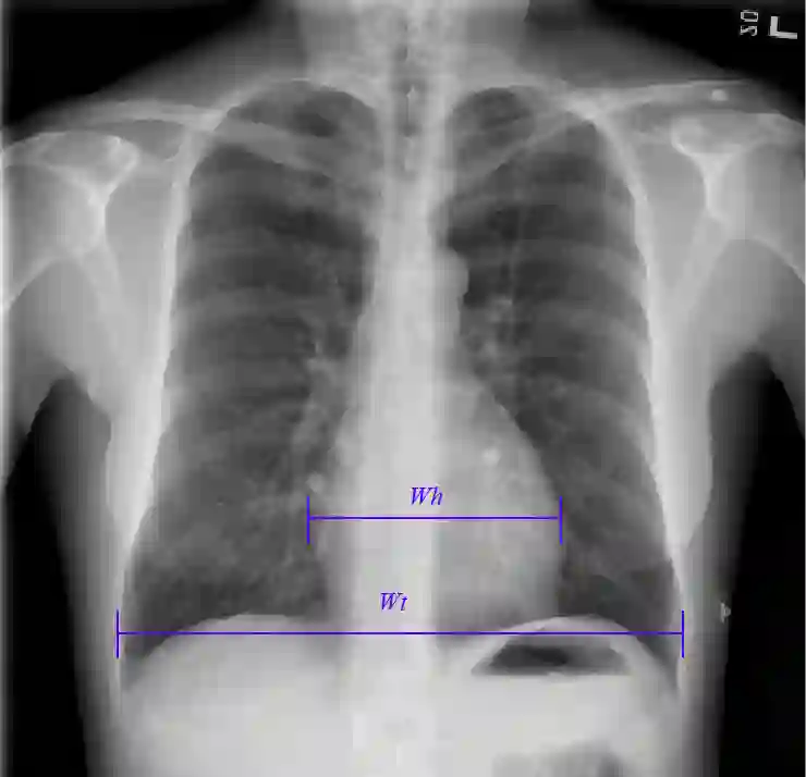
We propose an automated method based on deep learning to compute the cardiothoracic ratio and detect the presence of cardiomegaly from chest radiographs. We develop two separate models to demarcate the heart and chest regions in an X-ray image using bounding boxes and use their outputs to calculate the cardiothoracic ratio. We obtain a sensitivity of 0.96 at a specificity of 0.81 with a mean absolute error of 0.0209 on a held-out test dataset and a sensitivity of 0.84 at a specificity of 0.97 with a mean absolute error of 0.018 on an independent dataset from a different hospital. We also compare three different segmentation model architectures for the proposed method and observe that Attention U-Net yields better results than SE-Resnext U-Net and EfficientNet U-Net. By providing a numeric measurement of the cardiothoracic ratio, we hope to mitigate human subjectivity arising out of visual assessment in the detection of cardiomegaly.


翻译:我们建议采用基于深深学习的自动化方法,从胸腔射电仪中计算心血管比率,并检测心血管病的存在情况。我们开发了两种不同的模型,用X射线图像用捆绑框对心脏和胸部区域进行划界,并使用其输出量来计算心血管病比率。我们获得了0.81度的灵敏度,其中0.81度为0.209度,中间绝对误差为0.84度,特殊度为0.97度,不同医院的独立数据集的绝对误差为0.018。我们还比较了三种不同的分解模型结构,建议采用的方法,并观察到注意UNet产生比SE-Resnext U-Net和高效Net U-Net-Net更好的效果。我们希望通过对心血管病比率进行数字测量,减少在检测心血管病时通过视觉评估产生的人类主观特征。

0
下载
关闭预览

相关内容

专知会员服务
52+阅读 · 2020年12月14日
Stabilizing Transformers for Reinforcement Learning
专知会员服务
60+阅读 · 2019年10月17日
Keras François Chollet 《Deep Learning with Python 》, 386页pdf
专知会员服务
164+阅读 · 2019年10月12日
【SIGGRAPH2019】TensorFlow 2.0深度学习计算机图形学应用
专知会员服务
41+阅读 · 2019年10月9日
LibRec 精选:AutoML for Contextual Bandits
LibRec智能推荐
7+阅读 · 2019年9月19日
Hierarchically Structured Meta-learning
CreateAMind
27+阅读 · 2019年5月22日
Unsupervised Learning via Meta-Learning
CreateAMind
44+阅读 · 2019年1月3日
已删除
将门创投
6+阅读 · 2019年1月2日
Hierarchical Imitation - Reinforcement Learning
CreateAMind
19+阅读 · 2018年5月25日
条件GAN重大改进!cGANs with Projection Discriminator
CreateAMind
8+阅读 · 2018年2月7日
Arxiv
15+阅读 · 2020年12月17日
3D Deep Learning on Medical Images: A Review
Arxiv
13+阅读 · 2020年4月1日
Learning in the Frequency Domain
Arxiv
11+阅读 · 2020年3月12日
VIP会员
最新内容
《美国战争部2027财年军事人员预算》
专知会员服务
0+阅读 · 13分钟前
伊朗战争中的电子战
专知会员服务
2+阅读 · 53分钟前
大语言模型平台在国防情报应用中的对比
专知会员服务
4+阅读 · 今天3:12
美海军“超配项目”
专知会员服务
5+阅读 · 今天2:13
《美陆军条例:陆军指挥政策(2026版)》
专知会员服务
10+阅读 · 4月21日
《军用自主人工智能系统的治理与安全》
专知会员服务
7+阅读 · 4月21日
相关资讯
LibRec 精选:AutoML for Contextual Bandits
LibRec智能推荐
7+阅读 · 2019年9月19日
Hierarchically Structured Meta-learning
CreateAMind
27+阅读 · 2019年5月22日
Unsupervised Learning via Meta-Learning
CreateAMind
44+阅读 · 2019年1月3日
已删除
将门创投
6+阅读 · 2019年1月2日
Hierarchical Imitation - Reinforcement Learning
CreateAMind
19+阅读 · 2018年5月25日
条件GAN重大改进!cGANs with Projection Discriminator
CreateAMind
8+阅读 · 2018年2月7日
Top
微信扫码咨询专知VIP会员