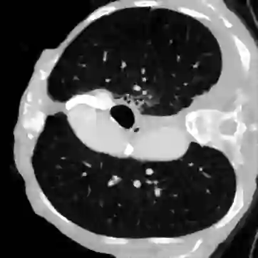
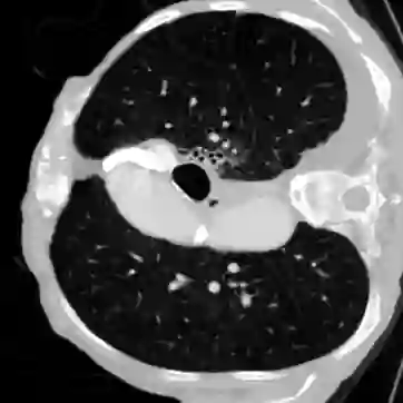
Deep learning-based image reconstruction approaches have demonstrated impressive empirical performance in many imaging modalities. These approaches generally require a large amount of high-quality training data, which is often not available. To circumvent this issue, we develop a novel unsupervised knowledge-transfer paradigm for learned iterative reconstruction within a Bayesian framework. The proposed approach learns an iterative reconstruction network in two phases. The first phase trains a reconstruction network with a set of ordered pairs comprising of ground truth images and measurement data. The second phase fine-tunes the pretrained network to the measurement data without supervision. Furthermore, the framework delivers uncertainty information over the reconstructed image. We present extensive experimental results on low-dose and sparse-view computed tomography, showing that the proposed framework significantly improves reconstruction quality not only visually, but also quantitatively in terms of PSNR and SSIM, and is competitive with several state-of-the-art supervised and unsupervised reconstruction techniques.


翻译:深层学习图像重建方法在许多成像模式中表现出了令人印象深刻的经验性表现,这些方法一般需要大量往往无法获得的高质量培训数据。为回避这一问题,我们为在巴伊西亚框架内进行学习的迭代重建开发开发了一种新的不受监督的知识转移模式。拟议方法分两个阶段学习了迭接重建网络。第一阶段培训重建网络,配有一套由地面真实图像和测量数据组成的定单配对。第二阶段对预先训练的网络进行微调,使其与未经监督的测量数据挂钩。此外,该框架还就重建后的图像提供了不确定信息。我们介绍了关于低剂量和少见的计算图象学的广泛实验结果,表明拟议的框架不仅在视觉上,而且在数量上大大改进了重建质量,而且在PSNR和SSIM方面,并且与一些最先进的、受监督和不受监督的、不受监督的重建技术具有竞争力。

0
下载
关闭预览

相关内容

[综述]深度学习下的场景文本检测与识别
专知会员服务
78+阅读 · 2019年10月10日
Hierarchically Structured Meta-learning
CreateAMind
27+阅读 · 2019年5月22日
Transferring Knowledge across Learning Processes
CreateAMind
29+阅读 · 2019年5月18日
逆强化学习-学习人先验的动机
CreateAMind
16+阅读 · 2019年1月18日
强化学习的Unsupervised Meta-Learning
CreateAMind
18+阅读 · 2019年1月7日
Unsupervised Learning via Meta-Learning
CreateAMind
44+阅读 · 2019年1月3日
Disentangled的假设的探讨
CreateAMind
9+阅读 · 2018年12月10日
vae 相关论文 表示学习 1
CreateAMind
12+阅读 · 2018年9月6日
Hierarchical Imitation - Reinforcement Learning
CreateAMind
19+阅读 · 2018年5月25日
迁移学习之Domain Adaptation
全球人工智能
18+阅读 · 2018年4月11日
Auto-Encoding GAN
CreateAMind
7+阅读 · 2017年8月4日
Arxiv
13+阅读 · 2020年8月3日
SwapText: Image Based Texts Transfer in Scenes
Arxiv
4+阅读 · 2020年3月18日
Arxiv
9+阅读 · 2019年4月19日
Arxiv
7+阅读 · 2018年11月27日
Arxiv
5+阅读 · 2018年1月17日
VIP会员
最新内容
《系统簇式多域作战规划范畴论框架》
专知会员服务
2+阅读 · 今天14:54
高效视频扩散模型:进展与挑战
专知会员服务
0+阅读 · 今天13:34
乌克兰前线的五项创新
专知会员服务
6+阅读 · 今天6:14
 军事通信系统与设备的技术演进综述
专知会员服务
4+阅读 · 今天5:59
《北约标准:医疗评估手册》174页
专知会员服务
4+阅读 · 今天5:51
《提升生成模型的安全性与保障》博士论文
专知会员服务
4+阅读 · 今天5:47
美国当前高超音速导弹发展概述
专知会员服务
4+阅读 · 4月19日
无人机蜂群建模与仿真方法
专知会员服务
13+阅读 · 4月19日
相关VIP内容
[综述]深度学习下的场景文本检测与识别
专知会员服务
78+阅读 · 2019年10月10日
相关资讯
Hierarchically Structured Meta-learning
CreateAMind
27+阅读 · 2019年5月22日
Transferring Knowledge across Learning Processes
CreateAMind
29+阅读 · 2019年5月18日
逆强化学习-学习人先验的动机
CreateAMind
16+阅读 · 2019年1月18日
强化学习的Unsupervised Meta-Learning
CreateAMind
18+阅读 · 2019年1月7日
Unsupervised Learning via Meta-Learning
CreateAMind
44+阅读 · 2019年1月3日
Disentangled的假设的探讨
CreateAMind
9+阅读 · 2018年12月10日
vae 相关论文 表示学习 1
CreateAMind
12+阅读 · 2018年9月6日
Hierarchical Imitation - Reinforcement Learning
CreateAMind
19+阅读 · 2018年5月25日
迁移学习之Domain Adaptation
全球人工智能
18+阅读 · 2018年4月11日
Auto-Encoding GAN
CreateAMind
7+阅读 · 2017年8月4日
Top
微信扫码咨询专知VIP会员