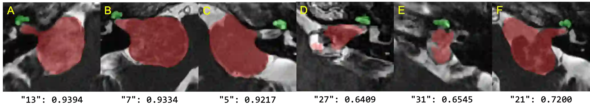
Automatic methods to segment the vestibular schwannoma (VS) tumors and the cochlea from magnetic resonance imaging (MRI) are critical to VS treatment planning. Although supervised methods have achieved satisfactory performance in VS segmentation, they require full annotations by experts, which is laborious and time-consuming. In this work, we aim to tackle the VS and cochlea segmentation problem in an unsupervised domain adaptation setting. Our proposed method leverages both the image-level domain alignment to minimize the domain divergence and semi-supervised training to further boost the performance. Furthermore, we propose to fuse the labels predicted from multiple models via noisy label correction. Our results on the challenge validation leaderboard showed that our unsupervised method has achieved promising VS and cochlea segmentation performance with mean dice score of 0.8261 $\pm$ 0.0416; The mean dice value for the tumor is 0.8302 $\pm$ 0.0772. This is comparable to the weakly-supervised based method.


翻译:将磁共振成像( MRI) 中的前天肿瘤和脑膜瘤( 磁共振成像) 分离的自动方法对于 VS 处理规划至关重要。 虽然受监督的方法在 VS 分割中取得了令人满意的性能, 但是它们需要专家的完整说明, 这既费力又费时。 在这项工作中, 我们的目标是在不受监督的域适应设置中解决 VS 和 cochlea 分割问题。 我们提议的方法利用图像水平域对齐来尽量减少域差异, 并进行半监督的培训来进一步提升性能。 此外, 我们提议通过响声标签校正将从多个模型中预测的标签连接起来。 我们在挑战验证首板上的结果显示, 我们未监督的方法已经实现了有希望的 VS 和 Cochlea 分割性效果, 平均 dice 得分为 0. 8261 $\ pm 0.0416; 肿瘤的平均 dice值为 0. 8302 $\ pm 0.0772 。 这与薄弱的基于方法相似 。

0
下载
关闭预览

相关内容

最新《自监督表示学习》报告,70页ppt
专知会员服务
86+阅读 · 2020年12月22日
Stabilizing Transformers for Reinforcement Learning
专知会员服务
60+阅读 · 2019年10月17日
利用Uncertainty修正Domain Adaptation中的伪标签
极市平台
3+阅读 · 2020年4月16日
Transferring Knowledge across Learning Processes
CreateAMind
29+阅读 · 2019年5月18日
TorchSeg:基于pytorch的语义分割算法开源了
极市平台
20+阅读 · 2019年1月28日
Unsupervised Learning via Meta-Learning
CreateAMind
44+阅读 · 2019年1月3日
Disentangled的假设的探讨
CreateAMind
9+阅读 · 2018年12月10日
语音顶级会议Interspeech2018接受论文列表!
专知
6+阅读 · 2018年6月10日
迁移学习之Domain Adaptation
全球人工智能
18+阅读 · 2018年4月11日
随波逐流:Similarity-Adaptive and Discrete Optimization
我爱读PAMI
5+阅读 · 2018年2月6日
VIP会员
最新内容
2026“人工智能+”行业发展蓝皮书(附下载)
专知会员服务
7+阅读 · 今天12:11
《强化学习数学基础》
专知会员服务
4+阅读 · 今天12:07
“Maven计划”的发展演变之“Maven智能系统”应用
《无人机革命:来自俄乌战场的启示》(报告)
专知会员服务
9+阅读 · 今天6:48
《实现联合作战能力所需的技术》58页报告
专知会员服务
5+阅读 · 今天6:30
以色列运用人工智能优化空袭警报系统
专知会员服务
5+阅读 · 今天6:20
以色列在多条战线部署AI智能体
专知会员服务
7+阅读 · 今天6:12
相关VIP内容
最新《自监督表示学习》报告,70页ppt
专知会员服务
86+阅读 · 2020年12月22日
Stabilizing Transformers for Reinforcement Learning
专知会员服务
60+阅读 · 2019年10月17日
Top
微信扫码咨询专知VIP会员