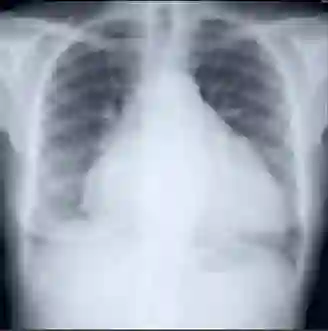
Thoracic disease detection from chest radiographs using deep learning methods has been an active area of research in the last decade. Most previous methods attempt to focus on the diseased organs of the image by identifying spatial regions responsible for significant contributions to the model's prediction. In contrast, expert radiologists first locate the prominent anatomical structures before determining if those regions are anomalous. Therefore, integrating anatomical knowledge within deep learning models could bring substantial improvement in automatic disease classification. This work proposes an anatomy-aware attention-based architecture named Anatomy X-Net, that prioritizes the spatial features guided by the pre-identified anatomy regions. We leverage a semi-supervised learning method using the JSRT dataset containing organ-level annotation to obtain the anatomical segmentation masks (for lungs and heart) for the NIH and CheXpert datasets. The proposed Anatomy X-Net uses the pre-trained DenseNet-121 as the backbone network with two corresponding structured modules, the Anatomy Aware Attention (AAA) and Probabilistic Weighted Average Pooling (PWAP), in a cohesive framework for anatomical attention learning. Our proposed method sets new state-of-the-art performance on the official NIH test set with an AUC score of 0.8439, proving the efficacy of utilizing the anatomy segmentation knowledge to improve the thoracic disease classification. Furthermore, the Anatomy X-Net yields an averaged AUC of 0.9020 on the Stanford CheXpert dataset, improving on existing methods that demonstrate the generalizability of the proposed framework.


翻译:过去十年来,利用深层学习方法从胸腔射线仪中检测血清疾病一直是研究的一个积极领域。以往方法大多试图通过确定对模型预测做出重要贡献的空间区域,重点研究图像中的疾病器官。相比之下,专家放射学家在确定这些区域是否异常之前首先找到著名的解剖结构。因此,将解剖学知识纳入深层学习模型可以大大改进自动疾病分类。这项工作提出了一个以解剖学认识为主的架构,名为Anatomy X-Net,该架构以预先确定的解剖区域为指导,将空间特征列为优先事项。我们利用含有对模型预测做出重要贡献的空间区域。相比之下,专家放射学家首先在确定这些区域是否异常之前,先找到显要的解剖结构结构结构结构结构结构。我们利用一个半监督性学习方法,使用含有器官级说明的JSRT数据集,为NIH和CheXperpet数据集,将预先训练的DenseNet-121作为主干网,有两个相应的结构模块,即解剖意识关注(AAAAAAA)和预测测测度的网络结构图,用半性网络的学习方法,用Anacial Stal- Stal-I-Servial AStudeal Stal AL化的A-I-I Levent Axxxxxx 演示演示演示图图图表,用一个测试工具,用一个测试工具,用一个测试工具,用一个SUA-SUDUDUA-SUDUA-S-S-SBI-SUDUDUDUDUDUDUDUDUDUDUDUDUDUD 的常规测试工具,用来显示一个S 一种测试工具,用来显示一个测试系统,用来进行一个测试的常规学系统。

1
下载
关闭预览

相关内容

100+篇《自监督学习(Self-Supervised Learning)》论文最新合集
专知会员服务
167+阅读 · 2020年3月18日
Stabilizing Transformers for Reinforcement Learning
专知会员服务
60+阅读 · 2019年10月17日
Hierarchically Structured Meta-learning
CreateAMind
27+阅读 · 2019年5月22日
动物脑的好奇心和强化学习的好奇心
CreateAMind
10+阅读 · 2019年1月26日
强化学习的Unsupervised Meta-Learning
CreateAMind
18+阅读 · 2019年1月7日
Unsupervised Learning via Meta-Learning
CreateAMind
44+阅读 · 2019年1月3日
Disentangled的假设的探讨
CreateAMind
9+阅读 · 2018年12月10日
disentangled-representation-papers
CreateAMind
26+阅读 · 2018年9月12日
ResNet, AlexNet, VGG, Inception:各种卷积网络架构的理解
全球人工智能
20+阅读 · 2017年12月17日
【推荐】ResNet, AlexNet, VGG, Inception:各种卷积网络架构的理解
机器学习研究会
20+阅读 · 2017年12月17日
VIP会员
最新内容
探秘Palantir:驱动美情报的科技巨头
专知会员服务
0+阅读 · 19分钟前
《美国海军军事海运司令部 2026年手册》
专知会员服务
0+阅读 · 28分钟前
《人工智能使能系统可靠性框架》
专知会员服务
1+阅读 · 今天2:28
2026“人工智能+”行业发展蓝皮书(附下载)
专知会员服务
10+阅读 · 4月26日
《强化学习数学基础》
专知会员服务
7+阅读 · 4月26日
“Maven计划”的发展演变之“Maven智能系统”应用
相关VIP内容
100+篇《自监督学习(Self-Supervised Learning)》论文最新合集
专知会员服务
167+阅读 · 2020年3月18日
Stabilizing Transformers for Reinforcement Learning
专知会员服务
60+阅读 · 2019年10月17日
Top
微信扫码咨询专知VIP会员