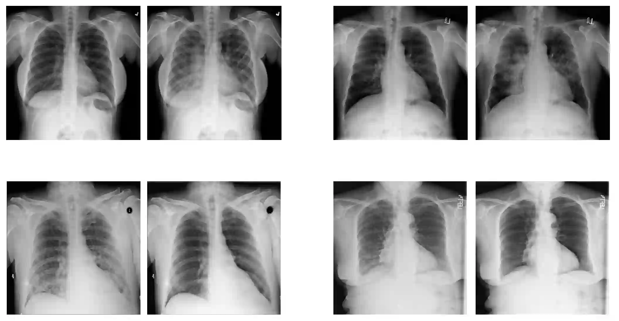
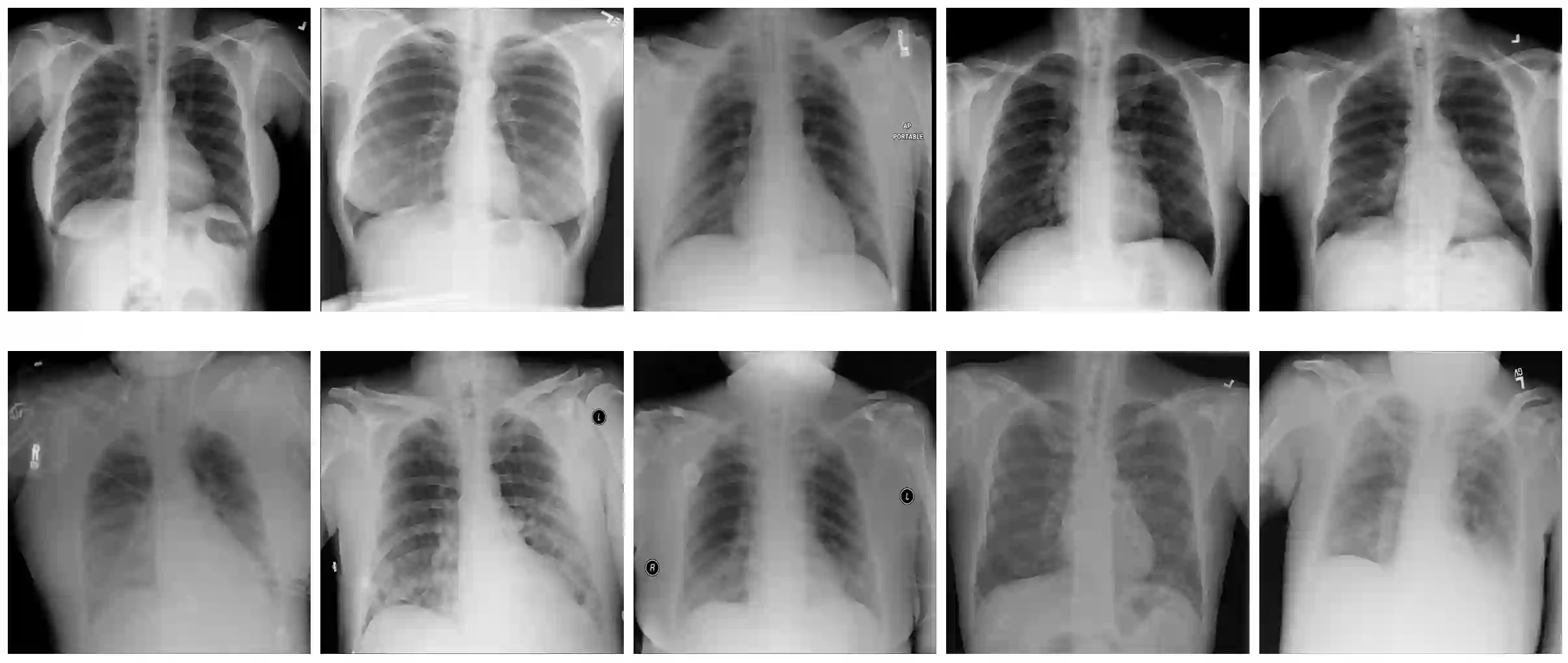
With the ongoing rise of machine learning, the need for methods for explaining decisions made by artificial intelligence systems is becoming a more and more important topic. Especially for image classification tasks, many state-of-the-art tools to explain such classifiers rely on visual highlighting of important areas of the input data. Contrary, counterfactual explanation systems try to enable a counterfactual reasoning by modifying the input image in a way such that the classifier would have made a different prediction. By doing so, the users of counterfactual explanation systems are equipped with a completely different kind of explanatory information. However, methods for generating realistic counterfactual explanations for image classifiers are still rare. Especially in medical contexts, where relevant information often consists of textural and structural information, high-quality counterfactual images have the potential to give meaningful insights into decision processes. In this work, we present GANterfactual, an approach to generate such counterfactual image explanations based on adversarial image-to-image translation techniques. Additionally, we conduct a user study to evaluate our approach in an exemplary medical use case. Our results show that, in the chosen medical use-case, counterfactual explanations lead to significantly better results regarding mental models, explanation satisfaction, trust, emotions, and self-efficacy than two state-of-the-art systems that work with saliency maps, namely LIME and LRP.


翻译:随着机器学习的不断兴起,对人工智能系统所作决定的解释方法的需要正在成为一个越来越重要的主题。特别是对于图像分类任务而言,许多最先进的解释这类分类工具依赖输入数据的重要领域的视觉突出显示。相反,反事实解释系统试图通过修改输入图像来促成反事实推理,使分类者能够作出不同的预测。通过这样做,反事实解释系统的用户配备了完全不同的解释性信息。然而,为图像分类者提供现实的反事实解释的方法仍然很少。特别是在医学方面,相关信息往往由文字和结构信息组成,高质量的反事实图像有可能为决策过程提供有意义的洞察力。在这项工作中,我们介绍了GANterfactal, 一种根据对抗图像到图像翻译技术产生这种反事实图像解释的方法。此外,我们进行了用户研究,以在典型的医疗使用案例中评价我们的方法。我们的结果显示,在所选择的医学案例中,反事实解释性解释方法往往包括文字和结构信息,高质量的反事实图像图像图像图像能够给决策过程带来更深刻的满意度,也就是两张的自我解释,而令人信得更满意。

0
下载
关闭预览

相关内容

最新【深度生成模型】Deep Generative Models,104页ppt
专知会员服务
71+阅读 · 2020年10月24日
【干货书】真实机器学习,264页pdf,Real-World Machine Learning
机器学习入门的经验与建议
专知会员服务
94+阅读 · 2019年10月10日
【哈佛大学商学院课程Fall 2019】机器学习可解释性
专知会员服务
105+阅读 · 2019年10月9日
GAN新书《生成式深度学习》,Generative Deep Learning,379页pdf
专知会员服务
208+阅读 · 2019年9月30日
【TED】生命中的每一年的智慧
英语演讲视频每日一推
10+阅读 · 2019年1月29日
逆强化学习-学习人先验的动机
CreateAMind
16+阅读 · 2019年1月18日
强化学习的Unsupervised Meta-Learning
CreateAMind
18+阅读 · 2019年1月7日
Unsupervised Learning via Meta-Learning
CreateAMind
44+阅读 · 2019年1月3日
A Technical Overview of AI & ML in 2018 & Trends for 2019
待字闺中
18+阅读 · 2018年12月24日
Capsule Networks解析
机器学习研究会
11+阅读 · 2017年11月12日
Adversarial Variational Bayes: Unifying VAE and GAN 代码
CreateAMind
7+阅读 · 2017年10月4日
Auto-Encoding GAN
CreateAMind
7+阅读 · 2017年8月4日
Adversarial Mutual Information for Text Generation
Arxiv
13+阅读 · 2020年6月30日
Generating Fact Checking Explanations
Arxiv
9+阅读 · 2020年4月13日
Arxiv
4+阅读 · 2015年3月20日
VIP会员
最新内容
《无人机革命:来自俄乌战场的启示》(报告)
专知会员服务
2+阅读 · 54分钟前
《实现联合作战能力所需的技术》58页报告
专知会员服务
1+阅读 · 今天6:30
以色列运用人工智能优化空袭警报系统
专知会员服务
0+阅读 · 今天6:20
以色列在多条战线部署AI智能体
专知会员服务
1+阅读 · 今天6:12
2025年大语言模型进展报告
专知会员服务
13+阅读 · 4月25日
多智能体协作机制
专知会员服务
12+阅读 · 4月25日
非对称优势:美海军开发低成本反无人机技术
专知会员服务
9+阅读 · 4月25日
《美战争部小企业创新研究(SBIR)计划》
专知会员服务
8+阅读 · 4月25日
《军事模拟:将军事条令与目标融入AI智能体》
专知会员服务
12+阅读 · 4月25日
【NTU博士论文】3D人体动作生成
专知会员服务
9+阅读 · 4月24日
相关资讯
【TED】生命中的每一年的智慧
英语演讲视频每日一推
10+阅读 · 2019年1月29日
逆强化学习-学习人先验的动机
CreateAMind
16+阅读 · 2019年1月18日
强化学习的Unsupervised Meta-Learning
CreateAMind
18+阅读 · 2019年1月7日
Unsupervised Learning via Meta-Learning
CreateAMind
44+阅读 · 2019年1月3日
A Technical Overview of AI & ML in 2018 & Trends for 2019
待字闺中
18+阅读 · 2018年12月24日
Capsule Networks解析
机器学习研究会
11+阅读 · 2017年11月12日
Adversarial Variational Bayes: Unifying VAE and GAN 代码
CreateAMind
7+阅读 · 2017年10月4日
Auto-Encoding GAN
CreateAMind
7+阅读 · 2017年8月4日
Top
微信扫码咨询专知VIP会员