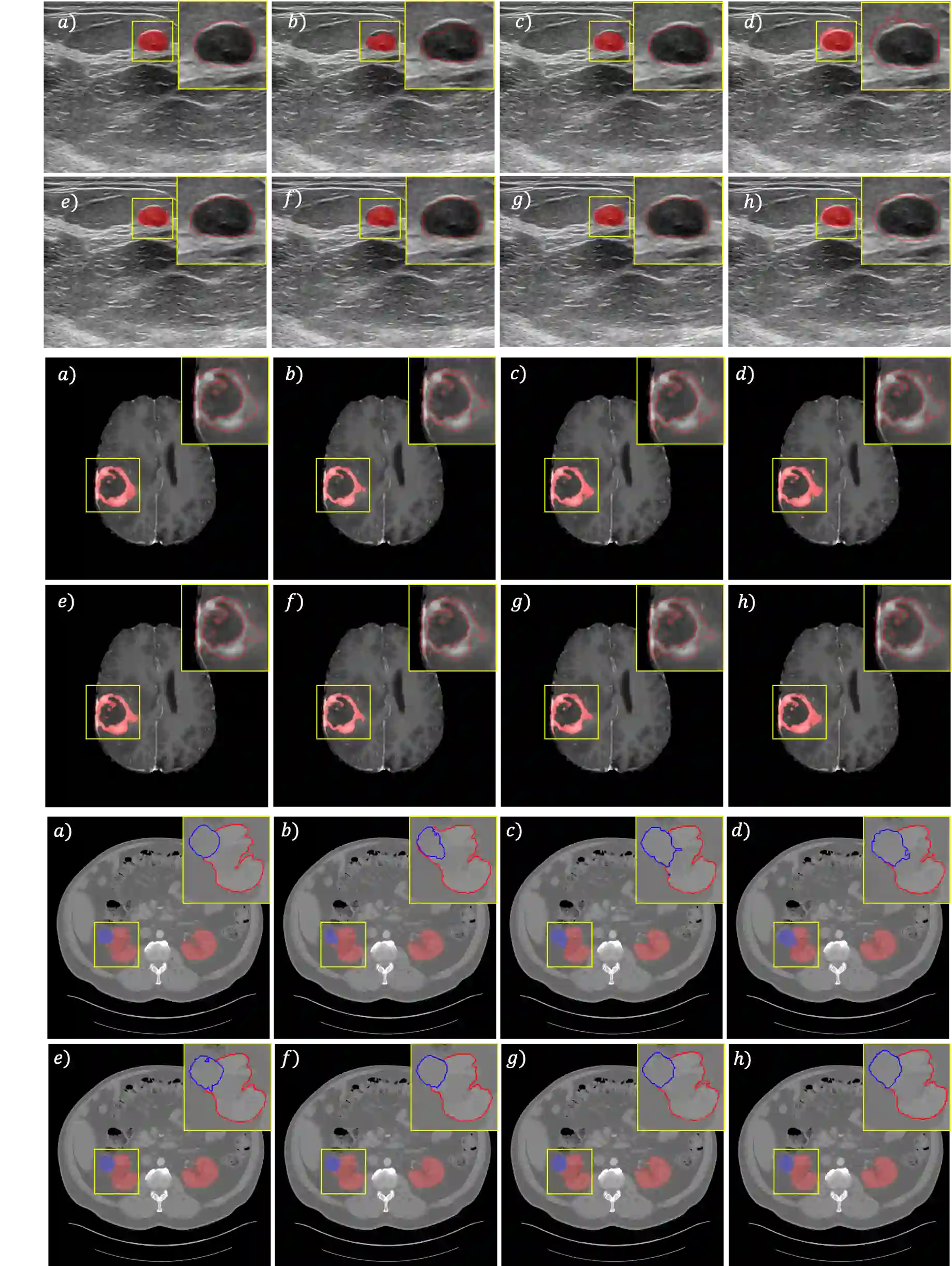
Automatic segmentation methods are an important advancement in medical image analysis. Machine learning techniques, and deep neural networks in particular, are the state-of-the-art for most medical image segmentation tasks. Issues with class imbalance pose a significant challenge in medical datasets, with lesions often occupying a considerably smaller volume relative to the background. Loss functions used in the training of deep learning algorithms differ in their robustness to class imbalance, with direct consequences for model convergence. The most commonly used loss functions for segmentation are based on either the cross entropy loss, Dice loss or a combination of the two. We propose a Unified Focal loss, a new framework that generalises Dice and cross entropy-based losses for handling class imbalance. We evaluate our proposed loss function on three highly class imbalanced, publicly available medical imaging datasets: Breast Ultrasound 2017 (BUS2017), Brain Tumour Segmentation 2020 (BraTS20) and Kidney Tumour Segmentation 2019 (KiTS19). We compare our loss function performance against six Dice or cross entropy-based loss functions, and demonstrate that our proposed loss function is robust to class imbalance, outperforming the other loss functions across datasets. Finally, we use the Unified Focal loss together with deep supervision to achieve state-of-the-art results without modification of the original U-Net architecture, with a mean Dice similarity coefficient (DSC)=0.948 on BUS2017, enhancing tumour region DSC=0.800 on BraTS20 and kidney tumour DSC=0.758 on KiTS19. This highlights the importance of carefully selecting a suitable loss function prior to the use of more complex architectures.


翻译:自动分割法是医学图像分析的一个重要进步。 机器学习技术,特别是深神经网络,是大多数医学图像分割任务的最新技术。 阶级不平衡问题在医疗数据集中构成重大挑战, 与背景相比, 损伤量通常要小得多。 深学习算法培训中所使用的损失函数在稳性与阶级失衡方面有所不同, 并对模型趋同产生直接后果。 用于分割的最常用损失函数 要么基于交叉导体损失, 骰子损失或者两者的组合。 我们提议了一个统一焦点损失, 一个新的框架, 将狄氏和跨星系损失概括化, 用于处理阶级失衡。 我们评估了三个高度等级失衡、 公开提供的医学成像数据集: 乳房超声2017 (BUS2017) 、 脑图摩分解 2020 (BraTS202020) 和 Kidney Tumour Crealctionation 2019 (KITS19) 。 我们比较了我们的损失函数与六个狄冰或跨柱体损失计算损失函数 新的框架, 显示我们最终损失函数与B20DLLLSDSDSDS) 的精度 的精度比值比值比值 。

0
下载
关闭预览

相关内容

损失函数,在AI中亦称呼距离函数,度量函数。此处的距离代表的是抽象性的,代表真实数据与预测数据之间的误差。损失函数(loss function)是用来估量你模型的预测值f(x)与真实值Y的不一致程度,它是一个非负实值函数,通常使用L(Y, f(x))来表示,损失函数越小,模型的鲁棒性就越好。损失函数是经验风险函数的核心部分,也是结构风险函数重要组成部分。
专知会员服务
28+阅读 · 2021年7月3日
【干货书】管理统计和数据科学原理,678页pdf
专知会员服务
186+阅读 · 2020年7月29日
最新《医学图像深度语义分割》综述论文
专知会员服务
97+阅读 · 2020年6月7日
强化学习最新教程,17页pdf
专知会员服务
182+阅读 · 2019年10月11日
机器学习相关资源(框架、库、软件)大列表
专知会员服务
40+阅读 · 2019年10月9日
非平衡数据集 focal loss 多类分类
AI研习社
33+阅读 · 2019年4月23日
被忽略的Focal Loss变种
极市平台
29+阅读 · 2019年4月19日
一文道尽softmax loss及其变种
极市平台
14+阅读 · 2019年2月19日
Hierarchical Imitation - Reinforcement Learning
CreateAMind
19+阅读 · 2018年5月25日
条件GAN重大改进!cGANs with Projection Discriminator
CreateAMind
8+阅读 · 2018年2月7日
【推荐】卷积神经网络类间不平衡问题系统研究
机器学习研究会
6+阅读 · 2017年10月18日
Adversarial Variational Bayes: Unifying VAE and GAN 代码
CreateAMind
7+阅读 · 2017年10月4日
Arxiv
0+阅读 · 2021年7月9日
Deep Co-Training for Semi-Supervised Image Segmentation
VIP会员
最新内容
【CMU博士论文】物理世界的视觉感知与深度理解
专知会员服务
0+阅读 · 13分钟前
伊朗战争停火期间美军关键弹药状况分析
专知会员服务
5+阅读 · 今天11:13
电子战革命:塑造战场的十年突破(2015–2025)
专知会员服务
4+阅读 · 今天9:19
人工智能即服务与未来战争(印度视角)
专知会员服务
2+阅读 · 今天7:57
《美国战争部2027财年军事人员预算》
专知会员服务
2+阅读 · 今天7:44
伊朗战争中的电子战
专知会员服务
5+阅读 · 今天7:04
大语言模型平台在国防情报应用中的对比
专知会员服务
8+阅读 · 今天3:12
相关VIP内容
专知会员服务
28+阅读 · 2021年7月3日
【干货书】管理统计和数据科学原理,678页pdf
专知会员服务
186+阅读 · 2020年7月29日
最新《医学图像深度语义分割》综述论文
专知会员服务
97+阅读 · 2020年6月7日
强化学习最新教程,17页pdf
专知会员服务
182+阅读 · 2019年10月11日
机器学习相关资源(框架、库、软件)大列表
专知会员服务
40+阅读 · 2019年10月9日
相关资讯
非平衡数据集 focal loss 多类分类
AI研习社
33+阅读 · 2019年4月23日
被忽略的Focal Loss变种
极市平台
29+阅读 · 2019年4月19日
一文道尽softmax loss及其变种
极市平台
14+阅读 · 2019年2月19日
Hierarchical Imitation - Reinforcement Learning
CreateAMind
19+阅读 · 2018年5月25日
条件GAN重大改进!cGANs with Projection Discriminator
CreateAMind
8+阅读 · 2018年2月7日
【推荐】卷积神经网络类间不平衡问题系统研究
机器学习研究会
6+阅读 · 2017年10月18日
Adversarial Variational Bayes: Unifying VAE and GAN 代码
CreateAMind
7+阅读 · 2017年10月4日
Top
微信扫码咨询专知VIP会员