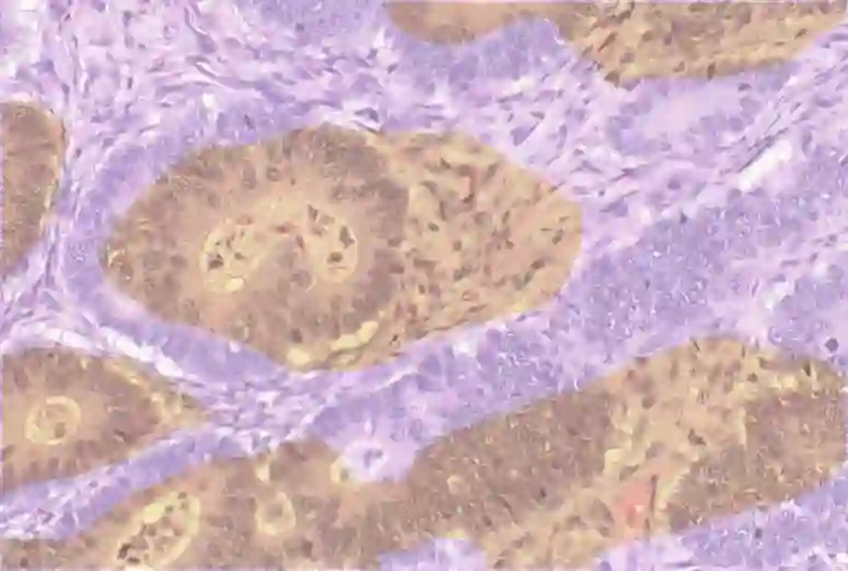
Image segmentation is a fundamental task in image analysis and clinical practice. The current state-of-the-art techniques are based on U-shape type encoder-decoder networks with skip connections, called U-Net. Despite the powerful performance reported by existing U-Net type networks, they suffer from several major limitations. Issues include the hard coding of the receptive field size, compromising the performance and computational cost, as well as the fact that they do not account for inherent noise in the data. They have problems associated with discrete layers, and do not offer any theoretical underpinning. In this work we introduce continuous U-Net, a novel family of networks for image segmentation. Firstly, continuous U-Net is a continuous deep neural network that introduces new dynamic blocks modelled by second order ordinary differential equations. Secondly, we provide theoretical guarantees for our network demonstrating faster convergence, higher robustness and less sensitivity to noise. Thirdly, we derive qualitative measures to tailor-made segmentation tasks. We demonstrate, through extensive numerical and visual results, that our model outperforms existing U-Net blocks for several medical image segmentation benchmarking datasets.


翻译:图像分割是图像分析和临床实践的一项基本任务。 目前的最先进的技术基于U- shape 类型编码器- 编码器网络,称为U- Net。 尽管现有的 U-Net 类型网络报告了强大的性能,但它们受到若干重大限制。 问题包括: 接收字段大小的硬编码, 影响性能和计算成本, 以及它们没有考虑到数据中固有的噪音。 它们与离散层有问题, 没有提供任何理论依据。 在这项工作中, 我们引入了连续的 U- Net, 一个图像分割网络的新组合。 首先, 持续的 U- Net是一个连续的深神经网络, 以第二顺序普通差异方程式为模型, 引入新的动态区块。 第二, 我们为我们的网络提供理论保证, 显示更快的趋同性、 更高强度和较少对噪音的敏感度。 第三, 我们通过广泛的数字和视觉结果, 我们通过模型超越了现有的一些医学图像分割基准数据集的 U-Net 。

0
下载
关闭预览

相关内容

Keras François Chollet 《Deep Learning with Python 》, 386页pdf
专知会员服务
164+阅读 · 2019年10月12日
[综述]深度学习下的场景文本检测与识别
专知会员服务
78+阅读 · 2019年10月10日
【SIGGRAPH2019】TensorFlow 2.0深度学习计算机图形学应用
专知会员服务
41+阅读 · 2019年10月9日
VCIP 2022 Call for Special Session Proposals
CCF多媒体专委会
1+阅读 · 2022年4月1日
Hierarchically Structured Meta-learning
CreateAMind
27+阅读 · 2019年5月22日
Transferring Knowledge across Learning Processes
CreateAMind
29+阅读 · 2019年5月18日
Unsupervised Learning via Meta-Learning
CreateAMind
44+阅读 · 2019年1月3日
A Technical Overview of AI & ML in 2018 & Trends for 2019
待字闺中
18+阅读 · 2018年12月24日
disentangled-representation-papers
CreateAMind
26+阅读 · 2018年9月12日
vae 相关论文 表示学习 1
CreateAMind
12+阅读 · 2018年9月6日
【推荐】ResNet, AlexNet, VGG, Inception:各种卷积网络架构的理解
机器学习研究会
20+阅读 · 2017年12月17日
【推荐】RNN/LSTM时序预测
机器学习研究会
25+阅读 · 2017年9月8日
【推荐】全卷积语义分割综述
机器学习研究会
19+阅读 · 2017年8月31日
国家自然科学基金
1+阅读 · 2015年12月31日
国家自然科学基金
0+阅读 · 2015年12月31日
国家自然科学基金
0+阅读 · 2013年12月31日
国家自然科学基金
0+阅读 · 2013年12月31日
国家自然科学基金
0+阅读 · 2013年12月31日
国家自然科学基金
0+阅读 · 2013年12月31日
国家自然科学基金
0+阅读 · 2012年12月31日
国家自然科学基金
0+阅读 · 2009年12月31日
国家自然科学基金
0+阅读 · 2009年12月31日
国家自然科学基金
0+阅读 · 2008年12月31日
Arxiv
0+阅读 · 2023年3月22日
Arxiv
10+阅读 · 2021年11月3日
Arxiv
14+阅读 · 2021年3月10日
Arxiv
10+阅读 · 2021年2月26日
Arxiv
27+阅读 · 2020年6月19日
VIP会员
最新内容
人工智能赋能无人机:俄乌战争(万字长文)
专知会员服务
5+阅读 · 今天6:56
国外海军作战管理系统与作战训练系统
专知会员服务
2+阅读 · 今天4:16
美军条令《海军陆战队规划流程(2026版)》
专知会员服务
10+阅读 · 今天3:36
《压缩式分布式交互仿真标准》120页
专知会员服务
4+阅读 · 今天3:21
《电子战数据交换模型研究报告》
专知会员服务
6+阅读 · 今天3:13
《基于Transformer的异常舰船导航识别与跟踪》80页
《低数据领域军事目标检测模型研究》
专知会员服务
6+阅读 · 今天2:37
【CMU博士论文】物理世界的视觉感知与深度理解
专知会员服务
10+阅读 · 4月22日
相关资讯
VCIP 2022 Call for Special Session Proposals
CCF多媒体专委会
1+阅读 · 2022年4月1日
Hierarchically Structured Meta-learning
CreateAMind
27+阅读 · 2019年5月22日
Transferring Knowledge across Learning Processes
CreateAMind
29+阅读 · 2019年5月18日
Unsupervised Learning via Meta-Learning
CreateAMind
44+阅读 · 2019年1月3日
A Technical Overview of AI & ML in 2018 & Trends for 2019
待字闺中
18+阅读 · 2018年12月24日
disentangled-representation-papers
CreateAMind
26+阅读 · 2018年9月12日
vae 相关论文 表示学习 1
CreateAMind
12+阅读 · 2018年9月6日
【推荐】ResNet, AlexNet, VGG, Inception:各种卷积网络架构的理解
机器学习研究会
20+阅读 · 2017年12月17日
【推荐】RNN/LSTM时序预测
机器学习研究会
25+阅读 · 2017年9月8日
【推荐】全卷积语义分割综述
机器学习研究会
19+阅读 · 2017年8月31日
相关论文
相关基金
国家自然科学基金
1+阅读 · 2015年12月31日
国家自然科学基金
0+阅读 · 2015年12月31日
国家自然科学基金
0+阅读 · 2013年12月31日
国家自然科学基金
0+阅读 · 2013年12月31日
国家自然科学基金
0+阅读 · 2013年12月31日
国家自然科学基金
0+阅读 · 2013年12月31日
国家自然科学基金
0+阅读 · 2012年12月31日
国家自然科学基金
0+阅读 · 2009年12月31日
国家自然科学基金
0+阅读 · 2009年12月31日
国家自然科学基金
0+阅读 · 2008年12月31日
Top
微信扫码咨询专知VIP会员