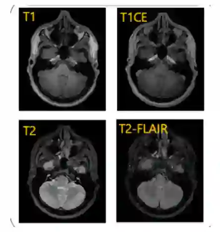
Pediatric brain tumors, particularly gliomas, represent a significant cause of cancer related mortality in children with complex infiltrative growth patterns that complicate treatment. Early, accurate segmentation of these tumors in neuroimaging data is crucial for effective diagnosis and intervention planning. This study presents a novel 3D UNet architecture with a spatial attention mechanism tailored for automated segmentation of pediatric gliomas. Using the BraTS pediatric glioma dataset with multiparametric MRI data, the proposed model captures multi-scale features and selectively attends to tumor relevant regions, enhancing segmentation precision and reducing interference from surrounding tissue. The model's performance is quantitatively evaluated using the Dice similarity coefficient and HD95, demonstrating improved delineation of complex glioma structured. This approach offers a promising advancement in automating pediatric glioma segmentation, with the potential to improve clinical decision making and outcomes.


翻译:儿童脑肿瘤,尤其是胶质瘤,是导致儿童癌症相关死亡的重要原因,其复杂的浸润性生长模式使治疗变得困难。在神经影像数据中对这些肿瘤进行早期、准确的分割对于有效诊断和干预规划至关重要。本研究提出了一种新颖的3D UNet架构,其配备了专门为儿童胶质瘤自动分割定制的空间注意力机制。利用包含多参数MRI数据的BraTS儿童胶质瘤数据集,所提出的模型能够捕获多尺度特征,并选择性地关注肿瘤相关区域,从而提高了分割精度并减少了周围组织的干扰。通过Dice相似系数和HD95对模型性能进行定量评估,结果表明该模型在复杂胶质瘤结构的勾画方面有所改进。该方法为儿童胶质瘤分割的自动化提供了有前景的进展,并有望改善临床决策和预后。

0
下载
关闭预览

相关内容

图注意力网络(Graph Attention Network,GAT),它通过注意力机制(Attention Mechanism)来对邻居节点做聚合操作,实现了对不同邻居权重的自适应分配,从而大大提高了图神经网络模型的表达能力。
FlowQA: Grasping Flow in History for Conversational Machine Comprehension
专知会员服务
34+阅读 · 2019年10月18日
Stabilizing Transformers for Reinforcement Learning
专知会员服务
60+阅读 · 2019年10月17日
《DeepGCNs: Making GCNs Go as Deep as CNNs》
专知会员服务
32+阅读 · 2019年10月17日
Keras François Chollet 《Deep Learning with Python 》, 386页pdf
专知会员服务
164+阅读 · 2019年10月12日
【SIGGRAPH2019】TensorFlow 2.0深度学习计算机图形学应用
专知会员服务
41+阅读 · 2019年10月9日
Hierarchically Structured Meta-learning
CreateAMind
27+阅读 · 2019年5月22日
Transferring Knowledge across Learning Processes
CreateAMind
29+阅读 · 2019年5月18日
Unsupervised Learning via Meta-Learning
CreateAMind
44+阅读 · 2019年1月3日
meta learning 17年:MAML SNAIL
CreateAMind
11+阅读 · 2019年1月2日
A Technical Overview of AI & ML in 2018 & Trends for 2019
待字闺中
18+阅读 · 2018年12月24日
STRCF for Visual Object Tracking
统计学习与视觉计算组
15+阅读 · 2018年5月29日
Hierarchical Imitation - Reinforcement Learning
CreateAMind
19+阅读 · 2018年5月25日
Focal Loss for Dense Object Detection
统计学习与视觉计算组
12+阅读 · 2018年3月15日
IJCAI | Cascade Dynamics Modeling with Attention-based RNN
KingsGarden
13+阅读 · 2017年7月16日
From Softmax to Sparsemax-ICML16(1)
KingsGarden
74+阅读 · 2016年11月26日
国家自然科学基金
13+阅读 · 2017年12月31日
国家自然科学基金
2+阅读 · 2015年12月31日
国家自然科学基金
3+阅读 · 2015年12月31日
国家自然科学基金
0+阅读 · 2014年12月31日
国家自然科学基金
0+阅读 · 2014年12月31日
Arxiv
18+阅读 · 2019年3月28日
VIP会员
最新内容
高效视频扩散模型:进展与挑战
专知会员服务
0+阅读 · 今天13:34
乌克兰前线的五项创新
专知会员服务
4+阅读 · 今天6:14
 军事通信系统与设备的技术演进综述
专知会员服务
3+阅读 · 今天5:59
《北约标准:医疗评估手册》174页
专知会员服务
3+阅读 · 今天5:51
《提升生成模型的安全性与保障》博士论文
专知会员服务
3+阅读 · 今天5:47
美国当前高超音速导弹发展概述
专知会员服务
4+阅读 · 4月19日
无人机蜂群建模与仿真方法
专知会员服务
12+阅读 · 4月19日
澳大利亚发布《国防战略(2026年)》
专知会员服务
6+阅读 · 4月19日
相关资讯
Hierarchically Structured Meta-learning
CreateAMind
27+阅读 · 2019年5月22日
Transferring Knowledge across Learning Processes
CreateAMind
29+阅读 · 2019年5月18日
Unsupervised Learning via Meta-Learning
CreateAMind
44+阅读 · 2019年1月3日
meta learning 17年:MAML SNAIL
CreateAMind
11+阅读 · 2019年1月2日
A Technical Overview of AI & ML in 2018 & Trends for 2019
待字闺中
18+阅读 · 2018年12月24日
STRCF for Visual Object Tracking
统计学习与视觉计算组
15+阅读 · 2018年5月29日
Hierarchical Imitation - Reinforcement Learning
CreateAMind
19+阅读 · 2018年5月25日
Focal Loss for Dense Object Detection
统计学习与视觉计算组
12+阅读 · 2018年3月15日
IJCAI | Cascade Dynamics Modeling with Attention-based RNN
KingsGarden
13+阅读 · 2017年7月16日
From Softmax to Sparsemax-ICML16(1)
KingsGarden
74+阅读 · 2016年11月26日
相关基金
国家自然科学基金
13+阅读 · 2017年12月31日
国家自然科学基金
2+阅读 · 2015年12月31日
国家自然科学基金
3+阅读 · 2015年12月31日
国家自然科学基金
0+阅读 · 2014年12月31日
国家自然科学基金
0+阅读 · 2014年12月31日
Top
微信扫码咨询专知VIP会员