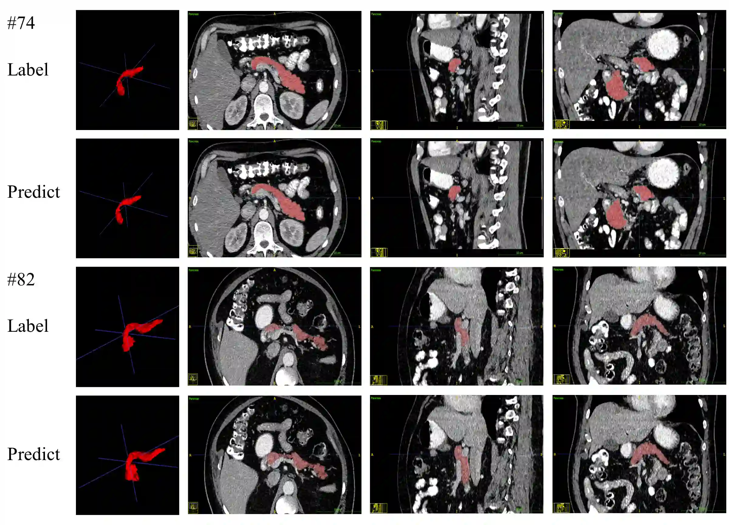
Transformer-based neural networks have surpassed promising performance on many biomedical image segmentation tasks due to a better global information modeling from the self-attention mechanism. However, most methods are still designed for 2D medical images while ignoring the essential 3D volume information. The main challenge for 3D transformer-based segmentation methods is the quadratic complexity introduced by the self-attention mechanism \cite{vaswani2017attention}. In this paper, we propose a novel transformer architecture for 3D medical image segmentation using an encoder-decoder style architecture with linear complexity. Furthermore, we newly introduce a dynamic token concept to further reduce the token numbers for self-attention calculation. Taking advantage of the global information modeling, we provide uncertainty maps from different hierarchy stages. We evaluate this method on multiple challenging CT pancreas segmentation datasets. Our promising results show that our novel 3D Transformer-based segmentor could provide promising highly feasible segmentation performance and accurate uncertainty quantification using single annotation. Code is available https://github.com/freshman97/LinTransUNet.


翻译:基于Transformer的神经网络由于自注意力机制的全局信息建模能力,在许多生物医学图像分割任务中展现出优越性能。然而,现有方法大多针对二维医学图像设计,忽视了本质的三维体积信息。三维Transformer分割方法面临的主要挑战是自注意力机制引入的二次复杂度\cite{vaswani2017attention}。本文提出了一种采用编码器-解码器架构的新型Transformer架构,实现了线性复杂度下的三维医学图像分割。此外,我们创新性地引入动态令牌概念,进一步减少自注意力计算所需的令牌数量。利用全局信息建模优势,我们从不同层级阶段生成不确定性图。在多个具有挑战性的CT胰腺分割数据集上评估了该方法。实验结果表明,我们提出的新型三维Transformer分割器可在单次标注条件下,实现高度可行的分割性能与精确的不确定性量化。代码已开源至 https://github.com/freshman97/LinTransUNet。

0
下载
关闭预览

相关内容

图像分割就是把图像分成若干个特定的、具有独特性质的区域并提出感兴趣目标的技术和过程。它是由图像处理到图像分析的关键步骤。 所谓图像分割指的是根据灰度、颜色、纹理和形状等特征把图像划分成若干互不交迭的区域,并使这些特征在同一区域内呈现出相似性,而在不同区域间呈现出明显的差异性。

知识荟萃

精品入门和进阶教程、论文和代码整理等

更多

查看相关VIP内容、论文、资讯等
机器学习组合优化
专知会员服务
111+阅读 · 2021年2月16日
[综述]深度学习下的场景文本检测与识别
专知会员服务
78+阅读 · 2019年10月10日
【哈佛大学商学院课程Fall 2019】机器学习可解释性
专知会员服务
105+阅读 · 2019年10月9日
VCIP 2022 Call for Demos
CCF多媒体专委会
1+阅读 · 2022年6月6日
Hierarchically Structured Meta-learning
CreateAMind
27+阅读 · 2019年5月22日
Transferring Knowledge across Learning Processes
CreateAMind
29+阅读 · 2019年5月18日
强化学习的Unsupervised Meta-Learning
CreateAMind
18+阅读 · 2019年1月7日
A Technical Overview of AI & ML in 2018 & Trends for 2019
待字闺中
18+阅读 · 2018年12月24日
【论文】变分推断(Variational inference)的总结
机器学习研究会
39+阅读 · 2017年11月16日
国家自然科学基金
0+阅读 · 2015年12月31日
国家自然科学基金
0+阅读 · 2014年12月31日
国家自然科学基金
0+阅读 · 2013年12月31日
国家自然科学基金
0+阅读 · 2012年12月31日
国家自然科学基金
0+阅读 · 2009年12月31日
国家自然科学基金
0+阅读 · 2009年12月31日
W-net: Bridged U-net for 2D Medical Image Segmentation
Arxiv
20+阅读 · 2018年7月12日
VIP会员
最新内容
AutoScientists:自组织智能体团队驱动长期科学实验
战略前沿人工智能的再思考(中文)
专知会员服务
3+阅读 · 今天14:53
《量化地基防空系统间接效应的博弈论方法》
专知会员服务
3+阅读 · 今天14:51
“史诗怒火行动”中美军损失的作战飞机
专知会员服务
2+阅读 · 今天14:38
ICML 2026 | 理解上下文持续学习中的泛化与遗忘
专知会员服务
5+阅读 · 5月28日
Agent Harness综述:大模型智能体执行器工程全景
专知会员服务
13+阅读 · 5月28日
《基于理论的威慑效能评估》
专知会员服务
8+阅读 · 5月28日
相关基金
国家自然科学基金
0+阅读 · 2015年12月31日
国家自然科学基金
0+阅读 · 2014年12月31日
国家自然科学基金
0+阅读 · 2013年12月31日
国家自然科学基金
0+阅读 · 2012年12月31日
国家自然科学基金
0+阅读 · 2009年12月31日
国家自然科学基金
0+阅读 · 2009年12月31日
Top
微信扫码咨询专知VIP会员