吃辣椒吃坏脑动脉:医生,我可能刚吃了一个太阳

2018 年 5 月 2 日 果壳网 见文末

总有一些人对“变态辣挑战”有着蜜汁执着。近期,一名34岁的男子在吃了卡罗莱纳死神辣椒后,因为头痛欲裂被送到了急诊室。


不辣死不罢休的各种辣味挑战。图片来源:Youtube/Karina Garcia


01

 辣 椒 吃 不 好 

/ 不光菊花痛,还有可能霹雳头痛 /


根据《英国医学期刊病例报告》发表的文章描述,一名34岁男子在辣椒比赛期间吃了一个极辣的卡罗莱纳死神辣椒Carolina Reaper(又名:世界上最辣的辣椒),吃完不久,他开始觉得口渴恶心,并发展为严重的颈部和头部疼痛。在接下来的几天里,他因为剧烈的头疼,最终躺到了急诊室的床上。


卡罗莱纳死神辣椒。图片来源:thechililife


他所经历的头疼还很特别,名字叫做“霹雳性头疼”,光看名字就觉得疼得不行_(:з」∠)_霹雳性头疼的表现是突然发作,并在1分钟内达到疼痛高峰,让人痛不欲生,就像脑子里突然炸开了一个雷。它还经常会造成恶心或呕吐,并可能与发烧、癫痫、意识混乱甚至暂时性视力或语言丧失有关联。


图与实际人物不符。图片来源:123rf.com.cn正版图片库


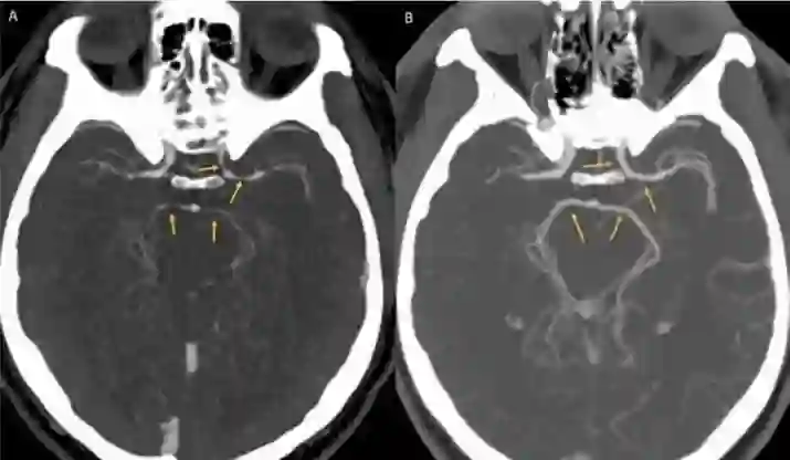
这种罕见的情况是由于大脑中主要的血管突然变窄引起的。医生为他做了脑部CT,影像显示该男子的大脑动脉变窄,这种情况被称为可逆性脑血管收缩综合征(RCVS),而RCVS的主要症状就是霹雳头疼


做完CT的影像。左侧影像箭头所指处,血管有明显狭窄。图片来源:casereports.bmj.com


造成RCVS的原因还不是很清楚,有时可能是由于药物或毒品造成的。但是,根据纽约古柏镇巴塞特医疗中心的Satish Boddhula博士和他的同事的研究,该男子的相关测试为阴性,并且也没有重大的病史可以解释他的反应。


另一方面,虽然没有已知的与辣椒有关的RCVS案例。然而,有报道称,辣椒可以影响血管的大小。考虑到该男子在服用有血管活性作用的物质(辣椒)后出现症状,医生认为吃卡罗莱纳死神辣椒可能是引发他得RCVS的原因


所以,除了能让你的嘴巴灼热以及让你变得眼泪汪汪狂流鼻涕外,超辣的辣椒还可能会造成更严重的健康后果。


卡罗莱纳死神辣椒。图片来源:123rf.com.cn正版图片库


02

 作 死 的 道 路 上 

/ 永远不是只有一个人 /


2013年,卡罗莱纳死神辣椒已经拿到吉尼斯世界纪录成为世界上最辣的辣椒。他们的平均等级为1,641,183史高维尔指数(SHU,史高维尔指数是一个衡量辣味的指标,它基于辣椒素实质上的浓度),其中一些卡罗莱纳死神辣椒甚至可以达到220万SHU。这是个什么概念呢?一个标准灯笼椒的史高维尔指数为零,普通的的墨西哥辣椒(jalapeño)辣度为10000 SHU,而哈瓦那辣椒(habanero)的辣度大约在300000 SHU左右。


卡罗莱纳死神辣椒。图片来源:guinnessworldrecords.com


即使已经知道它是世界上最辣的辣椒,作死的路上也一定充满了花样作死的人。2016年9月的一个病例报告,描述了一位47岁的男性,在一个比赛中挑战吃魔鬼椒(辣度据说>1,000,000 SHU),结果导致了剧烈的呕吐,以及严重的胸腹部疼痛。被送到急诊室之后,发现食管上出现了2.5厘米大的撕裂,立即进行了手术和相应治疗才保住了小命。


还是2016年,两个女孩在尝试卡罗莱纳死神辣椒后完全崩溃的视频也迅速散播开来。视频记录了两个人从满面笑容,兴奋,到尖叫,最后在痛苦中哭泣和颤抖的过程,其中一个人甚至需要吸氧。



姑娘最后甚至需要吸氧。图片来源:youtube.com


所以,鉴于这种辣椒能明显地引剧烈疼痛和不适,并且可能导致严重的头痛或脑血管收缩,在吃它的时候应该小心。其实,你根本就不应该吃这种东西。一定要吃辣时,只吃自己能接受的辣度范围内的辣椒,虽然它会让你出汗,但是不会真正伤害你。


作者:Caroline Kee

编译:糖记冰铺


本文来自果壳网

如需转载,请联系[email protected]

欢迎转发到朋友圈


不点赞的,小心辣菊花!

登录查看更多
0

相关内容

专知会员服务
29+阅读 · 2020年3月6日
【学科交叉】抗生素发现的深度学习方法
专知会员服务
25+阅读 · 2020年2月23日
广东疾控中心《新型冠状病毒感染防护》,65页pdf
专知会员服务
19+阅读 · 2020年1月26日
PACIFIC试验影响了我们什么?
肿瘤资讯
19+阅读 · 2019年7月25日
三安光电到底发生了什么?
商业人物
7+阅读 · 2019年1月28日
【Blood】去甲基化治疗失败后,MDS应如何治疗?
最可怕的不是被机器淘汰,而是……
全球创新论坛
18+阅读 · 2017年10月28日
娈童者:所幸 生在这里
博望志
16+阅读 · 2017年5月17日
Labeling Panoramas with Spherical Hourglass Networks
Arxiv
4+阅读 · 2018年6月1日
Arxiv
14+阅读 · 2018年5月15日
Arxiv
9+阅读 · 2018年4月20日
Arxiv
7+阅读 · 2018年3月12日
VIP会员
最新内容
《系统簇式多域作战规划范畴论框架》
专知会员服务
2+阅读 · 4月20日
高效视频扩散模型:进展与挑战
专知会员服务
0+阅读 · 4月20日
乌克兰前线的五项创新
专知会员服务
6+阅读 · 4月20日
 军事通信系统与设备的技术演进综述
专知会员服务
4+阅读 · 4月20日
《北约标准:医疗评估手册》174页
专知会员服务
4+阅读 · 4月20日
《提升生成模型的安全性与保障》博士论文
专知会员服务
4+阅读 · 4月20日
美国当前高超音速导弹发展概述
专知会员服务
4+阅读 · 4月19日
无人机蜂群建模与仿真方法
专知会员服务
14+阅读 · 4月19日
相关资讯
PACIFIC试验影响了我们什么?
肿瘤资讯
19+阅读 · 2019年7月25日
三安光电到底发生了什么?
商业人物
7+阅读 · 2019年1月28日
【Blood】去甲基化治疗失败后,MDS应如何治疗?
最可怕的不是被机器淘汰,而是……
全球创新论坛
18+阅读 · 2017年10月28日
娈童者:所幸 生在这里
博望志
16+阅读 · 2017年5月17日
Top
微信扫码咨询专知VIP会员