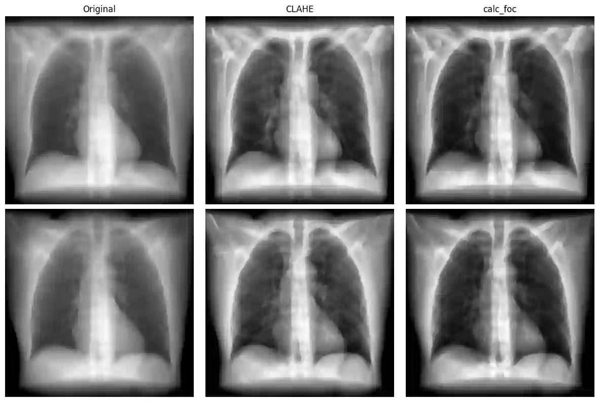
Coronary artery calcification (CAC) is a strong predictor of cardiovascular events, with CT-based Agatston scoring widely regarded as the clinical gold standard. However, CT is costly and impractical for large-scale screening, while chest X-rays (CXRs) are inexpensive but lack reliable ground truth labels, constraining deep learning development. Digitally reconstructed radiographs (DRRs) offer a scalable alternative by projecting CT volumes into CXR-like images while inheriting precise labels. In this work, we provide the first systematic evaluation of DRRs as a surrogate training domain for CAC detection. Using 667 CT scans from the COCA dataset, we generate synthetic DRRs and assess model capacity, super-resolution fidelity enhancement, preprocessing, and training strategies. Lightweight CNNs trained from scratch outperform large pretrained networks; pairing super-resolution with contrast enhancement yields significant gains; and curriculum learning stabilises training under weak supervision. Our best configuration achieves a mean AUC of 0.754, comparable to or exceeding prior CXR-based studies. These results establish DRRs as a scalable, label-rich foundation for CAC detection, while laying the foundation for future transfer learning and domain adaptation to real CXRs.


翻译:冠状动脉钙化(CAC)是心血管事件的重要预测因子,其中基于CT的Agatston评分被广泛视为临床金标准。然而,CT检查成本高昂且不适用于大规模筛查,而胸部X射线(CXR)虽成本低廉,却缺乏可靠的基准真值标签,这限制了深度学习技术的发展。数字重建放射影像(DRR)通过将CT体数据投影为类CXR图像,同时继承精确的标注信息,提供了一种可扩展的替代方案。本研究首次系统评估了DRR作为CAC检测替代训练域的有效性。利用COCA数据集的667例CT扫描,我们生成合成DRR图像,并评估模型容量、超分辨率保真度增强、预处理及训练策略。实验表明:从头训练的轻量级CNN优于大型预训练网络;超分辨率与对比度增强结合可带来显著性能提升;课程学习能在弱监督下稳定训练过程。我们的最优配置实现了0.754的平均AUC值,达到或超越了先前基于CXR的研究水平。这些结果确立了DRR作为可扩展、标注丰富的CAC检测基础,同时为未来向真实CXR的迁移学习与域适应研究奠定了基础。

0
下载
关闭预览

相关内容

【CVPR2023】基于动态图增强对比学习的胸部X光报告生成
专知会员服务
21+阅读 · 2023年3月23日
视觉Transformer预训练模型的胸腔X线影像多标签分类
专知会员服务
14+阅读 · 2022年7月29日
深度学习在CTR预估中的应用 | CTR深度模型大盘点
PaperWeekly
15+阅读 · 2018年4月11日
深度学习目标检测模型全面综述:Faster R-CNN、R-FCN和SSD
深度学习世界
10+阅读 · 2017年9月18日
IJCAI | Cascade Dynamics Modeling with Attention-based RNN
KingsGarden
13+阅读 · 2017年7月16日
国家自然科学基金
0+阅读 · 2015年12月31日
国家自然科学基金
0+阅读 · 2015年12月31日
国家自然科学基金
0+阅读 · 2015年12月31日
国家自然科学基金
0+阅读 · 2015年12月31日
国家自然科学基金
0+阅读 · 2014年12月31日
国家自然科学基金
1+阅读 · 2014年12月31日
VIP会员
最新内容
国外海军作战管理系统与作战训练系统
专知会员服务
0+阅读 · 今天4:16
美军条令《海军陆战队规划流程(2026版)》
专知会员服务
4+阅读 · 今天3:36
《压缩式分布式交互仿真标准》120页
专知会员服务
3+阅读 · 今天3:21
《电子战数据交换模型研究报告》
专知会员服务
4+阅读 · 今天3:13
《基于Transformer的异常舰船导航识别与跟踪》80页
《低数据领域军事目标检测模型研究》
专知会员服务
4+阅读 · 今天2:37
【CMU博士论文】物理世界的视觉感知与深度理解
伊朗战争停火期间美军关键弹药状况分析
专知会员服务
8+阅读 · 4月22日
电子战革命:塑造战场的十年突破(2015–2025)
相关VIP内容
【CVPR2023】基于动态图增强对比学习的胸部X光报告生成
专知会员服务
21+阅读 · 2023年3月23日
视觉Transformer预训练模型的胸腔X线影像多标签分类
专知会员服务
14+阅读 · 2022年7月29日
相关基金
国家自然科学基金
0+阅读 · 2015年12月31日
国家自然科学基金
0+阅读 · 2015年12月31日
国家自然科学基金
0+阅读 · 2015年12月31日
国家自然科学基金
0+阅读 · 2015年12月31日
国家自然科学基金
0+阅读 · 2014年12月31日
国家自然科学基金
1+阅读 · 2014年12月31日
Top
微信扫码咨询专知VIP会员