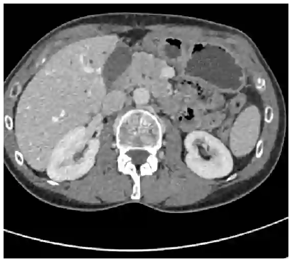
Medical image segmentation remains particularly challenging for complex and low-contrast anatomical structures. In this paper, we introduce the U-Transformer network, which combines a U-shaped architecture for image segmentation with self- and cross-attention from Transformers. U-Transformer overcomes the inability of U-Nets to model long-range contextual interactions and spatial dependencies, which are arguably crucial for accurate segmentation in challenging contexts. To this end, attention mechanisms are incorporated at two main levels: a self-attention module leverages global interactions between encoder features, while cross-attention in the skip connections allows a fine spatial recovery in the U-Net decoder by filtering out non-semantic features. Experiments on two abdominal CT-image datasets show the large performance gain brought out by U-Transformer compared to U-Net and local Attention U-Nets. We also highlight the importance of using both self- and cross-attention, and the nice interpretability features brought out by U-Transformer.


翻译:医疗图象分离对于复杂和低调解剖结构仍然特别具有挑战性。 在本文中,我们引入了U-Transent网络,将U型图象分离结构与来自变异器的自我和交叉注意结合起来。U-Transent克服了U-Net无法模拟长距离背景互动和空间依赖,这在具有挑战性的背景下对准确分割具有关键意义。为此,注意力机制在两个主要层面得到整合:自控模块利用编码功能之间的全球互动,而跳过连接的交叉注意通过过滤非二次线性特征,使得U-Net解密空间恢复良好。关于两个腹部CT图像数据集的实验显示U-Transor与U-Net和本地注意力U-Net之间的巨大性能收益。我们还强调了使用自控和交叉注意的重要性,以及U-Transtier带来的可读性特征。

0
下载
关闭预览

相关内容

图像分割就是把图像分成若干个特定的、具有独特性质的区域并提出感兴趣目标的技术和过程。它是由图像处理到图像分析的关键步骤。 所谓图像分割指的是根据灰度、颜色、纹理和形状等特征把图像划分成若干互不交迭的区域,并使这些特征在同一区域内呈现出相似性,而在不同区域间呈现出明显的差异性。

知识荟萃

精品入门和进阶教程、论文和代码整理等

更多

查看相关VIP内容、论文、资讯等
最新《Transformers模型》教程,64页ppt
专知会员服务
326+阅读 · 2020年11月26日
专知会员服务
84+阅读 · 2020年9月27日
【ECCV2020】EfficientFCN:语义分割中的整体引导解码器
专知会员服务
18+阅读 · 2020年8月23日
[综述]深度学习下的场景文本检测与识别
专知会员服务
78+阅读 · 2019年10月10日
Attention最新进展
极市平台
5+阅读 · 2020年5月30日
Hierarchically Structured Meta-learning
CreateAMind
27+阅读 · 2019年5月22日
Unsupervised Learning via Meta-Learning
CreateAMind
44+阅读 · 2019年1月3日
meta learning 17年:MAML SNAIL
CreateAMind
11+阅读 · 2019年1月2日
《pyramid Attention Network for Semantic Segmentation》
统计学习与视觉计算组
44+阅读 · 2018年8月30日
语义分割+视频分割开源代码集合
极市平台
35+阅读 · 2018年3月5日
条件GAN重大改进!cGANs with Projection Discriminator
CreateAMind
8+阅读 · 2018年2月7日
gan生成图像at 1024² 的 代码 论文
CreateAMind
4+阅读 · 2017年10月31日
【推荐】全卷积语义分割综述
机器学习研究会
19+阅读 · 2017年8月31日
W-net: Bridged U-net for 2D Medical Image Segmentation
Arxiv
20+阅读 · 2018年7月12日
VIP会员
最新内容
乌克兰前线的五项创新
专知会员服务
1+阅读 · 今天6:14
 军事通信系统与设备的技术演进综述
专知会员服务
1+阅读 · 今天5:59
《北约标准:医疗评估手册》174页
专知会员服务
1+阅读 · 今天5:51
《提升生成模型的安全性与保障》博士论文
专知会员服务
0+阅读 · 今天5:47
美国当前高超音速导弹发展概述
专知会员服务
4+阅读 · 4月19日
无人机蜂群建模与仿真方法
专知会员服务
10+阅读 · 4月19日
澳大利亚发布《国防战略(2026年)》
专知会员服务
4+阅读 · 4月19日
全球高超音速武器最新发展趋势
专知会员服务
3+阅读 · 4月19日
相关资讯
Attention最新进展
极市平台
5+阅读 · 2020年5月30日
Hierarchically Structured Meta-learning
CreateAMind
27+阅读 · 2019年5月22日
Unsupervised Learning via Meta-Learning
CreateAMind
44+阅读 · 2019年1月3日
meta learning 17年:MAML SNAIL
CreateAMind
11+阅读 · 2019年1月2日
《pyramid Attention Network for Semantic Segmentation》
统计学习与视觉计算组
44+阅读 · 2018年8月30日
语义分割+视频分割开源代码集合
极市平台
35+阅读 · 2018年3月5日
条件GAN重大改进!cGANs with Projection Discriminator
CreateAMind
8+阅读 · 2018年2月7日
gan生成图像at 1024² 的 代码 论文
CreateAMind
4+阅读 · 2017年10月31日
【推荐】全卷积语义分割综述
机器学习研究会
19+阅读 · 2017年8月31日
Top
微信扫码咨询专知VIP会员