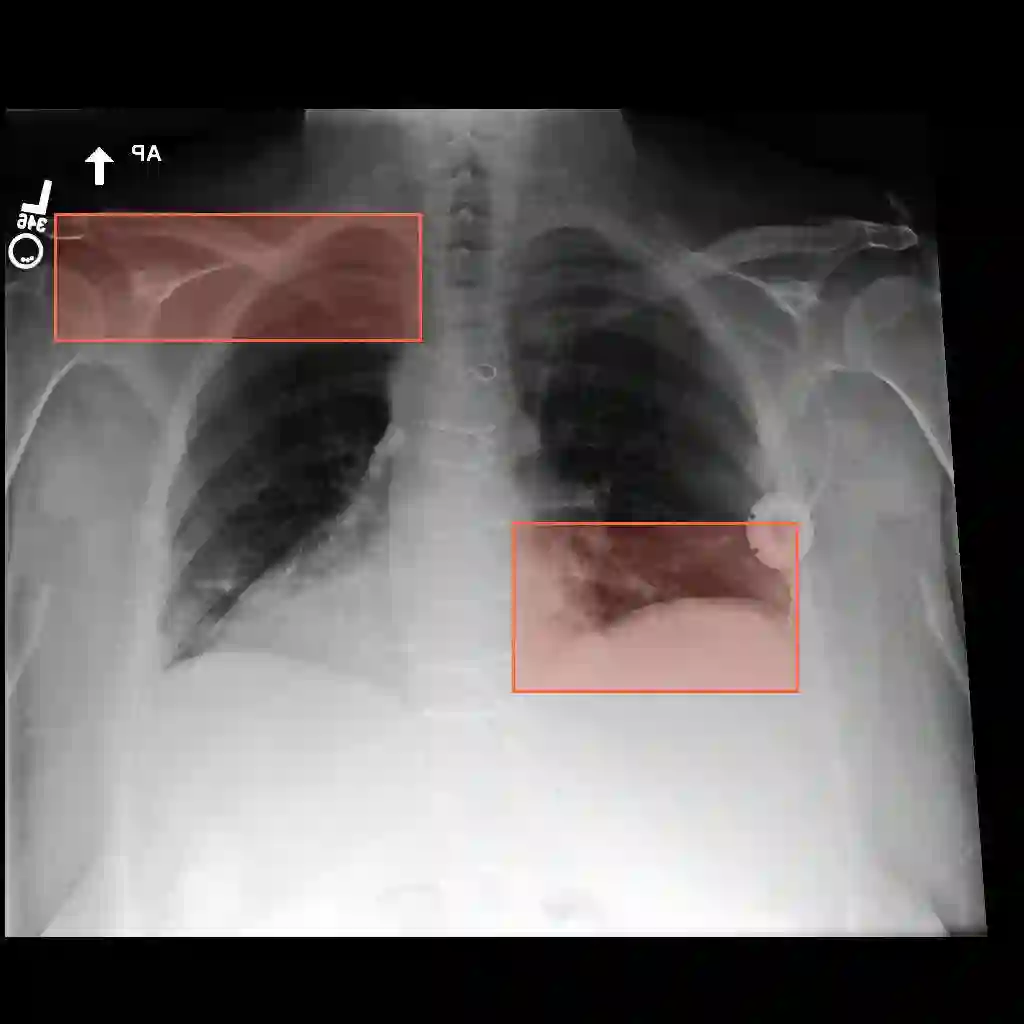
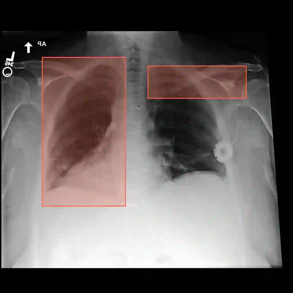
Multimodal medical large language models have shown impressive progress in chest X-ray interpretation but continue to face challenges in spatial reasoning and anatomical understanding. Although existing grounding techniques improve overall performance, they often fail to establish a true anatomical correspondence, resulting in incorrect anatomical understanding in the medical domain. To address this gap, we introduce AnatomiX, a multitask multimodal large language model explicitly designed for anatomically grounded chest X-ray interpretation. Inspired by the radiological workflow, AnatomiX adopts a two stage approach: first, it identifies anatomical structures and extracts their features, and then leverages a large language model to perform diverse downstream tasks such as phrase grounding, report generation, visual question answering, and image understanding. Extensive experiments across multiple benchmarks demonstrate that AnatomiX achieves superior anatomical reasoning and delivers over 25% improvement in performance on anatomy grounding, phrase grounding, grounded diagnosis and grounded captioning tasks compared to existing approaches. Code and pretrained model are available at https://github.com/aneesurhashmi/anatomix


翻译:多模态医学大语言模型在胸部X光片解读方面已展现出显著进展,但在空间推理与解剖学理解方面仍面临挑战。尽管现有定位技术提升了整体性能,但其往往未能建立真正的解剖学对应关系,导致在医学领域产生错误的解剖学理解。为弥补这一不足,我们提出了AnatomiX——一个专为基于解剖学定位的胸部X光片解读而设计的显式多任务多模态大语言模型。受放射科工作流程启发,AnatomiX采用两阶段方法:首先识别解剖结构并提取其特征,随后利用大语言模型执行多样化的下游任务,如短语定位、报告生成、视觉问答及图像理解。在多个基准测试上的大量实验表明,相较于现有方法,AnatomiX实现了卓越的解剖学推理能力,并在解剖定位、短语定位、基于定位的诊断及基于定位的描述任务上取得了超过25%的性能提升。代码与预训练模型发布于https://github.com/aneesurhashmi/anatomix

0
下载
关闭预览

相关内容

从感知到推理:深度思考赋能多模态大语言模型
专知会员服务
25+阅读 · 2025年11月19日
大规模视觉-语言模型的基准、评估、应用与挑战
专知会员服务
18+阅读 · 2025年2月10日
【NeurIPS2023】大型语言模型是视觉推理协调器
专知会员服务
30+阅读 · 2023年10月24日
LLM in Medical Domain: 大语言模型在医学领域的应用
专知会员服务
103+阅读 · 2023年6月17日
视觉Transformer预训练模型的胸腔X线影像多标签分类
专知会员服务
14+阅读 · 2022年7月29日
【工大SCIR笔记】多模态信息抽取简述
深度学习自然语言处理
19+阅读 · 2020年4月3日
专家报告|深度学习+图像多模态融合
中国图象图形学报
12+阅读 · 2019年10月23日
R语言机器学习:xgboost的使用及其模型解释
R语言中文社区
11+阅读 · 2019年5月6日
这可能是「多模态机器学习」最通俗易懂的介绍
计算机视觉life
113+阅读 · 2018年12月20日
国家自然科学基金
5+阅读 · 2015年12月31日
国家自然科学基金
3+阅读 · 2015年12月31日
国家自然科学基金
0+阅读 · 2015年12月31日
国家自然科学基金
0+阅读 · 2015年12月31日
国家自然科学基金
3+阅读 · 2015年12月31日
国家自然科学基金
4+阅读 · 2014年12月31日
国家自然科学基金
13+阅读 · 2014年12月31日
国家自然科学基金
3+阅读 · 2014年12月31日
国家自然科学基金
0+阅读 · 2014年12月31日
VIP会员
最新内容
高效视频扩散模型:进展与挑战
专知会员服务
0+阅读 · 59分钟前
乌克兰前线的五项创新
专知会员服务
4+阅读 · 今天6:14
 军事通信系统与设备的技术演进综述
专知会员服务
3+阅读 · 今天5:59
《北约标准:医疗评估手册》174页
专知会员服务
3+阅读 · 今天5:51
《提升生成模型的安全性与保障》博士论文
专知会员服务
3+阅读 · 今天5:47
美国当前高超音速导弹发展概述
专知会员服务
4+阅读 · 4月19日
无人机蜂群建模与仿真方法
专知会员服务
12+阅读 · 4月19日
澳大利亚发布《国防战略(2026年)》
专知会员服务
6+阅读 · 4月19日
相关基金
国家自然科学基金
5+阅读 · 2015年12月31日
国家自然科学基金
3+阅读 · 2015年12月31日
国家自然科学基金
0+阅读 · 2015年12月31日
国家自然科学基金
0+阅读 · 2015年12月31日
国家自然科学基金
3+阅读 · 2015年12月31日
国家自然科学基金
4+阅读 · 2014年12月31日
国家自然科学基金
13+阅读 · 2014年12月31日
国家自然科学基金
3+阅读 · 2014年12月31日
国家自然科学基金
0+阅读 · 2014年12月31日
Top
微信扫码咨询专知VIP会员