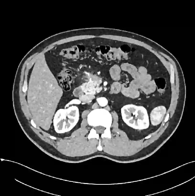
Early tumor detection save lives. Each year, more than 300 million computed tomography (CT) scans are performed worldwide, offering a vast opportunity for effective cancer screening. However, detecting small or early-stage tumors on these CT scans remains challenging, even for experts. Artificial intelligence (AI) models can assist by highlighting suspicious regions, but training such models typically requires extensive tumor masks--detailed, voxel-wise outlines of tumors manually drawn by radiologists. Drawing these masks is costly, requiring years of effort and millions of dollars. In contrast, nearly every CT scan in clinical practice is already accompanied by medical reports describing the tumor's size, number, appearance, and sometimes, pathology results--information that is rich, abundant, and often underutilized for AI training. We introduce R-Super, which trains AI to segment tumors that match their descriptions in medical reports. This approach scales AI training with large collections of readily available medical reports, substantially reducing the need for manually drawn tumor masks. When trained on 101,654 reports, AI models achieved performance comparable to those trained on 723 masks. Combining reports and masks further improved sensitivity by +13% and specificity by +8%, surpassing radiologists in detecting five of the seven tumor types. Notably, R-Super enabled segmentation of tumors in the spleen, gallbladder, prostate, bladder, uterus, and esophagus, for which no public masks or AI models previously existed. This study challenges the long-held belief that large-scale, labor-intensive tumor mask creation is indispensable, establishing a scalable and accessible path toward early detection across diverse tumor types. We plan to release our trained models, code, and dataset at https://github.com/MrGiovanni/R-Super


翻译:早期肿瘤检测能够挽救生命。全球每年进行超过3亿次计算机断层扫描(CT),这为有效的癌症筛查提供了巨大机遇。然而,在这些CT扫描中检测小型或早期肿瘤仍然具有挑战性,即使对于专家而言也是如此。人工智能模型可以通过高亮显示可疑区域来提供协助,但训练此类模型通常需要大量的肿瘤掩码——即由放射科医师手动绘制的详细、体素级肿瘤轮廓。绘制这些掩码成本高昂,需要数年努力和数百万美元。相比之下,临床实践中几乎每份CT扫描都附有描述肿瘤大小、数量、外观以及有时包含病理结果的医学报告——这些信息丰富、大量,但在人工智能训练中往往未得到充分利用。我们提出了R-Super,它训练人工智能根据医学报告中的描述分割肿瘤。这种方法利用大量现成的医学报告集合扩展人工智能训练,显著减少了对人工绘制肿瘤掩码的需求。当使用101,654份报告进行训练时,人工智能模型达到了与使用723个掩码训练相当的性能。结合报告和掩码进一步将灵敏度提高了+13%,特异性提高了+8%,在七种肿瘤类型中有五种的检测效果超过了放射科医师。值得注意的是,R-Super实现了对脾脏、胆囊、前列腺、膀胱、子宫和食道肿瘤的分割,而这些部位此前没有公开的掩码或人工智能模型。这项研究挑战了长期以来认为大规模、劳动密集型的肿瘤掩码创建不可或缺的观点,为跨多种肿瘤类型的早期检测建立了一条可扩展且易于实现的路径。我们计划在https://github.com/MrGiovanni/R-Super 发布我们训练的模型、代码和数据集。

0
下载
关闭预览

相关内容

人工智能杂志AI(Artificial Intelligence)是目前公认的发表该领域最新研究成果的主要国际论坛。该期刊欢迎有关AI广泛方面的论文,这些论文构成了整个领域的进步,也欢迎介绍人工智能应用的论文,但重点应该放在新的和新颖的人工智能方法如何提高应用领域的性能,而不是介绍传统人工智能方法的另一个应用。关于应用的论文应该描述一个原则性的解决方案,强调其新颖性,并对正在开发的人工智能技术进行深入的评估。 官网地址:http://dblp.uni-trier.de/db/journals/ai/
Linux导论,Introduction to Linux,96页ppt
专知会员服务
82+阅读 · 2020年7月26日
FlowQA: Grasping Flow in History for Conversational Machine Comprehension
专知会员服务
34+阅读 · 2019年10月18日
Stabilizing Transformers for Reinforcement Learning
专知会员服务
60+阅读 · 2019年10月17日
《DeepGCNs: Making GCNs Go as Deep as CNNs》
专知会员服务
32+阅读 · 2019年10月17日
Keras François Chollet 《Deep Learning with Python 》, 386页pdf
专知会员服务
164+阅读 · 2019年10月12日
Hierarchically Structured Meta-learning
CreateAMind
27+阅读 · 2019年5月22日
Transferring Knowledge across Learning Processes
CreateAMind
29+阅读 · 2019年5月18日
强化学习的Unsupervised Meta-Learning
CreateAMind
18+阅读 · 2019年1月7日
Unsupervised Learning via Meta-Learning
CreateAMind
44+阅读 · 2019年1月3日
meta learning 17年:MAML SNAIL
CreateAMind
11+阅读 · 2019年1月2日
A Technical Overview of AI & ML in 2018 & Trends for 2019
待字闺中
18+阅读 · 2018年12月24日
STRCF for Visual Object Tracking
统计学习与视觉计算组
15+阅读 · 2018年5月29日
Focal Loss for Dense Object Detection
统计学习与视觉计算组
12+阅读 · 2018年3月15日
IJCAI | Cascade Dynamics Modeling with Attention-based RNN
KingsGarden
13+阅读 · 2017年7月16日
From Softmax to Sparsemax-ICML16(1)
KingsGarden
74+阅读 · 2016年11月26日
国家自然科学基金
13+阅读 · 2017年12月31日
国家自然科学基金
2+阅读 · 2015年12月31日
国家自然科学基金
3+阅读 · 2015年12月31日
国家自然科学基金
0+阅读 · 2015年12月31日
国家自然科学基金
2+阅读 · 2015年12月31日
国家自然科学基金
1+阅读 · 2014年12月31日
国家自然科学基金
0+阅读 · 2014年12月31日
国家自然科学基金
0+阅读 · 2014年12月31日
国家自然科学基金
2+阅读 · 2014年12月31日
Arxiv
11+阅读 · 2019年6月19日
Arxiv
11+阅读 · 2018年4月8日
Arxiv
14+阅读 · 2018年4月6日
VIP会员
最新内容
【CMU博士论文】物理世界的视觉感知与深度理解
专知会员服务
0+阅读 · 48分钟前
伊朗战争停火期间美军关键弹药状况分析
专知会员服务
5+阅读 · 今天11:13
电子战革命:塑造战场的十年突破(2015–2025)
专知会员服务
4+阅读 · 今天9:19
人工智能即服务与未来战争(印度视角)
专知会员服务
2+阅读 · 今天7:57
《美国战争部2027财年军事人员预算》
专知会员服务
2+阅读 · 今天7:44
伊朗战争中的电子战
专知会员服务
5+阅读 · 今天7:04
大语言模型平台在国防情报应用中的对比
专知会员服务
8+阅读 · 今天3:12
相关资讯
Hierarchically Structured Meta-learning
CreateAMind
27+阅读 · 2019年5月22日
Transferring Knowledge across Learning Processes
CreateAMind
29+阅读 · 2019年5月18日
强化学习的Unsupervised Meta-Learning
CreateAMind
18+阅读 · 2019年1月7日
Unsupervised Learning via Meta-Learning
CreateAMind
44+阅读 · 2019年1月3日
meta learning 17年:MAML SNAIL
CreateAMind
11+阅读 · 2019年1月2日
A Technical Overview of AI & ML in 2018 & Trends for 2019
待字闺中
18+阅读 · 2018年12月24日
STRCF for Visual Object Tracking
统计学习与视觉计算组
15+阅读 · 2018年5月29日
Focal Loss for Dense Object Detection
统计学习与视觉计算组
12+阅读 · 2018年3月15日
IJCAI | Cascade Dynamics Modeling with Attention-based RNN
KingsGarden
13+阅读 · 2017年7月16日
From Softmax to Sparsemax-ICML16(1)
KingsGarden
74+阅读 · 2016年11月26日
相关基金
国家自然科学基金
13+阅读 · 2017年12月31日
国家自然科学基金
2+阅读 · 2015年12月31日
国家自然科学基金
3+阅读 · 2015年12月31日
国家自然科学基金
0+阅读 · 2015年12月31日
国家自然科学基金
2+阅读 · 2015年12月31日
国家自然科学基金
1+阅读 · 2014年12月31日
国家自然科学基金
0+阅读 · 2014年12月31日
国家自然科学基金
0+阅读 · 2014年12月31日
国家自然科学基金
2+阅读 · 2014年12月31日
Top
微信扫码咨询专知VIP会员