记忆模糊、记忆泛化的关键分子开关被发现

2018 年 3 月 18 日 人工智能学家

来源:brainnews


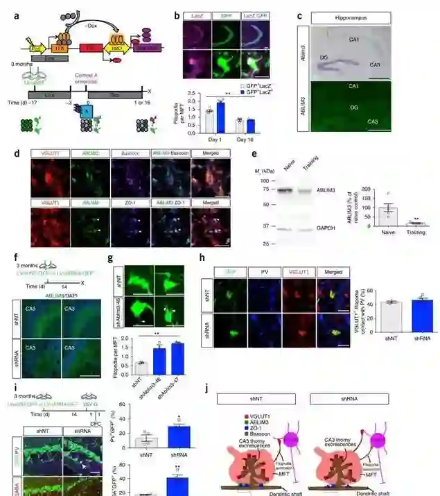
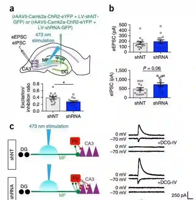
2018年3月12日,Nature Medicine杂志在线刊登了麻省总医院Amar Sahay研究组的最新重要工作,他们发现了一种细胞骨架蛋白Actin-binding LIM protein 3 (ABLIM3),降低该蛋白的表达水平可以增强海马齿状回细胞(DGC)到CA3区中间神经元(SLIN)的投射,提高远期记忆的精确性。



记忆,是人脑对已经历事物的识记、保持、再现与再认,它是思维、想象等高级心理活动的基础。经历过的事物在大脑中会留下记忆的痕迹,对于那些保持长久、深远的记忆痕迹称为远期记忆(Remote memory)。



随着时间的流逝,我们的记忆会丢掉很多细节,精确性越来越低,这种现象被称为记忆的泛化。发生记忆泛化后,原本不相关或者弱相关的事件也会被提取出来,形成模糊的记忆。


现实生活中,幼年经历过严重创伤或经历过极端环境(如战争)之后,会产生可能伴随终身的恐惧记忆,产生创伤后应激综合征(PTSD),而这种影响往往被认为是记忆泛化所致,因为人们发现,记忆精确性的降低也会导致轻度认知功能障碍以及情境记忆功能紊乱。因此,探索远期记忆如何泛化的神经科学机制,意义重大。


记忆的泛化会导致创伤后应激综合征(PTSD)以及老年人认知功能障碍。过去的研究发现了短时记忆泛化的神经环路机制,但是对于远期记忆,记忆痕迹的维持以及泛化的神经机制,我们知之甚少。本篇研究提高了我们对记忆功能的认知,更为治疗成年人PTSD以及老年人认知功能障碍等神经疾病做出贡献!


未来智能实验室是人工智能学家与科学院相关机构联合成立的人工智能,互联网和脑科学交叉研究机构。


未来智能实验室的主要工作包括:建立AI智能系统智商评测体系,开展世界人工智能智商评测;开展互联网(城市)云脑研究计划,构建互联网(城市)云脑技术和企业图谱,为提升企业,行业与城市的智能水平服务。

  如果您对实验室的研究感兴趣,欢迎加入未来智能实验室线上平台。扫描以下二维码或点击本文左下角“阅读原文”

登录查看更多
0

相关内容

【哈佛大学】机器学习的黑盒解释性,52页ppt
专知会员服务
172+阅读 · 2020年5月27日
大数据安全技术研究进展
专知会员服务
96+阅读 · 2020年5月2日
德勤:2020技术趋势报告,120页pdf
专知会员服务
194+阅读 · 2020年3月31日
【BAAI|2019】类脑神经网络技术及其应用,鲁华祥(附pdf)
专知会员服务
31+阅读 · 2019年11月21日
人工智能应用实践与趋势
人工智能学家
13+阅读 · 2019年9月20日
Nature 一周论文导读 | 2019 年 5 月 30 日
科研圈
15+阅读 · 2019年6月9日
人工智能的现状与未来(附PPT)
人工智能学家
76+阅读 · 2019年3月27日
Nature 一周论文导读 | 2019 年 2 月 28 日
科研圈
13+阅读 · 2019年3月10日
自然语言处理(NLP)前沿进展报告
人工智能学家
20+阅读 · 2018年9月30日
Nature 一周论文导读 | 2018 年 3 月 29 日
科研圈
12+阅读 · 2018年4月7日
人工神经网络是否模拟了人类大脑?
数说工作室
10+阅读 · 2017年7月19日
Deep learning for cardiac image segmentation: A review
Arxiv
21+阅读 · 2019年11月9日
Arxiv
7+阅读 · 2018年1月10日
VIP会员
最新内容
人工智能在战场行动中的演进及伊朗案例
专知会员服务
6+阅读 · 4月18日
美AI公司Anthropic推出网络安全模型“Mythos”
专知会员服务
4+阅读 · 4月18日
【博士论文】面向城市环境的可解释计算机视觉
大语言模型的自改进机制:技术综述与未来展望
《第四代军事特种作战部队选拔与评估》
专知会员服务
3+阅读 · 4月18日
相关资讯
人工智能应用实践与趋势
人工智能学家
13+阅读 · 2019年9月20日
Nature 一周论文导读 | 2019 年 5 月 30 日
科研圈
15+阅读 · 2019年6月9日
人工智能的现状与未来(附PPT)
人工智能学家
76+阅读 · 2019年3月27日
Nature 一周论文导读 | 2019 年 2 月 28 日
科研圈
13+阅读 · 2019年3月10日
自然语言处理(NLP)前沿进展报告
人工智能学家
20+阅读 · 2018年9月30日
Nature 一周论文导读 | 2018 年 3 月 29 日
科研圈
12+阅读 · 2018年4月7日
人工神经网络是否模拟了人类大脑?
数说工作室
10+阅读 · 2017年7月19日
Top
微信扫码咨询专知VIP会员