行业|盘点人工智能+医疗,十大细分方向创业图景

2017 年 9 月 1 日 机器人大讲堂



医疗是关乎民生的重要行业,我国人口老龄化、慢病高速增长、医疗资源供需严重失衡以及地域分配不均等问题日益突出,但是互联网带来的模式创新并没有从根本上提升医疗供给端的服务能力,解决医疗资源、尤其是优质医生供不应求的局面。大数据、人工智能等新技术被看作是解决医疗问题的“灵丹妙药”,它们会给医疗行业带来怎样的变革?十年后你会接受AI医生开出的诊疗单吗?

1

AI+医疗,Why now?

我国医疗行业存在相当多的痛点:


优质医疗资源不足,医疗资源分配不均,患者只认大医院,大医院规模扩张超越了医护服务承受范围,基层医疗卫生机构、二三级医院门庭冷落;


医疗成本高,“看不起病”的现象非常普遍;


 医生培养周期长,医生误诊率高,区县级医院医疗人才缺口非常大;


 医疗信息更新快,疾病图谱变化快,医生在繁重的日常工作外,还必须花大量时间跟踪学习最新医学进展,研究前沿技术,提升医疗水平。


看病难,看病贵,我国医疗行业痛点明显


痛点如此明显,医疗行业改革呼之欲出


需求层面,随着国民经济水平的提升,人们对健康的重视程度逐渐提高,医疗服务的需求持续增加。


政策层面,国家在逐步推动医疗大数据的融合共享、开放应用,以及分级诊疗体系的落地。


 技术层面,随着技术的逐渐成熟,应用场景在不断扩展,大数据分析用于解析、挖掘医疗数据,自然语言理解用于处理医学病历、文献,图像识别用于处理医学影像,同时AI和生物技术、基因工程也在逐渐融合,推动精准医疗时代的加速到来。


 商业层面,2014年后医疗人工智能企业出现井喷,国内技术人才聚集效应明显,多家创业公司顺利获得融资,仅去年一年国内AI+医疗领域融资总额达25.8亿人民币,且大部分处于早期阶段。


医疗改革势在必行

2

AI+医疗的创业图景


AI+医疗有很多细分的创业领域:


1. 医疗大数据


IDC digital曾预测,到2020年全世界医疗数据总量将达到40万亿GB,是2010年的30倍,且其中约80%为非结构化数据。


医疗是数据密集型产业,数据的来源非常丰富,包括临床数据、医疗检测数据、患者数据、医保数据、药厂数据、医疗设备数据等等。但是在大数据应用水平上,医疗行业远远落后于互联网、金融、电信等信息化程度较好的行业。姑且不论不同医疗机构之间的数据集成,即使是同一家医院临床、化验、放射、药房等不同部门之间的数据互通都还是奢望。


各行业数据化程度(来源:阿里经济数据研究中心)


由于医疗大数据的来源具有很强的专业性,壁垒高,创业者依靠自身优势选择的切入点也各有不同,例如做医疗信息化系统的医惠科技、做分级诊疗云平台的星医科技,做移动医疗掌上医院的桃谷科技,做电子病历和随访系统的医鸣科技,做肿瘤领域大数据平台的连心医疗,做跨系统、跨业务医疗数据集成的医渡云等等。


2. 辅助诊疗


众所周知医学院学生的培养周期长,学业负担重,他们需要阅读大量医学典籍、文献,熟记各种病症、药理,然后经过大量临床病例的实践积累,还要时刻跟踪最新的医学科研进展,掌握最先进的治疗方法,专业医师人才的匮乏就是导致基层医疗服务始终跟不上的原因。


实际上医学诊疗就是医生结合文献资料记载和历史病例经验做出判断和决策的过程,而数据分析恰好是机器最擅长的,它们可以在短时间内阅读大量资料,将数据结构化进行深度挖掘,以数据驱动辅助诊疗。在基础薄弱、人才缺失的基层医疗机构,AI可以帮助他们提高诊断率、分担三甲医院的就诊压力。


AI为医生提供基于数据驱动的洞察


IBM Waston经受了超过300种以上高等级医学期刊文献、250本以上医疗书籍、1500万页论文数据研究和MSKCC临床实践等数据的训练,可以在几秒钟内推荐最佳治疗方案。森亿智能致力于医学文本分析和数据二次应用,康夫子发布了基于知识图谱的“医疗大脑”,Airdoc可提供精准分诊、病历分析、单病种辅助诊断等服务,他们以不同角度为医生提供数据驱动的临床决策工具。


IBM Watson的辅助诊疗流程


3. 医学影像


因为ImageNet的贡献图像识别成为了人工智能最先突破的领域,目前看来医学影像也会是AI+医疗最快落地的应用。


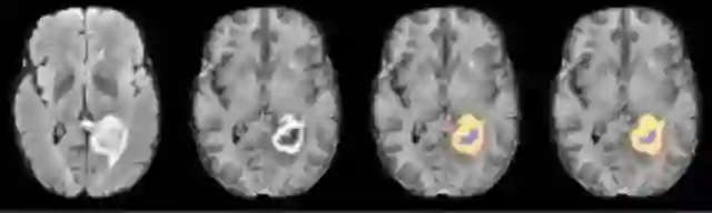
去医院看病不可避免的一件事情就是“拍片”,不同的科室、不同的检验方法会产生各种各样的医学片子,X光、CT、核磁、病理、B超、OCT、超声等等,这些片子必须由放射科或病理科的专业医师进行解读,患者往往要等上好几个小时才能拿到解析报告,而且准确度和医生的经验有很大的相关性。一个不争的事实是,我国医学影像误诊人数每年达到5700万,主要发生在基层医疗机构。我国医学影像数据量每年增长30%,而专业医师的增长率仅仅只有4.1%,巨大的缺口催生了急迫的需求。据调查,AI可将医生的看片时间平均减少4.25个小时,准确率提高到90%以上。


发射科和病理科医生每天阅片的负担非常重


从公司的发展路径来看,AI+医学影像公司大致可分为两类:


第一类公司是人工智能技术公司,提供智能影像分析系统,客户主要有医疗设备厂商、基层医疗机构、远程医疗平台等,代表公司有DeepCare、推想科技、图玛深维、雅森科技,成立时间一般较短。


第二类公司是医疗影像云服务商,近几年我国医学影像逐渐从传统胶片过渡到电子胶片,跨平台的影像云有巨大的市场需求。积累了足够多的数据后,这些公司正在切入到影像的智能分析,其中以汇医慧影、医众影像、医渡云为代表,成立时间一般为二到三年。


机器自动标记脑出血区域


4. 精准医疗


精准医疗是和前沿生物科技结合最为紧密的一个细分领域。人类基因组计划让我们明白生命数据是多么的庞大、浩瀚,只有用人工智能对其进行解读和量化,才能找到其中的规律性和关联性,从而定制个性化的医疗和健康方案,造福人类。


近些年来国内消费级基因检测服务逐渐普及,随着成本的进一步降低,会越来越多地被普通老百姓所接受,未来我们可能只需要提供一点唾液,就可以得到关于自身的疾病风险、用药反应、遗传状况、个人体征、健康观测的评估结果。


人体基因数据异常庞大,必须交由AI进行解读


奇云诺德致力于对基因测序数据进行智能解读,实时获取一对一的健康管理报告。赛福基因通过构建基因、疾病、药物关联数据库,推出了基于全基因测序数据的疾病精准诊疗解析工具。最引人注目的当属碳云智能,有着“寻找碳基生命的硅基未来”的宏大愿景,成立半年时即完成了腾讯领投的估值超10亿人民币的A轮融资。碳云致力于在基因、免疫、蛋白、代谢、微生物、临床、体检、运动、饮食、环境等等多层次生命数据的基础上,构建生命健康领域的大数据生态系统,进而最终运用人工智能技术,帮助人们做精准的健康管理。


用AI解析基因检测数据实现精准医疗


5. 健康管理


用智能手机、可穿戴设备记录或采集用户数据,了解其饮食习惯、锻炼周期、生活习惯、体征数据、服药规律等,用AI技术进行数据分析,评估用户健康状态,定制健康管理计划,或提供远程医疗服务,或识别疾病发生的风险及提供降低风险的措施。


可穿戴设备13、14年的时候“火”过一波,但是因为采集的数据不知道该怎么用,没有提供有价值的健康指导,用户留存率低,后来集体“哑火”了。疾病风险预测方面国外的创企非常多,付费客群包括保险公司、数字健康设备公司、大型健康计划、护理机构等等,但国内这块却始终没有做起来,原因就是国人的疾病风险防范意识普遍不高,慢病管理、疾病预防的需求不明确。


健康管理这一细分领域覆盖范围广,应用场景多,有很大一部分是消费级产品,做好了市场规模不小。但也正是因为切入点太多,反而不容易找准产品定位,至今没有摸索出非常好的商业模式,目前还是一片“蓝海”。悦糖和医随访都运用了机器学习的方法分析用户的血糖指标、生活习惯,提供个性化的血糖管理方案。


健康管理类应用的业务模式


6. 药物研发


药物研发是一个不断试错、苦苦寻觅的过程,在自然界无数种物质中找到一种能治疗某种特定疾病的物质,从早期研究到临床试验到审批上市平均需要花费12年时间,投入66亿人民币。


利用人工智能开发虚拟筛选技术,提前预测药物的有效性、安全性和副作用,可以极大提高研发速度和成功率。高盛曾在报告中指出,人工智能和机器学习可以帮助人们在新药研发过程中显著地实现“去风险”,节约的成本价值超过每年280亿美元。


药物研发过程漫长,耗资巨大


AI通过计算机模拟,可以快速、准确地挖掘和筛选合适的化合物或生物。硅谷初创公司Atomwise是抗击埃博拉的功臣,其超级计算机可以在几天之内评估820万种化合物,他们仅用了不到一周时间就找到了两种能控制埃博拉病毒的药物,成本不超过1000美元,传统药物研发方法寻找则可能要耗费好几年的时间。


用AI辅助药物研发在硅谷已经成为一种趋势,付费客群主要有制药公司、创业公司和研究机构。这个领域需要生物化学、量子计算、人工智能等多学科的交叉融合,对团队的要求非常高,国内的初创企业还很稀缺。XtaIPI晶泰科技可以对药物的晶体结构进行精准快速的筛选和设计,目前已获得达晨、腾讯、真格和锋瑞的投资。


AI辅助药物研发在硅谷形成了一波创业浪潮


7. 虚拟助理和智能医疗机器人


虚拟助理和智能医疗机器人主要是担任医生的“助理”。“助理”这个词涵盖范围广,产品定义难度大,初创公司较难做好。


目前主要有三种切入方式,一种是通用型助理,百度、阿里云、科大讯飞等巨头们布局的“医疗大脑”,具备辅助诊疗、医学影像、疾病监测、健康管理等多项功能,几乎涵盖了智慧医疗的各个领域。


百度医疗大脑


第二种是服务型助理,协助医生完成某项重复性高、可替代的工作。光明医疗帮助医生搜集、整理和推荐信息,药师小乔能自动完成推荐用药、康复计划等服务,万物语联可以充当医生高徒完成院前院后延伸性服务,旗瀚科技三宝机器人可智能完成导诊、分诊、挂号、付费、看护、报告查询等功能,使就医流程更加便捷。


旗瀚科技医疗机器人


还有一种是智能语音录入,中国大部分住院医生每天花在写病历的时间约为4个小时,放射科医生每天阅片和写报告的工作量非常大,手术医生在工作过程中没有办法实时记录病情,在医疗的某些场景中语音输入是有刚需的。语音识别市场的格局基本已定,医疗行业主要的玩家有科大讯飞、云知声、中科汇能,挑战在于医院的环境比较嘈杂,同时医生工作习惯的转换和培养也需要时间。


医疗场景中的智能语音录入

3

AI+医疗的突围之路


1. 什么是AI能做的?什么是AI不能做的?


AI能做的:


对人来说,一方面职业医生培养过程非常漫长,至少要10年左右的学习时间,需要记忆和背诵大量的医学知识,另一方面医生的经验是有限的,即使一个专科领域最优秀的医生也不可能见过所有的患者、所有的症状,熟知所有的治疗方案,比较过所有的治疗效果,经验难免会有偏颇。


AI的优势是对海量数据进行分析和挖掘的能力,AI可以在短时间内不眠不休地读完所有医书、所有病历,给出全面的分析结果,以数据驱动辅助诊疗过程。AI既帮助医生弥补经验的缺陷,以数据分析的细颗粒度透析人类医生难以觉察的细节,又可以及时更新疾病图谱和世界最先进的治疗方案,帮助医生迭代知识,提升诊疗水平。


AI不能做的:


看病的过程其实就是医生根据患者的症状进行询证、预测和推理,从而确定疾病类型,探索发病原因,找到治疗方案。医生会把问题引向合适的方向,会选择特定的检验方法印证自己的判断,这需要经验和直觉。AI的最大挑战在于到底要用多少数据去train,才能让它构建起与人类相当的感知和认知能力。机器没有常识,也没有直觉,它可以辅助医生,提供基于大数据的分析和洞察,但它不能替代医生,至少现在看来不能。


退一万步说,即使AI可以达到甚至超越医生的诊疗水平,患者仍然需要与医生的交流,当患者被关切地询问和仔细地检查,他们会得到心理的慰藉。调研表明,能够很好地与患者互动的医生治疗效果也往往更好,这是机器永远也替代不了的。


必须明确AI的应用边界:


目前来看AI+医疗还处于发展初期,无法实现大规模商用。在技术上,要依赖医疗大数据的收集、医学知识图谱的构建,于是专业数据的准确和完备性、知识图谱的规模从根本上决定了AI+医疗的瓶颈;在应用上,不同病种、不同应用场景的底层逻辑不同,创业者要根据实际情况有针对性地提升效果,但同时也制约了规模扩张的可能性;在用户上,如何让医生和患者接受、理解这套诊断逻辑,并用于辅助治疗过程还有很长的路要走。


AI可以辅助医生,但不能替代医生


2.  AI+医疗的数据瓶颈


我们教孩子认识“猫”的时候,只需要告诉他们哪个是“猫”,下次再见到猫他们渐渐地就认识了。但是对于机器,我们要给它展示上万张猫的图片,它们才能学会认识。同样地,Watson即使输入了远超人类医生学习量的医书和论文,它也不见得比人类医生更高明。到底要多少数据量才能建立起真正可信、可靠、有效的智能医疗系统,我们并不知道。在我们人类看来的“大数据”,对于机器来说也许真的还不足够“大”。


数据的标注是否专业?


医疗数据最大的痛点就在于如何进行大批量的标注,如何保证标注的质量。以医学影像为例,虽然前几年影像云平台的建立积累了大量数据,但基本都没有对病灶进行标注,而这个工作只能由专业医师来完成。做智能安防的公司以很低的成本雇些临时工就能完成对行人、车辆、路标的标注,这足够让智能医疗公司羡慕嫉妒恨了。医学专家临床和科研的负担都很重,没有时间给创业公司标注数据,即使花钱也很难请到,折中的办法就是找医学院的学生。你喂给机器什么样的数据,就决定了它能学出什么水准的结果,很难想象用医学院实习生标注的数据能学出专家的水平来。


医疗数据标注需要专业医生的配合


数据来源是否全面?


不管是医学诊疗,还是健康管理,好的医学决策一定需要结合多方数据,比如医生的诊断一般是综合了患者症状和化验、影像、病理结果等做出的。今天的智能诊疗、智能影像都还只是依赖单一数据来源的辅助系统,真正的精准医疗离我们就更远了,还只是个概念。在数据壁垒高、数据孤岛现象严重的今天,且不说获取样本数量足够大、来源足够全面的数据有多难,即使能够获取,把不同种类的数据结构化、进行综合处理分析在技术上也是一个不小的难题。


医学全维数据:表征+生理+代谢+蛋白+基因


3. AI+医疗的产品价值与商业模式


中国医疗创业to C产品还很难去向用户收费,最主要原因是还没有找到一个非常痛的点,你且看看身边有多少人手机里装了医疗健康类app就知道了。医疗产品没有传播性,没法像互联网产品那样一看就想买、一用就离不开、有即时满足感。无论是体征监测、风险识别,还是患者教育、用药提醒,用户要看到健康改善的效果就得长期坚持,这本身就是一个“逆人性”的过程。试想有多少用户愿意花时间、牺牲享乐去等待尚不确定的效果呢?这类app留存率极低也就不足为奇了。


既然to C行不通,那就不如专注于to B。B端的难点在于渠道,如何敲开医疗机构的大门。公立三甲医院设备先进,通常自带高级功能,医生经验丰富,智能诊疗系统能给他们带来的改善不如基层医院那么明显。而基层医院自由资金比较少,很难给出比较高的价格,让他们花几万甚至十几万去买一套智能系统还不太现实。AI医疗产品究竟如何定价还在摸索阶段,在临床上应用未来还将面临监管合规的约束。


目前AI医疗公司主要靠筛查服务或分析报告去变现,悲观点说,都还没有形成可持续的商业模式。创业者要打开思路,从有预算的部门去倒推可行路径,多想想有“钱”有需求的地方,比如药厂、设备商、保险公司等,从企业支出的大蛋糕里面去切,不能在从前没有预算的地方生硬地创造盈利模式。B端的付费意愿主要来自于“效率、风险、体验、成本”这四个环节:第一,提升医生的效率,减轻医生的负担;第二,降低医疗风险,减少误诊漏诊;第三,改善就医体验,简化就医流程;第四,降低医疗成本,减少不必要的检查,在这点上政府和保险公司都会有意愿去推动的。


☞来源:小研聊科技



推荐阅读

往期回顾|001讲王田苗—国内外机器人发展热点与趋势

往期回顾|002讲新松总裁曲道奎--机器人发展的临界点

往期回顾|003讲中民国际资本执行董事刘国清-数字化工厂与人工智能

往期回顾|004讲赵胜--全球视野下的工业4.0和机器人

往期回顾|005讲甘中学——从智能工业机器人到智慧工业机器人

往期回顾|006讲长江学者王树新——微创手术机器人技术创新与产业发展

往期回顾|007讲哈工大教授杜志江——国产手术机器人的研究体会

往期回顾|008讲80后博导齐俊桐--无人机智能控制前沿技术

重磅|清华大学教授攻克机器人最后1cm防线

一堂课下潜深海7000米!揭秘罕见黑暗生物链+蛟龙号“龙脑”

投资蓝海+国防重任!上海大学精海系列无人艇突破多项关键技术填补中国空白

无人机也有"大小脑"?湖南卫视偶像级80后科学家分享多项首创突破性技术

温馨提示

意向合作,文章转载, 均可联系堂博士电话:13810423387(同微信)。

以上需求均可联系微信:35735796。


登录查看更多
0

相关内容

2020年中国《知识图谱》行业研究报告,45页ppt
专知会员服务
241+阅读 · 2020年4月18日
【德勤】中国人工智能产业白皮书,68页pdf
专知会员服务
311+阅读 · 2019年12月23日
2019中国硬科技发展白皮书 193页
专知会员服务
86+阅读 · 2019年12月13日
【大数据白皮书 2019】中国信息通信研究院
专知会员服务
138+阅读 · 2019年12月12日
医药零售行业报告
医谷
9+阅读 · 2019年7月8日
解读《中国新一代人工智能发展报告2019》
走向智能论坛
32+阅读 · 2019年6月5日
人工智能与机器学习技术在医疗保健行业中的应用
深度学习与NLP
12+阅读 · 2018年3月25日
2017全球大数据产业八领域典型公司盘点分析
人工智能学家
3+阅读 · 2017年12月6日
【人工智能】人工智能5大商业模式
产业智能官
16+阅读 · 2017年10月16日
人工智能与医疗,正成为人工智能时代重头戏
机器之能
6+阅读 · 2017年7月10日
Arxiv
35+阅读 · 2020年1月2日
Arxiv
18+阅读 · 2019年1月16日
Arxiv
53+阅读 · 2018年12月11日
Arxiv
5+阅读 · 2018年10月11日
Arxiv
7+阅读 · 2018年5月23日
Arxiv
6+阅读 · 2018年2月6日
Arxiv
25+阅读 · 2018年1月24日
VIP会员
最新内容
人工智能在战场行动中的演进及伊朗案例
专知会员服务
6+阅读 · 4月18日
美AI公司Anthropic推出网络安全模型“Mythos”
专知会员服务
4+阅读 · 4月18日
【博士论文】面向城市环境的可解释计算机视觉
大语言模型的自改进机制:技术综述与未来展望
《第四代军事特种作战部队选拔与评估》
专知会员服务
3+阅读 · 4月18日
相关资讯
相关论文
Arxiv
35+阅读 · 2020年1月2日
Arxiv
18+阅读 · 2019年1月16日
Arxiv
53+阅读 · 2018年12月11日
Arxiv
5+阅读 · 2018年10月11日
Arxiv
7+阅读 · 2018年5月23日
Arxiv
6+阅读 · 2018年2月6日
Arxiv
25+阅读 · 2018年1月24日
Top
微信扫码咨询专知VIP会员