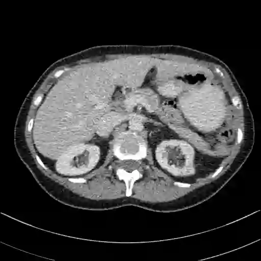
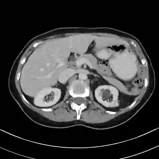
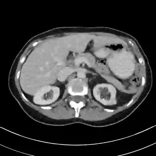
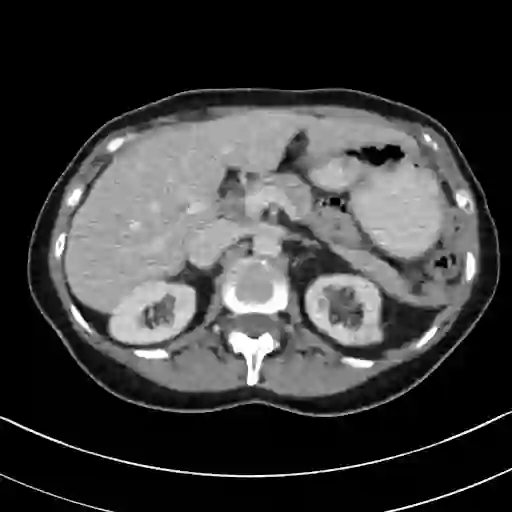
This work presents an approach for image reconstruction in clinical low-dose tomography that combines principles from sparse signal processing with ideas from deep learning. First, we describe sparse signal representation in terms of dictionaries from a statistical perspective and interpret dictionary learning as a process of aligning distribution that arises from a generative model with empirical distribution of true signals. As a result we can see that sparse coding with learned dictionaries resembles a specific variational autoencoder, where the decoder is a linear function and the encoder is a sparse coding algorithm. Next, we show that dictionary learning can also benefit from computational advancements introduced in the context of deep learning, such as parallelism and as stochastic optimization. Finally, we show that regularization by dictionaries achieves competitive performance in computed tomography (CT) reconstruction comparing to state-of-the-art model based and data driven approaches.


翻译:这项工作提出了临床低剂量断层摄影图象重建的方法,这种方法将信号处理稀少的原则与深层学习的想法结合起来。 首先,我们从统计角度描述字典词典表达的信号稀少,并将字典学习解释为一种根据真实信号的实证分布的基因化模型所产生的分布协调过程。 因此,我们可以看到,与所学词典的稀疏编码类似于一种特定的变异自动编码器,其中解码器是一个线性功能,编码器是一种稀疏的编码算法。 其次,我们表明,字典学习也可以从深层学习背景下引入的计算进步中受益,例如平行主义和随机优化。 最后,我们表明,词典的正规化在计算图谱学(CT)重建与基于数据和数据驱动的状态模型方法相比取得了竞争性的绩效。

0
下载
关闭预览

相关内容

稀疏表达的效果好坏和用的字典有着密切的关系。字典分两类,一种是预先给定的分析字典,比如小波基、DCT等,另一种则是针对特定数据集学习出特定的字典。这种学出来的字典能大大提升在特定数据集的效果。
Keras François Chollet 《Deep Learning with Python 》, 386页pdf
专知会员服务
164+阅读 · 2019年10月12日
ICRA 2019 论文速览 | 基于Deep Learning 的SLAM
计算机视觉life
41+阅读 · 2019年7月22日
Hierarchically Structured Meta-learning
CreateAMind
27+阅读 · 2019年5月22日
强化学习的Unsupervised Meta-Learning
CreateAMind
18+阅读 · 2019年1月7日
无监督元学习表示学习
CreateAMind
27+阅读 · 2019年1月4日
Unsupervised Learning via Meta-Learning
CreateAMind
44+阅读 · 2019年1月3日
meta learning 17年:MAML SNAIL
CreateAMind
11+阅读 · 2019年1月2日
Hierarchical Disentangled Representations
CreateAMind
4+阅读 · 2018年4月15日
Auto-Encoding GAN
CreateAMind
7+阅读 · 2017年8月4日
深度学习(Deep Learning)发展史
Linux中国
7+阅读 · 2017年8月2日
Arxiv
0+阅读 · 2021年10月17日
Deep Learning
Arxiv
6+阅读 · 2018年8月3日
VIP会员
最新内容
人工智能即服务与未来战争(印度视角)
专知会员服务
0+阅读 · 33分钟前
《美国战争部2027财年军事人员预算》
专知会员服务
0+阅读 · 46分钟前
伊朗战争中的电子战
专知会员服务
3+阅读 · 今天7:04
大语言模型平台在国防情报应用中的对比
专知会员服务
5+阅读 · 今天3:12
美海军“超配项目”
专知会员服务
6+阅读 · 今天2:13
《美陆军条例:陆军指挥政策(2026版)》
专知会员服务
10+阅读 · 4月21日
《军用自主人工智能系统的治理与安全》
专知会员服务
7+阅读 · 4月21日
相关VIP内容
Keras François Chollet 《Deep Learning with Python 》, 386页pdf
专知会员服务
164+阅读 · 2019年10月12日
相关资讯
ICRA 2019 论文速览 | 基于Deep Learning 的SLAM
计算机视觉life
41+阅读 · 2019年7月22日
Hierarchically Structured Meta-learning
CreateAMind
27+阅读 · 2019年5月22日
强化学习的Unsupervised Meta-Learning
CreateAMind
18+阅读 · 2019年1月7日
无监督元学习表示学习
CreateAMind
27+阅读 · 2019年1月4日
Unsupervised Learning via Meta-Learning
CreateAMind
44+阅读 · 2019年1月3日
meta learning 17年:MAML SNAIL
CreateAMind
11+阅读 · 2019年1月2日
Hierarchical Disentangled Representations
CreateAMind
4+阅读 · 2018年4月15日
Auto-Encoding GAN
CreateAMind
7+阅读 · 2017年8月4日
深度学习(Deep Learning)发展史
Linux中国
7+阅读 · 2017年8月2日
Top
微信扫码咨询专知VIP会员